| | ||||||||
| health | ||||||||
| NEWS | ||||||||
Call for sugar tax cash to go to the Welsh NHS Money raised from a new tax on sugary drinks should be reinvested into the Welsh NHS, it has been claimed. Diabetes UK Cymru's Dai Williams said cash from the tax should help address ill-health linked to sugar.
| ||||||||
CDC Epidemiologist Found Dead Weeks After Going Missing, Drowning Suspected Timothy Cunningham, a 35-year-old epidemiologist at the Centers For Disease Control and Prevention, vanished after leaving work Feb. 12, complaining he felt unwell; some seven weeks later, his decomposed body was spotted by fishermen in a rugged area ...
| ||||||||
Body of Missing CDC Employee Found in Atlanta River The body of a Centers for Disease Control and Prevention employee who went missing two months ago was found in a river in Atlanta on Tuesday, the authorities said on Thursday.
| ||||||||
Authorities still unclear on what caused CDC worker to drown Fulton County chief medical examiner Dr. Jan Gorniak, tells reporters that a body found in Chattahoochee River, Tuesday has been identified as missing CDC employee Timothy Cunningham during a news conference Thursday, April 5, 2018, in Atlanta.
| ||||||||
Surgeon general urges more Americans to carry opioid antidote naloxone (CNN) The US surgeon general issued an advisory Thursday recommending that more Americans carry the opioid overdose-reversing drug, naloxone.
| ||||||||
Federal moves to help opioid crisis not enough, experts say The surgeon general says everyone should carry naloxone, the anti-overdose drug, if they know someone at risk. by Maggie Fox / Apr.05.2018 / 9:53 PM ET / Updated Apr.05.2018 / 11:47 PM ET.
| ||||||||
Surgeon General Urges Americans to Carry Drug That Stops Opioid Overdoses WASHINGTON - The United States Surgeon General, Dr. Jerome M. Adams, issued a national advisory Thursday urging more Americans to keep on hand and learn how to use the drug, naloxone, which can save the lives of people overdosing on opioids.
| ||||||||
'Zombie' raccoons are terrifying Ohio residents in broad daylight with odd behavior Raccoons are approaching humans, baring their teeth and passing out in Youngstown, Ohio. They strange behavior has led to the euthanizing of over a dozen raccoons who seem to be suffering from a virus.
| ||||||||
Caring4Denver Campaign Aims To Fund Mental Health Programs DENVER (CBS4)– State lawmaker Leslie Herod, a Democrat representing Denver, is appealing directly to City of Denver voters to help people with mental health and substance abuse problems.
| ||||||||
Officials Warn of Health Risk Linked to Synthetic Marijuana Health officials in Maryland are warning people about bleeding dangers linked to the use of synthetic marijuana. April 5, 2018, at 4:23 p.m.. Officials Warn of Health Risk Linked to Synthetic Marijuana. Share. ×. Share on Facebook · Post on Twitter ...
| ||||||||
E. coli reported in New Jersey New Jersey's health officials are investigating a half-dozen cases of E. coli that were reported in Somerset, Hunterdon, Middlesex and Warren counties.
| ||||||||
Surprise! Scientists find signs of new brain cells in adults as old as 79 This image shows what scientists say is a new neuron in the brain of an older human. A new study suggests that humans continue to make new neurons throughout their lives.
| ||||||||
Scientists Find Very Young Cells in Even Very Old Brains That's a big deal. For decades, researchers believed that aging brains stop making new cells. But recent research has offered strong evidence to the contrary, and a new paper published today (April 5) in the journal Cell Stem Cell tries to put the ...
| ||||||||
Ottawa Co. receives grant to help fight opioid crisis OTTAWA COUNTY, Mich. -- As the opioid crisis continues to plague communities across the United States, one county here in West Michigan is ramping up its efforts to combat the drugs.
| ||||||||
Older Brains Replenish Cells Just Like Young Brains: Study THURSDAY, April 5, 2018 (HealthDay News) -- Contrary to popular thought, older adults' brains can churn out just as many new cells as younger brains do, a new study suggests.
| ||||||||
Hold Up, Maybe Our Brains Actually Can Grow Back Neurons A new study published Thursday in Cell Stem Cell is set to further stoke the debate over whether our brain can actually grow back neurons as we age.
