| | ||||||||
| health | ||||||||
| NEWS | ||||||||
The science behind cancer warnings on coffee is murky at best COFFEE BREAK Drinking coffee has a number of health benefits that may outweigh its uncertain cancer risks, studies have shown. Sam Howzit/flickr (CC BY 2.0).
| ||||||||
Man dies from too much anti-diarrhea medication Medical examiners said this week that 29-year-old Arjun Patel's death in November was caused by loperamide poisoning, news station KDKA reported.
| ||||||||
Man Dies Due To Consumption of Excess Anti-Diarrhea Drug Last year a 29-year old man lost his life at his home in Pittsburgh after consuming more than the prescribed dosage of an over-the-counter drug used for diarrhea.
| ||||||||
Condom Snorting Challenge: Why You Should Not Inhale Condoms When is using a condom a bad idea? When you are trying to snort it up your nose and pull it out through your mouth. If you ask, "why would anyone ever do that," then you obviously haven't heard of the "Condom Snorting Challenge.
| ||||||||
This Viagra story will absolutely blow your mind It has been 20 years since the "little blue pill" was first introduce to treat erectile dysfunction, and it has changed sex as we know it.
| ||||||||
Hockey player breastfeeds her 8-week-old baby during game breaks – like a total mom boss Serah Small loves hockey. So much so that just eight weeks after giving birth, she was on the rink playing games. There was just one problem: At one of the games, she realized she'd forgotten her breast pump at home.
| ||||||||
What is K2? Synthetic marijuana causing bleeding from eyes and ears Since March 7, 22 people in Illinois have experienced severe bleeding from their eyes and ears after using a synthetic cannabinoid also known as K2 or spice, according to the Chicago Tribune.
| ||||||||
Synthetic Cannabinoid Spice Products Linked To Unusual Severe Bleeding Cases Illinois public health authorities have warned healthcare workers and school nurses and administrators to be on the lookout for students and patients with unexplained bleeding.
| ||||||||
All you need to about amazing blue pill 'Viagra' as it turns 20 Sildenafil acts by inhibiting cGMP-specific phosphodiesterase type 5(phosphodiesterase 5, PDE5), an enzyme that promotes degradation of cGMP, which regulates blood flow in the penis.
| ||||||||
Judge Rules That Coffee Shops Must Warn Against Cancer Risk in California: But Is it Necessary? Coffee lovers in California will soon get a dose of concern every time they get their fix: A judge ruled that coffee shops in the state must post a warning sign that the beverage poses an increased risk of cancer.
| ||||||||
Science Says: What We Know About Cancer Risk and Coffee Trouble is brewing for coffee lovers in California, where a judge just ruled that sellers must post scary warnings about cancer risks.
| ||||||||
Synthetic cannabinoids claims first death in Illinois Illinois - The Illinois Department of Public Health is reporting the death of an individual who experienced severe bleeding and reported using synthetic cannabinoids, often called Spice, K2, or fake weed.
| ||||||||
Hockey player breastfeeds her 8-week-old baby during game breaks – like a total mom boss GRANDE PRAIRIE, Alberta - Serah Small loves hockey. So much so that just eight weeks after giving birth, she was on the rink playing games.
| ||||||||
Doctors question limits on opioid addiction treatments When opioid users need help battling addiction, doctors often prescribe a class of drugs called Buprenorphine to manage withdrawal.
| ||||||||
Woman Visiting Doctor For 'Food Poisoning' Diagnosed With Stage 4 Colon Cancer Screen Shot 2018-03-30 at 3 A 34-year-old Washington, D.C., woman went to her doctor with gas and cramps she believed were a product of food poisoning.
| ||||||||
Freezing temps didn't stop runners from raising awareness for colon cancer On Saturday dozens of folks braved the cold to raise awareness of a cancer that affects an organ many don't think about. People were raising awareness for colon cancer at the second annual Bottoms Up 5K Run.
| ||||||||
'Rewiring' the brain: North Iowa medical officials work to break down opioid silos Prairie Ridge Executive Director Jay Hansen speaks during the Iowa Harm Reduction Coalition forum on the opioid crisis and methamphetamine use in North Central Iowa on March 23 at Prairie Ridge Treatment Center in Mason City.
| ||||||||
Viral Photo Of Hockey Player Breastfeeding Baby Sparks Debate Among Social Media Users While most Facebook users praised Alberta woman Serah Small for posting the photo, others were more critical, with some commenters accusing her of being an 'attention seeker.
| ||||||||
New human 'organ' that protects vital tissues identified Scientists have identified a new human 'organ' consisting of a network of fluid-filled compartments that act like shock absorbers and protects tissues of vital organs from tearing.
| ||||||||
Baby surprise: Woman mistakes 37-week pregnancy for bad Chinese food Crystal Gail Amerson thought she was suffering from food poisoning but then discovered she was about to give birth to her second baby.
| ||||||||
In a first: LGH team conducts milestone brain surgery LAHORE: For the first time in Punjab, an operation to remove a brain tumour, while keeping the patient in their senses, has been successfully conducted at the Lahore General Hospital.
| ||||||||
Lancaster County overdose deaths drop in first three months of 2018 From Jan. 1 through March 30, drug overdoses claimed the lives of 38 people in the county, versus about 60 in the first three months of 2017, said county Coroner Stephen Diamantoni.
| ||||||||
Viral pic of female hockey player breastfeeding her baby faces frenzy response on Social Media During the break, she decided to breastfeed her 8-week-old baby in the locker room where she took off her jersey while the skates and thick pants were still on.
| ||||||||
Wisconsin woman honored for organ donation work BEAVER DAM, Wis. (AP) - A Wisconsin woman has turned the tragic death of her teenage daughter into a life mission to raise awareness and educate about organ donation.
