| | |||||||
| health | |||||||
| NEWS | |||||||
Adding Salt to Food Linked to Higher CVD Risk Results showed that a lower frequency of adding salt to foods was significantly associated with lower risk of total cardiovascular events after adjustment for covariates and the DASH (Dietary Approaches to Stop Hypertension) diet. Compared with ...
| |||||||
Measles: CDC and WHO Warn 40 Million Children at Risk Due to Low Vax Rates The report was made as a measles outbreak in Ohio continues to grow. At least 44 children in Columbus, Ohio have been infected with measles and 17 of them have been hospitalized, according to health officials ...
| |||||||
Valium, Xanax Prescriptions Could Raise Overdose Risk in Youth Benzodiazepines include anxiety medications like Ativan, Klonopin, Valium and Xanax, as well as prescription sleep aids such as estazolam (ProSom), triazolam (Halcion) and temazepam (Restoril). In ...
| |||||||
Alzheimer's Drug May Benefit Some Patients, New Data Shows The hotly anticipated results of a clinical trial of an experimental Alzheimer's drug suggest that the treatment slowed cognitive decline somewhat for people in the early stages of the disease but also caused some patients to experience brain swelling ...
| |||||||
Drug slows Alzheimer's but can it make a real difference? An experimental Alzheimer's drug modestly slowed the brain disease's inevitable worsening, researchers reported Tuesday -- but it remains unclear how much difference that might make in people's lives. Japanese drugmaker Eisai and its U.S. partner ...
| |||||||
Stool tests like Cologuard are gaining popularity over colonoscopy. Which should you get? "The best colorectal cancer screening test is the one you actually choose to take," said Dr. Barnett Kramer, a member of the Lisa Schwartz Foundation for Truth in Medicine, who retired as director of the National Cancer Institute's division of cancer ...
| |||||||
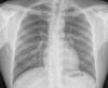
Early research suggests promising use of AI to predict risk of heart attack or stroke using a single chest X-ray Researchers used nearly 150,000 chest X-rays to train an artificial intelligence program to identify patterns in the images associated with risk from major cardiovascular disease events. They tested the program on a separate group of about 11,000 ...
| |||||||
Put Away That Salt Shaker to Shield Your Heart Even if you already follow a low-salt diet, sprinkling salt on your food can raise your risk for heart disease, heart failure and plaque in cardiac arteries, researchers report. "Compared ...
| |||||||
Eating more flavonols may improve memory as you age, study says "It's exciting that our study shows making specific diet choices may lead to a slower rate of cognitive decline," said study author Dr. Thomas Holland, an instructor in the department of internal medicine at Rush University Medical Center in Chicago, in a ...
| |||||||
A common treatment for your knee osteoarthritis may be making it worse, studies say Both papers showed a statistically significant increase in progression of degenerative changes in knee cartilage over two years in people that had corticosteroid injections compared with those who had hyaluronic acid or no injections, according to the ...
| |||||||
9 at-home exercises that may help relieve your long COVID symptoms What is clear is that an awfully large number of people are suffering with symptoms that linger or arise well after the virus should have cleared their system. Shortness of breath, brain fog, fatigue, and an ...
| |||||||
New drug appears to slow Alzheimer's, but can it make a real difference? An experimental Alzheimer's drug modestly slowed the brain disease's inevitable worsening, researchers reported Tuesday — but it remains unclear how much difference that might make in people's lives. Japanese drugmaker Eisai and its U.S. partner, ...
| |||||||
Alzheimer's drug lecanemab hailed as momentous breakthrough The first drug to slow the destruction of the brain in Alzheimer's has been heralded as momentous. The research breakthrough ends decades of failure and shows a new era of drugs to treat Alzheimer's - the most common form of dementia - is possible.
| |||||||
New data shows Alzheimer's drug can slow cognitive decline Lecanemab is a monoclonal antibody that helps remove the amyloid-beta clumps. Trial participants were split into two groups, both with a Clinical Dementia Rating Scale Sum of Boxes (CDR-SB) score of ...
| |||||||
COVID hospitalization rates in babies as bad as for seniors amid Omicron wave, study shows Nurse Kaitlyn Read checks on IV pumps treating a COVID-19 patient at Rady Children's Hospital in San Diego. (Irfan Khan / Los Angeles Times). By ...
| |||||||
'A terrible year': Austin area battling a particularly rough cold and flu season Cold and flu season came early to Centrral Texas this year. Cases of respiratory syncytial virus — commonly known as RSV — began filling emergency rooms and hospital beds in October just as flu season also kicked off. As of Tuesday, the Central Texas ...
| |||||||
Two-thirds of states reporting 'very high' or 'high' levels of flu-like activity: CDC So far, this flu season, there have been at least 6.2 million illnesses, 53,000 hospitalizations, and 2,900 deaths from flu, according to CDC estimates. Just ...
