| | |||||||
| health | |||||||
| NEWS | |||||||
Coronavirus Probably Spread Widely in Deer and Perhaps Back to People, USDA Says Humans transmitted the coronavirus to white-tailed deer more than 100 times in late 2021 and early 2022, according to new research led by the U.S. Department of Agriculture's Animal and Plant Health Inspection Service. The research also suggests that ...
| |||||||
Who Should Be Tracking Their Glucose? Monitoring blood sugar levels used to be something only people with diabetes did. But in recent years, glucose has become one of the trendiest biometrics to track for people striving to optimize their health. That's in large part because of the ...
| |||||||
Deer spread COVID to humans multiple times, researchers find Americans have transmitted COVID-19 to wild deer hundreds of times, an analysis of thousands of samples collected from the animals revealed, and people have also caught and spread mutated variants from deer at least three times.
| |||||||
An old drug offers a new way to stop STIs A promising line of attack against sexually transmitted infections puts a cheap and widely available medication to a new use. The treatment – a form of post-exposure prophylaxis, or PEP – is a dose of the antibiotic doxycycline taken in the hours ...
| |||||||
Melanoma an Even More Deadly Disease in Black Men By Cara Murez HealthDay Reporter. (HealthDay). WEDNESDAY, July 12, 2023 (HealthDay News) -- Black men are more likely to die of melanoma, new research shows, and one reason why may be the unusual places where the deadly skin cancer is likely to show up ...
| |||||||
8 mistakes to avoid if you're going out in the heat Of course, it's summer and you have things to do outdoors, from festivals to barbecues to mowing the lawn. We get it. But the heat can take a toll on your body, and you need to plan ahead when the temperature rises to extreme heat. "Don't overdo it," warns ...
| |||||||
Malaria cases in the US are on the rise: Your visual guide to symptoms and prevention At least seven cases of locally acquired malaria have been reported in the U.S. over the past two months, the first time the disease has had a local spread in 20 years. A public health alert was issued by the Centers for Disease Control and Prevention ...
| |||||||
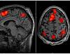
AI Tool 'Reads' Brain Tumors During Surgery to Help Guide Decisions By Amy Norton HealthDay Reporter. (HealthDay). TUESDAY, July 11, 2023 (HealthDay News) -- Scientists have developed an artificial intelligence (AI) tool capable of deciphering a brain tumor's genetic code in real time, during surgery — an advance they ...
| |||||||
With Some Chronic Conditions, Less Exercise Needed For Depression Meanwhile, people in the study without a chronic disease had to do more intense exercise for longer periods of time to get improvement in depressive symptoms, lead author Eamon Laird at the University of Limerick in Ireland was quoted as saying to CNN.
| |||||||
Gulf War Illness Caused by Mitochondrial Dysfunction, Not Inflammation Gulf War Illness (GWI) is a chronic multisymptom health condition affecting one-third of all veterans who served in the 1991 Gulf War, most of whom remain afflicted more than 30 years later. Common symptoms include fatigue, headaches, muscle aches, ...
| |||||||
Research supports inclusion of optic nerve in McDonald criteria for MS Adding optic nerve damage — reflected by a thinning of the nerve layer in the eye's retina — to the existing diagnostic criteria for multiple sclerosis (MS) was found to enhance diagnostic accuracy among people who had a single, MS-like event, ...
| |||||||
Despite recent improvement, childhood cancer diagnoses are more common than 15 years ago, study finds Leukemia was the most commonly diagnosed childhood cancer, with new diagnoses increasing from 43 cases for every 1 million children in 2003 to 47 in 2019, according to CDC data. New diagnoses of lymphoma, liver tumors, bone tumors and thyroid carcinomas ...
| |||||||
ADHD Drugs Won't Raise Risk for Illicit Drug Use Later By Cara Murez HealthDay Reporter. (HealthDay). WEDNESDAY, July 12, 2023 (HealthDay News) -- Teens who use stimulant medication like Ritalin to treat attention-deficit/hyperactivity disorder (ADHD) do not have an increased risk of illicit drug use later ...
| |||||||
AHA News: Few People With Heart Failure May Get a Critical Type of Care By American Heart Association News. (HealthDay). TUESDAY, July 11, 2023 (American Heart Association News) -- Medicare coverage for cardiac rehabilitation for some people with heart failure was expanded almost a decade ago, and medical guidelines ...
| |||||||
New malaria vaccine offers a ray of hope to Nigeria. There's just one thing ... People queue for a free malaria test in Lagos, Nigeria. The country has one of the highest national death tolls from the mosquito-borne disease. A new vaccine offers hope. But logistics could prevent it ...
| |||||||
The Surprising Occupations With Higher-Than-Expected Ovarian Cancer Rates Welcome to Impact Factor, your weekly dose of commentary on a new medical study. I'm Dr F. Perry Wilson of the Yale School of Medicine. Basically, all cancers are caused by a mix of genetic and environmental factors, with some cancers driven more ...