| ||||||||
Things you need to face after giving birth Giving birth to a baby is every woman's dream and it also gives a new birth to the woman where she learns to tackle with many things.
| ||||||||
Remembering the flu of 1918 In 1918, Maine's Department of Health's Division of Communicable Disease counted 2,554 deaths from the flu, most occurring in the single month of October.
| ||||||||
Houston woman plays flute during brain surgery HOUSTON, TX (CNN) - A woman is recovering from a brain surgery where she was allowed to play the flute during the procedure. Sixty-three-year-old Anna Henry had been suffering from intense tremors in her left hand and fingers, so surgeons at the Texas ...
| ||||||||
20 years after Viagra, Pfizer seeks another miracle drug It has been 20 years since Viagra was introduced, and Pfizer is still searching for another drug with as much earning power as the revolutionary blue erection pill.
| ||||||||
Children with autism may have higher risk of developing anxiety disorders: Study Children with attention-deficit/hyperactivity disorder (ADHD) and autism spectrum disorder (ASD) may be at higher risk of developing anxiety disorders, according to a latest study.
| ||||||||
'Selfies' could be causing an uptick in plastic surgery procedures "I think smartphone technology with selfie mode on their cameras can make people a little too obsessed with their appearance," said Dr.
| ||||||||
Arkansas Sees Increase in Residents With Alzheimer's Arkansas sees increase in the number of residents diagnosed with Alzheimer's disease, mirroring national trends. April 1, 2018, at 1:02 a.m.. Arkansas Sees Increase in Residents With Alzheimer's. Share. ×. Share on Facebook · Post on Twitter · Post to ...
| ||||||||
Norovirus outbreak suspected at Quincy veterans' home SPRINGFIELD - There has been an outbreak of gastrointestinal illness among residents and staff at the Illinois Veterans' Home in Quincy.
| ||||||||
Is it OK to tell an Alzheimer's patient a white lie? A reader dealing with the strains of a family member suffering from Alzheimer's raised this interesting question: "Our father always stressed how important it was to tell the truth.
| ||||||||
Wisconsin students smoke less, but 11 percent report opioid use A total of 11.2 percent of the state's high school students reported unauthorized use of prescription pain medicine, according to a 2017 Youth Risk Behavior Survey.
| ||||||||
Overweight woman sheds 7st after following THIS plan: 'I still enjoy chocolate' A CHOCOHOLIC who weighed the same as a baby elephant has lost a whopping 7st after following this plan. 0. By Christine Younan / Published 31st March 2018.
| ||||||||
GI cases reported at Illinois Veterans Home The Illinois Department of Public Health reported Friday that 24 individuals, including both residents and staff at the home, experienced vomiting and diarrhea earlier in the week.
| ||||||||
Children with autism at higher risk of developing anxiety disorders: Study Children with both autism spectrum disorder (ASD) and attention-deficit/hyperactivity disorder (ADHD) may be at an increased risk of developing anxiety and mood disorders, a study has found.
| ||||||||
Lourdes hosts kidney disease awareness health fair April 14 Each year in the United States, more than 100,000 people are diagnosed with kidney failure, a serious condition in which the kidneys fail to rid the body of wastes.
| ||||||||
Young, HIV+ and ready to change the world She dreams of a white wedding, a career in social science and to have a family. Rumbidzai Chidora (22) is HIV-positive but did not understand it and lived in denial for most of her childhood, but is now a changed person.
| ||||||||
Reaching for life's milestones The authorities have come to realize that it's time to adapt assistance to Down Syndrome patients and their needs and not try to adapt patients to the preferences of the establishment.
| ||||||||
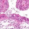
Is This Tissue a New Organ? Maybe. A Conduit for Cancer? It Seems Likely. Researchers have made new discoveries about the in-between spaces in the human body, and some say it's time to rewrite the anatomy books.
| ||||||||
Relay Land draws 300 for annual Relay For Life Jadyn Fleischman helps in the concession stand at the 2018 Relay For Life Burt County event. How about a sucker? A great reminder that cancer does indeed suck.
| ||||||||
Scientists crack the code of shell strength, paving the way for safer eggs Scientists now have the solution to a long-standing egg riddle - and it could lower your chances of food poisoning. Key points: Shells contains nanostructured minerals associated with the protein osteopontin, also found in bone; The structure of the ...
| ||||||||
New US Diabetes Prevalence Data Distinguish by Disease Type Approximately 23 million adults in the United States are living with diabetes, and of these, nearly 6% have type 1 disease, according to new surveillance data from the Centers for Disease Control and Prevention (CDC).
| ||||||||
NACA urges states to increase HIV/AIDS media awareness campaigns The National Agency for the Control of AIDS (NACA) has enjoined states to increase their HIV/AIDS media awareness campaign. A statement from the agency yesterday said the Head of Public Relations and Protocol, NACA, Mrs Toyin Aderibigbe, made the call ...
| ||||||||
Scientists crack mystery of how chicken eggs are strong enough to resist being fractured from the outside Scientists believe they have cracked the conundrum of how chicken eggs are strong enough to resist being fractured from the outside, but weak enough to be broken from the inside when the chick hatches.
| ||||||||
Study Suggests E-cigarettes Cause More Harm Than Good March 30, 2018 11:30 am Michael Devitt - For years, e-cigarettes have been promoted not only as a less harmful alternative to traditional cigarettes, but also as an option for current smokers to quit or reduce their use of tobacco.
| ||||||||
| You have received this email because you have subscribed to Google Alerts. |
Receive this alert as RSS feed |
| Send Feedback |
No comments:
Post a Comment