| ||||||||
Porter Adventist Hospital Puts Most Surgeries On Hold DENVER (CBS4)– Porter Adventist Hospital voluntarily cancelled most surgeries on Thursday and Friday in the latest development into the investigation of patient risk of surgical infections.
| ||||||||
Man warns pet owners after fish tank releases 'second deadliest' poison, hospitalizes 10 Chris Matthews and his girlfriend were hospitalized on March 29, 2018, after suffering from toxic fumes released by coral. (SWNS.com).
| ||||||||
Elderly adults grow as many new brain cells as teenagers do, study finds Aging brains, researchers from Columbia University showed, produce just as many new cells as younger brains do. (monsitj). Your brain keeps making new nerve cells, even as you get older.
| ||||||||
Breast Cancer Info Scrubbed From Government Website This question is now being asked because breast cancer content has been greatly reduced on the site, which belongs to the Office on Women's Health (OWH) of the US Department of Health and Human Services (HHS).
| ||||||||
Human brains make new nerve cells — and lots of them — well into old age NEURON NURSERY Roughly the same number of new nerve cells (dots) exist in the hippocampus of people in their 20s (three hippocampi shown, top row) as in people in their 70s (bottom).
| ||||||||
Man reveals how his FISH TANK released the world's second deadliest poison leaving family and four firefighters ill A man has revealed how his fish tank released the second deadliest poison in the world leaving his family and four firefighters ill.
| ||||||||
What Happens When You Ask The Counterculture and "Me" Generations About Medical Marijuana Would you use marijuana for medical purposes? Do think others should? Well you might be surprised to know that many older adults—some of the people who did their own marijuana sampling in the 1960s and 1970s—don't necessarily want it for themselves ...
| ||||||||
Possible E. coli Outbreak in New Jersey May be Linked to Unnamed Restaurant Chain An E. coli outbreak that has sickened six people in four counties may be linked to a restaurant chain, according to news reports. The Health Department reportedly said that those six patients live in Hunterdon, Middlesex, Somersest, and Warren counties ...
| ||||||||
A Perplexing Marijuana Side Effect Relieved by Hot Showers By the time Thomas Hodorowski made the connection between his marijuana habit and the bouts of pain and vomiting that left him incapacitated every few weeks, he had been to the emergency room dozens of times, tried anti-nausea drugs, anti-anxiety ...
| ||||||||
Pasta could help you lose weight, study says Do you avoid pasta when attempting to drop pounds? Don't do away with the dish just yet, because it has been linked to weight loss, according to a new report.
| ||||||||
Porter Adventist Hospital pausing all surgeries The Colorado Department of Health is investigating whether more patients could be at-risk after conducting another on-site survey at Porter Adventist on Thursday.
| ||||||||
Want to reduce stress? Quit Facebook, study says If you're looking for ways to eliminate stress from your life, there's a simple solution. Try quitting Facebook, a new report suggests.
| ||||||||
Hospital 'Breach' May Have Exposed Patients to HIV, Hepatitis: What Went Wrong? Some patients at a Colorado hospital may be at risk for HIV or hepatitis infection after the hospital discovered an issue with the way it cleaned certain surgical instruments.
| ||||||||
Cleaning out a fish tank leaves whole family seriously ill Chris Matthews and his family of six ended up being seriously ill when they were cleaning out a fish tank at their home. The tank released a deadly poison from a coral when it was handled.
| ||||||||
Can Eating Pasta Really Help You Lose Weight? Pasta lovers had reason to celebrate yesterday, as headlines declared that the often-demonized carbohydrate could "help you lose weight.
| ||||||||
Officials warn synthetic marijuana making people bleed, laced with rat poison State health officials said a person in central Maryland suffered bleeding after using synthetic marijuana. The patient's symptoms are similar to the description of dozens of cases in the Chicago region reported in the past three weeks, in which two ...
| ||||||||
"Zombie-Like" Raccoons Are Terrorising Residents Of This Small Town Local police are investigating reports of "zombie-like" raccoons in a small town in Ohio. They've been flooded with calls about raccoons acting strangely in the daytime.
| ||||||||
Opioid addiction costs employers $2.6 billion a year for care A new report shows large employers spent $2.6 billion to treat opioid addiction and overdoses in 2016. By The Associated Press April 05, 2018.
