| | |||||||
| health | |||||||
| NEWS | |||||||
Monkeypox vaccine maker voices concerns on US dose-splitting plan The representative said Bavarian Nordic had communicated those concerns to the Biden administration. In interviews Wednesday, Biden administration officials acknowledged Bavarian Nordic's concerns but said they would not affect their vaccine strategy ...
| |||||||
New US monkeypox vaccine strategy could be huge boost for supply, but much is unknown With more than 10,000 monkeypox cases in the United States and vaccine demand remaining high, Jynneos has been in short supply for weeks. The new injection strategy allows health-care providers to give shallow injections intradermally, ...
| |||||||
'Silent' spread of polio in New York drives CDC to consider additional vaccinations for some people The case was found In Rockland County, which has a stunningly low polio vaccination rate. Dr. José Romero, director of the CDC's National Center for Immunization and Respiratory Diseases, noted that the majority of people with polio don't have symptoms and ...
| |||||||
Salt Substitutes Lower Stroke, Heart Disease Dangers A diet too high in salt composed of sodium chloride raises blood pressure and damages cardiovascular health, raising the chances of early death. ADVERTISEMENT. But the research ...
| |||||||
11 Monkeypox Myths, Debunked by Health Experts Experts are concerned that misinformation about monkeypox can prevent people from protecting themselves. · Monkeypox can affect people of any age, gender, or sexual orientation. · Though monkeypox is not a new virus, the situation is evolving.
| |||||||
EXPLAINER: Can the spread of monkeypox be stopped? LONDON — Since May, nearly 90 countries have reported more than 31,000 cases of monkeypox. The World Health Organization classified the escalating outbreak of the once-rare disease as an international emergency in July; the U.S. declared it a national ...
| |||||||
Gay men can fight monkeypox ourselves — by changing how we have sex Benjamin Ryan has been covering infectious disease and LGBTQ health for two decades and contributes to the New York Times, NBC News, the Guardian and Thomson Reuters Foundation. In March 1983, writer-activist Larry Kramer published a legendary screed ...
| |||||||
FDA's move to stretch monkeypox vaccine supplies could pay off, experts say Vaccine experts say that the scientific rationale behind this decision is sound, but technical challenges with the rollout technique may still be ahead. "In recent weeks, the monkeypox virus has continued to spread at a ...
| |||||||
Chicago clinics for monkeypox vaccine open this weekend, by appointment only "CDPH has been working closely with healthcare providers, clinics, and community-based organizations who work with individuals disconnected from medical services to schedule vaccination appointments." Places where people can make appointments to get ...
| |||||||
How a 2-Minute Walk After Meals Can Help Lower Type 2 Diabetes Risk Researchers say walking for as little as 2 minutes after a meal can help with digestion and lower blood sugar levels. Experts say it's important to begin a walking routine by knowing your physical limitations and how far and how often you can walk ...
| |||||||
Think you have monkeypox? It might be another skin condition With the number of cases of monkeypox rising across the world, and descriptions of rashes from the virus varying from person-to-person, people are concerned that any new bumps might be monkeypox. But with more than 10,300 cases in the U.S. so far, ...
| |||||||
America's New Monkeypox Strategy Rests on a Single Study Once again, the United States is messing up its approach to vaccines. Three months into its monkeypox outbreak, just 620,000 doses of the two-injection Jynneos shot—the nation's current best immune defense against the virus—have been shipped to states, ...
| |||||||
90% of People Who Lose Sense of Smell or Taste from COVID-19 Regain It Within 2 Years For many of these individuals, symptoms have persisted for over six months. New research suggests that most patients will regain these senses within two years. Research continues around exactly how COVID-19 impacts taste ...
| |||||||
EXPLAINER: Can the spread of monkeypox be stopped? LONDON -- Since May, nearly 90 countries have reported more than 31,000 cases of monkeypox. The World Health Organization classified the escalating outbreak of the once-rare disease as an international emergency in July; the U.S. declared it a national ...
| |||||||
TPOXX Is the Only Monkeypox Treatment -- If You Can Get It By Alan Mozes HealthDay Reporter. (HealthDay). WEDNESDAY, Aug. 10, 2022 (HealthDay News) -- What if a rare viral illness with the potential to cause excruciating pain was in fact treatable, but the only drug for that use was nearly impossible to get, ...
| |||||||
When Students Learn Spatial Skills, Their Verbal Abilities Get a Boost Sociocultural barriers, test anxiety and differences in rates of brain development can skew results. In principle, neuroscience tools that allow observation of brain activity might better characterize learning gains. But neuroscience and education have not ...
| |||||||
Can the spread of monkeypox be stopped? Is this another pandemic? No. A pandemic means that a disease outbreak has spread to the entire world. Monkeypox does not transmit as quickly as the coronavirus, and stopping it will not require dramatic ...
