| | |||||||
| health | |||||||
| NEWS | |||||||
A Promising Trial Targets a Genetic Risk for Alzheimer's Those findings were promising enough to advance the clinical trial into its next phase. Treatment of another five patients at a higher dose is underway, and the work, initially funded by the nonprofit Alzheimer's Drug Discovery ...
| |||||||
Alcohol and Cancer Risk: Most Americans Aren't Aware of the Link Despite new research that shows that all alcoholic beverages, including beer and wine, increase the risk of multiple types of cancer, people in the United States have a low awareness of this risk. The new ...
| |||||||
Thanks to the 'tripledemic,' it can be hard to find kids' fever-reducing medicines If you stroll the cold and flu medicine aisle these days, you might notice shelves that are bare, or nearly so. Some medicines that can be particularly hard to find are fever reducers for kids, like children's Tylenol, Motrin or Advil.
| |||||||
HIV Vaccine Trial Makes Pivotal Leap Toward Making 'Super Antibodies' Dec. 2, 2022 – Scientists are one step closer to developing a breakthrough technology that could lead to a vaccine for HIV, which infects more than 1 million people worldwide each year. The announcement comes from the journal Science, which published ...
| |||||||
'Off the charts': California reporting very high flu activity, among worst in US California is now reporting very high flu levels, according to the U.S. Centers for Disease Control and Prevention, as the respiratory illness continues to surge nationwide. The CDC uses five overall levels, from minimal to very high, ...
| |||||||
Parents urged to be aware of Strep A symptoms after death of six children Health officials are urging parents to look out for symptoms of Strep A after six children died with an invasive form of the bacterial infection. Strep A infections are usually mild, causing illness ranging from a sore throat to scarlet fever, ...
| |||||||
What is Strep A, the common bacterium that has killed 6 children in the UK? Group A Streptococcus infections are rising in the UK, having so far caused 6 deaths in children under the age of 10. CDC. London ...
| |||||||
Flu season worsens as 44 states report high activity Health officials said Friday that 7.5% of outpatient medical visits last week were due to flu-like illnesses. That's as high as the peak of the 2017-18 flu season and higher than any season since.
| |||||||
Flu Season Raged Over Thanksgiving Dec. 2, 2022 – The flu virus made the most of the Thanksgiving holiday by reaching the highest level of national activity seen since the 2017-18 influenza season, according to the CDC.
| |||||||
Scientists May Be Closer to Effective HIV Vaccine Traditional vaccines against viral diseases, like measles, the flu or COVID, work by stimulating the immune system to produce antibodies against the virus. Antibodies are specialized proteins that recognize foreign invaders, latch onto them and neutralize ...
| |||||||
A Proactive Way to Detect Cancer at Its Earliest Stages In the article, Gambhir described how he had devoted his career to early cancer detection, only to lose his teenage son Milan to a highly aggressive brain tumor in 2015. Roeding, the cofounder and former ...
| |||||||
Heart attack deaths spike around winter holidays, expert group warns Research confirms that heart attack deaths spike during the last week of December. The AHA pointed to one study, published in 2004 in Circulation, which found the highest number of deadly heart attacks typically occurred right around Christmas and New ...
| |||||||
Las Cruces recognizes World AIDS Day and the millions impacted by the virus Misconceptions about how the virus spread led to not only a public health pandemic, but a pandemic of negative stigma that followed those who tested positive, or even dared to be tested. This prejudice heavily affected the LGBTQ+ community.
| |||||||
San Diego organizations participate in World AIDS Day San Diego organizations this week held events in conjunction with World AIDS Day on Dec. 1 to raise HIV/AIDS awareness and honor those lost to the virus. Among the events held locally was the 31st annual tree lighting and candlelight vigil at the ...
| |||||||
Patients With COVID-19 More Likely to Experience New-Onset Diabetes Following SARS-CoV-2 infection, individuals of all ages and genders had a higher incidence and relative risk (RR) of being diagnosed with either type 1 diabetes (T1D) or type 2 diabetes (T2D), according to a review published in BMC Medicine.