| ||||||||
'Zombie raccoons' infected with distemper investigated by police Authorities in Ohio have been getting some strange calls about so-called "zombie" raccoons, and officials in Cook County have seen them as well.
| ||||||||
Rat-poisoned fake pot is causing uncontrollable bleeding, death At least one person in Illinois has died from synthetic marijuana, and doctors say it may be because of rat poison, according to the Chicago Tribune.
| ||||||||
OCD Twins Of 'The Doctors' Fame Shot Dead After Alleged Suicide Pact The twin sisters, who became widely known after they went on the daytime talk show "The Doctors" last year and opened up about the surgery they went through in 2015 to treat their Obsessive Compulsive Disorder (OCD), were found dead with gunshot wounds ...
| ||||||||
'Nightmare Bacteria' Hits Washington: CDC Hundreds of the virtually un-treatable "superbug" bacteria have been found in the U.S., including in Washington. By Neal McNamara , Patch Staff | Apr 6, 2018 12:14 am ET.
| ||||||||
Georgia Ranked In Top Tier For Action Against Opioid Abuse Georgia rose from a "failing'' designation in 2016 to "improving'' in the new report on the opioid crisis. Credit Toby Talbot / Associated Press file.
| ||||||||
File Under WTF: 'Zombie' Raccoons Are Attacking Ohio Over a dozen raccoons have been euthanized in Youngstown, Ohio, after a virus caused them to behave strangely. Local authorities believe the animals were suffering from distemper, a virus that commonly affects dogs.
| ||||||||
Before-and-After Photos Are the #1 Thing That Inspires People to Lose Weight It's no secret that social media can be a tool for weight loss when it's used in the right way. Now, thanks to a new survey by Slimming World (a U.K.
| ||||||||
5 Zamboanga kids die of measles amid outbreak ZAMBOANGA CITY - Five children, three of them below the vaccination age of 9 months to 5 years old, had died of measles here since the city government declared an outbreak in late February.
| ||||||||
Slightly high blood pressure before pregnancy tied to miscarriage risk (MENAFN - Jordan Times) Women with slightly elevated blood pressure before they get pregnant may have an increased risk of miscarriage even when they are not diagnosed with hypertension, a US study suggests.
| ||||||||
Hypertension: An Overview Hypertension (High Blood Pressure) is a silent killer. This is because more often than not, it presents without symptoms and many patients first come to know that they have hypertension only when they present with a life-threatening complication of ...
| ||||||||
Does Facebook Cause Stress? Science Says Short Breaks From The Site May Be Good For You At one point or another, you've probably felt a little overwhelmed by your Facebook news feed. Whether you've found yourself scrolling through a thousand opinions on celeb gossip, a bevy of depressing news updates, or you're simply spending way too ...
| ||||||||
Diet tips to follow in your 20s to lose weight and stay healthy for life Diet is what determines your health. We're not just talking about foods that cause you to bloat right now. This is about factors that affect your body's metabolism and other functions in the long run.
| ||||||||
What quitting Facebook might do to your stress levels and wellbeing, according to research Giving up Facebook can reduce levels of a key hormone related to stress, according to new research. The team - led by the University of Queensland in Australia - found that among a small sample group of 138 participants, taking a temporary break from ...
| ||||||||
Student Jonathan Mosher speaks about hearing loss at national conference SALISBURY - Jonathan Mosher is no stranger to advocacy work. The 15-year-old has been working to inform people about cochlear implants and early detection of hearing loss for more than 10 years, using his own story.
| ||||||||
Study investigates benefits of cryoablation for breast cancer PLANTATION, Fla. - When Teresita Couso was diagnosed with breast cancer in July 2017, she talked to her doctor about her options. "He said, 'It's in the early stages.
| ||||||||
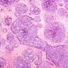
Answers to 100-year-old Mystery Point to Potential Breast Cancer Therapies Breast cancer core biopsy - ductal carcinoma in situ (DCIS) detected by screening mammography: Tumor cells are confined to the mammary ducts.
| ||||||||
| You have received this email because you have subscribed to Google Alerts. |
Receive this alert as RSS feed |
| Send Feedback |
No comments:
Post a Comment