| |||||||
The TikTok Trend That Triggered a Diabetes Drug Shortage Nov. 29, 2022 – Weight loss advice is everywhere you look on social media, but one trend sweeping TikTok has led to shortages of an important diabetes drug. Ozempic, a weekly injection that helps boost insulin sensitivity in people with type 2 diabetes ...
| |||||||
Drug slows Alzheimer's but can it make a real difference? Japanese drugmaker Eisai and its U.S. partner Biogen had announced earlier this fall that the drug lecanemab appeared to work, a badly needed bright spot after repeated disappointments in the quest for better Alzheimer's treatments. Now the ...
| |||||||
Study shows Pfizer vaccine effectiveness decreases with age UT Southwestern researchers found that antibodies generated from the vaccine in people over 65 were less effective at performing antiviral functions than in younger adults. Pharmacist Henna Choi of Parkland ...
| |||||||
World AIDS Day Raises Awareness of Disparities, Barriers to HIV Care The 34th annual World AIDS Day is December 1, 2022, to raise awareness about disparities in care and access to testing, prevention, and treatment for patients with HIV infection. The day also includes many fundraising and awareness-raising efforts, ...
| |||||||
Cannabis Use Is On the Rise Among Pregnant People. What Are the Risks? Pregnant people were approximately 4.6 times more likely to use cannabis in legalized areas compared to areas where only CBD is allowed. Potential risk factors for using cannabis during pregnancy include low birth weight, neurodevelopmental issues, ...
| |||||||
New flu defense in the works: 1 shot to protect against all 20 influenza viruses Taking a new approach, based on the mRNA technology that proved effective against COVID-19, University of Pennsylvania researchers are working on the experimental vaccine. By Karen Weintraub ...
| |||||||
One Dose of Acoziborole Led to Cure of 'Sleeping Sickness' Across Disease Stages A single dose of oral acoziborole proved to be efficacious and safe for adults and adolescents with gambiense human African trypanosomiasis (HAT), also known as "sleeping sickness," suggesting its promise in interrupting transmission, a single-arm ...
| |||||||
Healthy Plant-Based Diets Lower Men's Odds for Colon Cancer By Cara Murez HealthDay Reporter. (HealthDay). TUESDAY, Nov. 29, 2022 (HealthDay News) -- Are you an older man worried about your risk for colon cancer? Eating whole grains, vegetables, fruits and legumes may improve your odds of dodging the disease, ...
| |||||||
Flu and RSV are overwhelming children's hospitals. How many beds are free in your state? Respiratory syncytial viral (RSV), COVID-19 and influenza are continuing to overwhelm health systems across the U.S., well before the traditional start of peak flu and RSV season. Currently, about three-quarters of hospital beds are already full in the ...
| |||||||
Health Matters: On World AIDS day, we celebrate progress and push for equality By Dr. David Gorchoff. Dec. 1 is World AIDS Day, an international day dedicated to spreading awareness about HIV/AIDS and remembering those who have died from the disease. World AIDS Day started as an awareness campaign by the World Health Organization ...
| |||||||
UW Health reports surge in flu cases in recent weeks They say most immune systems haven't seen influenza since the start of the pandemic. UW-Health's Dr. Jeff Pothof explained what he thinks is a main factor in rising cases.
| |||||||
New cure for sleeping sickness could eliminate 'nightmare disease' Sleeping sickness, also known as human African trypanosomiasis, is a parasitic pathogen spread by tsetse flies. Fatal without treatment, it can cause debilitating disruption of sleep patterns, uncontrollable aggression and psychosis.
| |||||||
World AIDS Day: Equalize to end the AIDS epidemic Just 22% of young people have knowledge about HIV prevention, and coverage of testing for people who inject drugs has significant room for improvement. Access to game-changing innovations such as HIV self-testing and pre-exposure prophylaxis remains highly ...
| |||||||
How Long Does Flu Shot Protection Last? On average, flu shots provide protection for 6 to 8 months, although an individual's immune system is likely to affect the durability of a vaccine, according to Judith James, MD, PhD, vice president of clinical affairs at the Oklahoma Medical Research ...
| |||||||
Things parents can do to help protect children against the flu, RSV and COVID-19 "Health care facilities are already being overwhelmed by sick kids -- especially with RSV which causes cold-like symptoms and sometimes serious respiratory problems -- especially in babies," explained Consumer Reports Health Editor Kevin Loria.
| |||||||
COVID-19 vaccine's effectiveness diminishes with age, research shows Newswise — DALLAS – Nov. 29, 2022 – The Pfizer-BioNTech COVID-19 vaccine limits transmission, hospitalization, and death from COVID-19 even among patients infected by variants of the virus, but the effectiveness of antibodies it generates diminishes as ...