| |||||||
Hospitals strained amid surge in RSV and flu cases MADISON, Wis. — Healthcare professionals are warning of how rapidly both the flu and RSV are spreading in the community on top of the COVID-19 pandemic. The trifecta of respiratory illnesses is filling hospital beds across the nation, and Madison ...
| |||||||
South Bay recognizes World AIDS Day, highlights progress and push forward "I don't think we will be far enough until there is zero new infections, zero deaths, zero transmissions," Nicole Altamirano, Silicon Valley Pride CEO told ABC7 News. "And just eradicating the disease.".
| |||||||
Got a cold? It could protect you from other viruses — but only for a bit Experts believe that a biological mechanism known as viral interference — which can sometimes stop the body from being infected by multiple viruses at once — might prevent a simultaneous triple surge of COVID-19, RSV and influenza this winter.
| |||||||
Short Term Memory Problems Can Be Improved With Laser Therapy The treatment, called transcranial photobiomodulation (tPBM), is applied to an area of the brain known as the right prefrontal cortex. This area is widely recognized as important for working memory.
| |||||||
LGBTQ+ Center spreads awareness about state's ongoing HIV crisis World AIDS Day, Dec. 1 ,is an international day dedicated to raising awareness of the AIDS pandemic caused by the spread of HIV infection.
| |||||||
Research reveals how a potentially fatal COVID-19 complication damages lung tissue Date: November 30, 2022; Source: University of Texas Health Science Center at Houston; Summary: New research has uncovered mechanisms involved in the rapid, severe progression of fibrosis in the lung tissues of COVID-19 patients, a potentially fatal ...
| |||||||
mRNA vaccines offer one-two punch to combat malaria Date: December 1, 2022; Source: George Washington University; Summary: A study shows that the new mRNA technology could help researchers save millions of lives, prevent illness and make progress toward elimination of this ancient disease. Share:.
| |||||||
Scarlet fever symptoms warning after clusters of outbreaks in Belfast, Bangor, Antrim and Craigavon It is not usually a serious illness, but can result in serious complications, therefore treatment with antibiotics is recommended. This helps to reduce the risk of complications and spread to others. The symptoms of scarlet ...
| |||||||
50000 Donated Mpox Vaccines Are The First To Arrive In Africa The shots were donated by South Korea and will be used for health workers and people living in the areas most impacted, AP notes. Meanwhile, Virginia has reported its first death from the illness. AP: African Continent Finally To Receive 1st Mpox ...
| |||||||
Covid-19's impact on the immune system, and how this may affect subsequent infections Collage of Covid test and person wearing a mask. Photo: 123rf.com / Composite Image - RNZ. Australian woman Cecilia* feels like she's been unwell most of ...
| |||||||
Change habits or perish, Museveni tells youth on World Aids Day Uganda's President Yoweri Museveni has warned the youth to take their lives seriously in face of the HIV/Aids disease which he said is killing 17,000 Ugandans every year, adding that a UN report has indicated that girls are four times more likely to be ...
| |||||||
As Cancer Screenings Start Back Up, Inequities Persist Results of a study conducted by the Community Oncology Alliance (COA) showed significant reductions in screenings at the beginning of the COVID-19 pandemic. Screenings in April 2020 compared with April 2019 showed breast (–85%), colon (–75%), prostate (–74 ...
| |||||||
UCSD creates experimental 'smart pill' that could aid in fighting inflammatory bowel disease and diabetes Researchers used pigs because their GI tract is similar to the one in humans. The proof-of-concept work was conducted by engineers at UCSD's Center for Wearable Sensors, which broadly works on health- ...
| |||||||
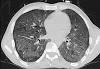
Study assesses the prevalence of residual lung abnormalities following COVID-19 hospitalization In a new study published online in the American Thoracic Society's American Journal of Respiratory and Critical Care Medicine, researchers sought to determine the percentage of COVID-19 patients discharged from the hospital who had a type of fibrotic ...
| |||||||
| You have received this email because you have subscribed to Google Alerts. |
Receive this alert as RSS feed |
| Send Feedback |
No comments:
Post a Comment