| |||||||
Memory Issues Could Be Another Struggle for Kids With Autism Researchers found that compared with their peers, school-age kids with autism showed more difficulty managing memory tasks. They often had a hard time remembering faces — something seen in past studies — but also in recalling words and other types of ...
| |||||||
Cytisinicline Shows Efficacy for Smoking Cessation Ultimately withdrawing from the trial due to adverse events were 2.9% of cytisinicline recipients and 1.5% of patients in the placebo group. Serious adverse events were seen in 3.3% vs 1.1%, respectively, but were deemed to not be related to the treatment.
| |||||||
Contact lenses aid visual rehabilitation, provide symptom relief in dry eye disease Contact lenses benefit patients with dry eye and ocular surface disease by providing visual rehabilitation, symptom relief and ocular surface protection, according to a review published in Indian Journal of Ophthalmology. "This review describes the ...
| |||||||
This superbug has been in Tarrant County for 2 years, part of 'alarming' spread in US But in May 2021, an outbreak began after a patient at a hospital was diagnosed with a Candida auris infection. Multiple health care facilities were affected, and the outbreak is still spreading, albeit much more slowly than in 2021.
| |||||||
Exploring the Potential Impact of RSV Vaccines in the Adult Population Respiratory syncytial virus (RSV) causes respiratory infections in all age groups but is of particular concern in children younger than 5 years and adults older than 65 years. 1 Two vaccines were approved in May 2023 for the prevention of RSV in older ...
| |||||||
Beauticians, Hairdressers May Face Higher Odds for Ovarian Cancer By Dennis Thompson HealthDay Reporter. (HealthDay). TUESDAY, July 11, 2023 (HealthDay News) -- When thinking of people in high-risk jobs, hairdressers and beauticians don't immediately come to mind. But cosmetologists have a much greater chance of ...
| |||||||
Can a Caterpillar Transform the Future of Drug Delivery? A new study suggests a caterpillar may not just be transforming into a butterfly, but may be transforming the way researchers are delivering drugs and drug design. Researchers at the University of Queensland (UQ), led by Andrew Walker, PhD, ...
| |||||||
Reinventing the ER for America's Mental-Health Crisis Some patients ended up boarding in the emergency department for days until a bed opened up at a psychiatric facility. They were generally required to stay inside their rooms, without their belongings and with little to do except stare at a television ...
| |||||||
Study: COVID spread from deer to humans multiple times Those cases appear to have originally stemmed from the virus spreading from humans to the deer and then mutating and spreading back to humans. The researchers, several of whom work ...
| |||||||
Testing Entire Genome Twice as Good at Spotting Genetic Disorders as Targeted Tests Are By Cara Murez HealthDay Reporter. (HealthDay). TUESDAY, July 11, 2023 (HealthDay News) -- Identifying genetic disorders in newborns and infants can help them get the care they need, but one approach -- whole genome sequencing -- appears far superior to ...
| |||||||
Stimulant therapy in childhood not associated with future illicit drug use Key takeaways: Young adults who took prescription stimulants as kids were no more likely to use illicit drugs than their peers. Findings may be "comforting" to parents of children with ADHD and ...
| |||||||
How the immune system can alter our behavior Simply the smell of seafood can make those with an allergy to it violently ill — and therefore more likely to avoid it. The same avoidance behavior is exhibited by people who develop food poisoning after eating a certain meal.
| |||||||
Self-reported long COVID symptoms not identified in diagnostic tests The rapid transmission of the severe acute respiratory syndrome coronavirus 2 (SARS-CoV-2) has caused hundreds of millions of infections and approximately seven million deaths from coronavirus disease 2019 (COVID-19) worldwide.
| |||||||
Grab the Yogurt: Whole-Fat Dairy OK for a Heart-Healthy Diet July 11, 2023 – In the seesaw world of trying to maintain a healthy diet, researchers have good news for dairy lovers: Whole-fat foods, particularly dairy, can and should be included in a nutritious diet. The finding flies in the face of U.S. and other ...
| |||||||
Long COVID prevalence and impact on quality of life 2 years after acute COVID-19 In this study, prospective online surveys were conducted in adults previously diagnosed with coronavirus disease 2019 (COVID-19) in South Korea between February 13 and March 13, 2020, at 6, 12, and 24 months after COVID-19. We investigated self-reported ...
| |||||||
A sustainable way to control the parasitic disease schistosomiasis The authors took the approach of removing invasive freshwater vegetation to dismantle the habitats of the snails responsible for transmitting the parasite. The intervention not only reduced parasite prevalence in humans, but also improved agricultural and ...
| |||||||
Dr. Roach: Treatment for osteoarthritis includes exercise, not PRP therapy Dear Dr. Roach: I have reached the beginning of osteoarthritis after a meniscus trim from years ago. Can platement-rich plasma (PRP) therapy, or anything else, regenerate cartilage? — E.C. . Dear E.C.: Loss of cartilage is an important part of the ...