| |||||||
Health Department Releases 2021 HIV Surveillance Annual Report, Commemorates 2022 World AIDS Day New HIV diagnoses in New York City in 2021 down 23% since 2017 and down 73% since 2001. While new HIV diagnoses increased between 2020 and 2021, the rise likely reflects an increase in HIV testing following a steep drop during the COVID-19 pandemic.
| |||||||
For World AIDS Day, JCPH encourages all residents to get tested and know their status Jefferson County, Colo. — Across the U.S., about 1.2 million people have HIV — and about 13 percent of them don't know it and need testing. That's roughly twice the population of Jefferson County. While there has been significant progress in the fight ...
| |||||||
Scientists Have Reanimated a 'Zombie Virus' That Had Been Stuck Under a Frozen Lake For 50000 Years! If you were a screenwriter picturing the Siberian wilderness, you'd probably ponder what mystery you could conjure up to make the already-desolate setting more intriguing to the plot. Some lurking beasts would do the trick. The freezing wasteland could ...
| |||||||
The evolutionary trajectories and mechanisms driving the emergence of post-Omicron SARS-CoV-2 lineages In a recent report posted on Virological*, a discussion forum for analysis of virus genomes, researchers summarized the mechanisms through which the severe acute respiratory syndrome coronavirus 2 (SARS-CoV-2) new Omicron sublineages are evolving.
| |||||||
Diabetes Linked to Worse COVID-19 Outcomes in FA Patients People with Friedreich's ataxia (FA) who also have diabetes, a condition that causes their blood glucose (sugar) level to become too high, are more likely than those who don't have diabetes to have worse outcomes from COVID-19, according to a ...
| |||||||
A Simple Diet Change Could Slash The Risk of Bowel Cancer in Men, Study Finds A new study on 79,952 men in the United States has found that a diet rich in vegetables, fruits, whole grains, legumes, nuts, and seeds is associated with a 22 percent lower risk of developing colorectal cancer compared to those who eat the least amount of ...
| |||||||
Obstructive sleep apnea in young Asian adults with sleep-related complaints They also complained more about snoring and daytime sleepiness. They had a higher apnea–hypopnea index on average and experienced more hypoxemia during their sleep, both in terms of duration and the extent of desaturation. Even ...
| |||||||
Lung scans reveal 'cancers we get the opportunity to cure' Nurse reviewing x-ray. Sanford Health oncologists recommend long-time smokers get regular lung cancer screenings that could save their lives. (Photo by Getty Images).
| |||||||
Flu actively circulating in community – Mills "Unlike Covid, which is a disease that largely affects the older people, flu affects the very young and the very old or the immunocompromised, people on therapy for cancer or immune diseases so, younger people are at risk," Prof Mills said.
| |||||||
Data offers COVID vaccine ideas with better variant resilience A look inside a cryoelectron microscope used in studies of coronavirus spike proteins. Latest research findings show that vaccine-elicited neutralizing antibodies against SARS-CoV-2 are mostly directed ...
| |||||||
Ohio's measles outbreak grows: 4 notes At least 44 unvaccinated children in the Columbus, Ohio, region have been infected with measles since the first few cases were confirmed in early November, according to a dashboard run by the city's health department. Health officials say the cases are ...
| |||||||
Drug clears sleeping sickness parasite from the body in clinical trial The condition, caused by Trypanosoma brucei, typically spreads via tsetse flies, which pick up the parasite when consuming the blood of an infected mammal, such as dogs, livestock or humans. Early symptoms include fever, weakness and itching.
| |||||||
Researchers use mRNA technology for potential universal flu vaccine The multivalent vaccine employs mRNA technology, which sped up the development and use of the first COVID-19 vaccines. The flu vaccine candidate produces copies of all 20 known influenza subtypes, and animal testing shows reductions ...
| |||||||
48500-year-old zombie virus revived by scientists in Russia ANI. Moscow, November 30. French scientists have revived a 48,500-year-old "zombie virus" buried under a frozen lake in Russia. According to New York Post, the French scientists have sparked fears of yet another pandemic after the revival of the zombie ...
| |||||||
Deep Learning Model Predicts 10-Year Cardiovascular Disease Risk from Chest X-Rays "This type of screening could be used to identify individuals who would benefit from statin medication but are currently untreated." Current guidelines recommend estimating the 10-year risk of MACE to establish which patients would ...
| |||||||
Researchers demonstrate new method of spinal cord tissue repair According to the researchers, new hybrid biomaterials developed at UL in the form of nanoparticles and based on existing practice in the tissue engineering field were successfully synthesised to promote repair and regeneration following spinal cord injury.
| |||||||
World AIDS Day You should always use condoms correctly and you should use them every time you have anal or vaginal sex. You should avoid sharing needles and syringes. People at risk for getting HIV can take medication called prEP (pre-exposure prophylaxis) that will ...
| |||||||
| You have received this email because you have subscribed to Google Alerts. |
Receive this alert as RSS feed |
| Send Feedback |
No comments:
Post a Comment