| |||||||
What Is the New Langya Virus, and Should We Be Worried? It's related to Hendra and Nipah viruses, which cause disease in humans. However, there's much we don't know about the new virus – known as LayV for short – including whether it spreads from human to human.
| |||||||
CDC: Few Insured Patients With Hepatitis C Get Timely Treatment Although hepatitis C infection is a highly curable disease, few insured patients diagnosed received direct-acting antiviral (DAA) treatment during 2019-2020, while disparities contributed to treatment delays, according to new CDC data appearing in an ...
| |||||||
Most Older, Vaccinated Americans Say They'll Get Updated Booster in Fall: Poll By By Dennis Thompson HealthDay Reporter, HealthDay Reporter. (HealthDay). WEDNESDAY, Aug. 10, 2022 (HealthDay News) -- Most older U.S. adults are prepared to roll up their sleeves to get an updated COVID-19 booster shot once one becomes available, ...
| |||||||
Another Study Shows COVID's Danger to Pregnant Women By Steven Reinberg HealthDay Reporter. (HealthDay). THURSDAY, Aug. 11, 2022 (HealthDay News) -- Pregnancy significantly increases the odds of devastating outcomes from COVID-19, a new study confirms. Complications from the virus to pregnant women can ...
| |||||||
Let's talk about Covid-19 boosters "If you are 18 and older and have not yet had any vaccines beyond your primary vaccination, you should get your booster now," said CNN medical analyst Dr. Leana Wen, an emergency physician and professor of health policy and management at the George ...
| |||||||
AHA News: When Her Smartwatch Indicated She Might Be in AFib, She Thought It Was a Mistake By American Heart Association News HealthDay Reporter. (HealthDay). WEDNESDAY, Aug. 10, 2022 (American Heart Association News) -- Megan Buchholz groggily read the notification from her smartwatch. Its vibration had roused her out of a deep sleep.
| |||||||
Monkeypox spread demonstrates need for spending flexibility, Chicago's top doctor says Chicago Department of Public Health Commissioner Dr. Allison Arwady said Wednesday that in order for local health departments to respond quickly to critical outbreaks such as the monkeypox virus, they are going to need greater flexibility in spending ...
| |||||||
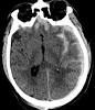
Blood Tests in Newly Brain-Injured Patients Predict Death, Severe Disability Blood tests taken within 24 hours of a traumatic brain injury (TBI) flag which patients are likely to die and which patients are likely to survive with severe disability, according to a study headed by UC San Francisco, the University of Pennsylvania ...
| |||||||
Monkeypox patient speaks out about what it's like to have the disease When the first lesion appeared on Jeffrey Todd's right cheek in mid-July, the 43-year-old didn't pay too much attention to it. "I noticed I had like a pimple or like a blemish on my cheek and it had this very odd-looking raised white circle around the ...
| |||||||
Blood-based biomarkers help predict outcomes after traumatic brain Injury A study funded by the National Institutes of Health found that biomarkers present in the blood on the day of a traumatic brain injury (TBI) can accurately predict a patient's risk of death or severe disability six months later.
| |||||||
Monkeys aren't giving people monkeypox, WHO says, so don't attack them Officials believe at least 10 monkeys were hurt or poisoned in Brazil over monkeypox fears, and seven died. But most cases spread from intimate person-to-person contact. The World Health Organization warned people not to hurt monkeys, ...
| |||||||
New Langya virus infects dozens in China. Why experts say you shouldn't panic. Scientists discovered a new virus in eastern China that may be able to jump from animals to humans. But health experts say it isn't cause for panic. Researchers identified the new pathogen they're calling the Langya virus in 35 people from April 2018 ...
| |||||||
London children offered polio vaccine booster as virus found in wastewater Britain will offer a polio booster vaccine dose to children ages 1 to 9 in London, after the poliovirus was detected in wastewater in parts of the city. The U.K. Health Security Agency said Wednesday that the vaccination program will start in areas ...
| |||||||
What parents need to know about monkeypox, COVID-19 as students return to school Cases of COVID-19 and monkeypox cases are on the rise in Ohio as students prepare to head back to the classroom, so should parents be concerned for their student's health? Local health experts say they are worried about COVID-19 in schools, ...
| |||||||
When and how will the COVID-19 pandemic actually end? The questions experts are figuring out now are about how long this transition period will last — and how much the virus will change during this phase. What will happen this fall and winter? " ...
| |||||||
Colleges, universities implement guidelines as monkeypox continues to spread Joseph Kurland is a vaccine specialist and infection preventionist at Children's Minnesota. He says in a typical monkeypox case it could take up to four weeks for lesions to heal.
| |||||||
Why the WHO is renaming monkeypox "The prevailing perception in the international media and scientific literature is that [monkeypox virus] is endemic in people in some African countries. However, it is well established that nearly all [monkeypox virus] outbreaks ...