| |||||||
Researchers pinpoint 1st genetic tie to long COVID-19 a gene called FOXP4, found in the lungs and some immune cells, is a genetic risk factor for long COVID-19, and that a specific region of the genome is tied to a 1.6-fold higher risk of developing the condition. The research involved data from 6,450 people ...
| |||||||
Does previous antibiotic treatment affect COVID-19 severity? In a recent article published in eClinical Medicine, researchers determine whether frequent antibiotic use increased the risk of adverse outcomes, including death, following severe acute respiratory syndrome coronavirus 2 (SARS-CoV-2) infection.
| |||||||
What we do — and don't yet — know about the malaria cases in the US Even though the U.S. said it eliminated malaria in 1951, efforts have continued to keep the disease at bay. Above: A Stearman biplane sprays insecticide during malaria control operations in Savannah, Georgia in 1973.
| |||||||
Study shows opioids not better than over-the-counter pills for back, neck pain CINCINNATI (WKRC) - A new study shows some surprising results when it comes to one of the most common prescription painkillers used to treat back pain. Researchers have made some discoveries about the use of opioids. This study found opioids are no ...
| |||||||
Excessive drinking during the pandemic increased alcoholic liver disease death rates Excessive drinking during the covid-19 pandemic increased alcoholic liver disease deaths so much that the condition killed more Californians than car accidents or breast cancer, a KFF Health News analysis has found. Lockdowns made people feel isolated, ...
| |||||||
NICE says its new approval process has sped up access to medicines By simplifying, removing, or reconfiguring parts of the appraisals process NICE said it can do light-touch, faster evaluations to simpler, low-risk treatments to speed up its guidance.
| |||||||
Updated COVID-19 vaccines recommended for fall boosters, Canada's vaccine advisers say The country's national vaccine advisers are recommending Canadians get another COVID-19 booster shot this fall, with updated vaccines expected in the months ahead. The next round of vaccines will likely be monovalent — meaning they will specifically ...
| |||||||
Whole genome sequencing shows promise for early diagnosis of genetic disorders in newborns, infants A new national study, led by researchers at Tufts Medical Center in Boston, has found whole genome sequencing (WGS) to be nearly twice as effective as a targeted gene sequencing test at identifying abnormalities responsible for genetic disorders in ...
| |||||||
Study Explores Link Between Chronic Viral Infections and Long COVID Research published in the Journal of Clinical Investigation found an association between reactivated Epstein-Barr virus (EBV), HIV, and long COVID, but not cytomegalovirus (CMV). 1. Michael J Peluso, MD, of the division of HIV, infectious diseases, ...
| |||||||
Bat tests positive for rabies in Shawano County Rabies is transmitted from infected mammals to humans, typically via a bite, and is invariably fatal once symptoms appear. Rabies is contracted by exposure to a rabid animal. The exposure is nearly always through a ...
| |||||||
Excessive Drinking During the Pandemic Increased Alcoholic Liver Disease Death Rates "Having metabolic syndrome, which is associated with obesity, high blood pressure, and diabetes, more than doubles your risk of having advanced liver disease at the same level of drinking," Lee said.
| |||||||
Summit County Health Department warns of increased mosquitoes, upcoming flu season Summit County Health Director Phil Bondurant said there is a larger-than-normal mosquito presence right now and attributed it to specific environmental factors. "With our delayed spring and the amount of standing water that ...
| |||||||
GP practices to offer shingles jab to 1m more people from September GP practices will need to offer shingles vaccination to patients aged over 50 who are severely immunosuppressed and those turning 65 from 1 September, NHS England has confirmed. Changes to shingles vaccination programme (Photo: Johner Images/Getty ...
| |||||||
Study identifies a signature of risk for developing hypomania For the current study, Dr. Soehner and colleagues clustered these markers together; they hypothesized that a signature of increased mania risk would be marked by elevated reward sensitivity, impulsivity, and sleep-circadian characteristics.
| |||||||
Novel Neurobehavioral Profiles Predict Risk of Mania in Bipolar Spectrum Disorders Individuals identified as high risk showed elevated mania symptoms compared to the other two groups. The study highlights the potential of combining neurobiological and clinical measures for early identification and intervention in severe mental health ...
| |||||||
Prevalence of Prior Cancer Among Patients With Newly Diagnosed Cancer In an analysis of Surveillance, Epidemiology, and End Results (SEER) data reported in a research letter in JAMA Oncology, Caitlin C. Murphy, PhD, MPH, and colleagues found that a substantial proportion of patients diagnosed with an incident cancer in ...
| |||||||
Neurons that track, regulate blood-sugar levels are found Summary: New research has discovered neurons within the brain which detect and respond to changes in the level of sugar within the bloodstream. Understanding how this blood-sugar detection system works and how these neurocircuits operate ...
| |||||||
| You have received this email because you have subscribed to Google Alerts. |
Receive this alert as RSS feed |
| Send Feedback |
No comments:
Post a Comment