| |||||||
Family physician on what you need to know about monkeypox: 'It's largely preventable' What is monkeypox? How do you get it? Who's at risk? The viral disease has infected over 9,000 people in the United States, many cases coming after the World Health Organization declared it a public health emergency in July.
| |||||||
Why the WHO is renaming monkeypox (The Hill) — The World Health Organization is renaming monkeypox amid concerns that the name may be considered racist and might not accurately describe the origin of the virus. WHO director general Tedros Adhanom Ghebreyesus said in mid-June that the ...
| |||||||
Knoxville doctor on what you need to know about monkeypox: 'It's largely preventable' To help dispel misinformation, Knox News spoke with Dr. Eric Penniman of Summit Medical Group at Middlebrook to get answers straight from a family medicine physician. How concerned should people be about monkeypox?
| |||||||
Monkeys poisoned, killed in Brazil amid rising monkeypox fears; WHO condemns attacks SAO PAULO — The World Health Organization expressed sorrow on Tuesday for the killing of monkeys in Brazil amid fears of monkeypox contagion. Brazilian news website G1 reported on Sunday that 10 monkeys had been poisoned in less than a week in the city ...
| |||||||
Most of Atlanta's monkeypox cases affect gay, Black men. Many of them are HIV positive as well Monkeypox continues to spread throughout Georgia. A new report from the Georgia Department of Public Health shows the virus is also disproportionately affecting communities of color. GPB's Ellen Eldridge reports. A woman in gloves draws monkeypox ...
| |||||||
UC San Diego program monitoring wastewater for COVID expands to track monkeypox Monitoring and testing for the monkeypox virus is a relatively simple add-on to the current wastewater surveillance program for SARS-CoV-2, said Rob Knight, professor and director of the Center for Microbiome Innovation at UCSD.
| |||||||
Despite drop in popularity, cigarette smoking continues to be a leading cause of US cancer deaths Researchers found smoking-attributable cancer deaths resulted in 2.2 million years of potential years of life lost (PYLL) and nearly $21 billion in annual lost earnings. Despite the emergence of e- ...
| |||||||
Dementia Risk Appears Greater If Heart's Left Atrium Exhibits Abnormality "The contribution of atrial cardiopathy to dementia risk is uncharacterized. We aimed to evaluate the association of atrial cardiopathy with incident dementia and potential mediation by atrial fibrillation (AF) and stroke," wrote the investigators.
| |||||||
Covid, Monkeypox, Polio: Is The US On Disease High Alert? At a Glance · Several diseases are on the rise, which may be taking a toll on the nation's mental health. · Experts say anxiety and depression have skyrocketed during the Covid pandemic. · Taking care of your well-being should be a priority, health experts ...
| |||||||
Coronavirus Watch: Flu may be coming back with a vengeance The Southern Hemisphere, currently in its flu season, already shows cases surpassing pre-pandemic levels, prompting health experts to worry about what's in store for Americans this year. As the nation awaits an omicron ...
| |||||||
Here's what you need to know about monkeypox in Michigan The CDC is tracking a monkeypox outbreak this year. Previously, monkeypox was spread through international travel and contact with imported animals. Now, countries like the United States that don't normally report monkeypox are noticing an increase of ...
| |||||||
What we know of the symptoms and spread of monkeypox With monkeypox surging across the world, experts are gathering more evidence on how people catch it and its typical symptoms. Several months into the epidemic, it is clear the wave of infections is linked above all to sexual intercourse between men.
| |||||||
Why thinking hard for several hours can leave you mentally exhausted Thinking hard for several hours can leave us feeling mentally tired – and now we may know why. Prolonged concentration leads to the build-up of a compound called glutamate in regions at the front of the brain. This may provide an explanation as to why ...
| |||||||
Langya virus: How serious is the new pathogen discovered in China? Dozens of people in eastern China are known to have been infected by a novel virus, named Langya henipavirus (LayV), that appears to be transmitted from animals to people. What is Langya henipavirus? LayV is part of a genus of viruses called ...
| |||||||
Colleges, universities implement guidelines as monkeypox continues to spread MINNEAPOLIS — With close to 8,934 monkeypox cases nationwide, concerns linger ahead of the new school year - as the virus continues to spread. "Spreading this much and this quickly is a bit of a surprise," said Joseph Kurland, vaccine specialist at ...
| |||||||
MSU researchers help develop mobile app to identify potential Lyme disease-carrying ticks Picture this. You're walking through the woods when you brush up against some tall grass, or maybe you wandered off trail momentarily. Close up of a blacklegged tick on a leaf. Centers for Disease Control and Prevention. Blacklegged ticks like this can ...
| |||||||
| You have received this email because you have subscribed to Google Alerts. |
Receive this alert as RSS feed |
| Send Feedback |
No comments:
Post a Comment