| | |||||||
| health | |||||||
| NEWS | |||||||
Initial strategy of vaccinating only known monkeypox contacts was 'doomed to failure' in the US, experts say Even though the US response to the monkeypox outbreak has evolved, there are clear reasons why federal health officials would immediately consider a ring vaccination strategy early on. "That's the way that we eradicated smallpox from ...
| |||||||
Can the monkeypox outbreak be stopped? Some experts say its too late MICHAELEEN DOUCLEFF, BYLINE: Hello. PIEN HUANG, BYLINE: Hey, Mary Louise. KELLY: All right, Michaeleen, a question or two to you first. When I say cases are rising ...
| |||||||
New York becomes second major US city to declare health emergency over monkeypox "We estimate that approximately 150,000 New Yorkers may currently be at risk for monkeypox exposure," Mayor Eric Adams and Dr. Ashwin Vasan, commissioner of the city's health and mental hygiene department, said in a joint statement.
| |||||||
How we talk about monkeypox matters. Experts offer ways to reduce stigma As places like San Francisco and New York state declare the monkeypox outbreak a public health emergency, there's a major question: how to talk about the virus in the first place. Monkeypox, also known as hMPXV, has been spreading across the U.S. since ...
| |||||||
New York City declares monkeypox a public health emergency NEW YORK — Officials in New York City declared a public health emergency due to the spread of the monkeypox virus Saturday, calling the city "the epicenter" of the outbreak. The announcement Saturday by Mayor Eric Adams and health Commissioner Ashwin ...
| |||||||
Some parts of the world saw increases in HIV cases Competing pandemics, an economic downturn and a war in Ukraine are all contributing to a rise in HIV infections. NPR's Cheryl Corley talks to the deputy executive director of UNAIDS. CHERYL CORLEY, HOST: Over the last two decades, new HIV infections ...
| |||||||
Spain reports 2nd death from monkeypox BARCELONA, Spain -- Spain reported Saturday a second death in as many days from monkeypox. These are believed to be the first confirmed fatalities from the disease in Europe since its recent spread beyond Africa. The ministry based in Madrid said both ...
| |||||||
Getting monkeypox treatment is easier, but still daunting and confusing HHS said the Centers for Disease Control and Prevention keeps track of courses administered, but the CDC referred NPR back to HHS, which suggested that NPR check with individual jurisdictions. A drug for smallpox, tested ...
| |||||||
Israel was a world leader in combatting COVID-19 with vaccines, now they're getting ready for monkeypox It's now ordering large stockpiles of monkeypox vaccine to prevent the disease's spread. Despite having recorded only 125 cases of disease, Israeli health authorities have taken the unusual approach of securing 10,000 monkeypox ...
| |||||||
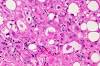
Viral infections, genetic factors may be linked to mystery hepatitis in kids, studies suggest Co-infection involving unusual pathogen, other viruses plus specific gene may play roles, say U.K. scientists. Lauren Pelley · CBC News · Posted: Jul 31, 2022 4:00 AM ET | Last Updated: in 1 minute. A microscopic file photo of liver tissue.
| |||||||
For pioneering AIDS activists, monkeypox outbreak evokes déjà vu Four leading AIDS activists from the 1980s and '90s argue the global public health response to contain the current monkeypox outbreak has already failed. Image: People line up get vaccinated against the monkeypox virus on July 21, 2022.
| |||||||
Spanish health ministry confirms second death from monkeypox virus The identity of the victims has not been released. The first victim was a resident in the Comunidad Valenciana in eastern Spain and died as the result of encephalitis associated with the infection. According to data collected ...
| |||||||
New York's Recent Polio Case is a Rare Occurrence Announced on July 21, 2022, the Rockland County, NY, patient reportedly contracted a form of polio that can be traced back to the live, but weakened, poliovirus used in the oral polio vaccine (OPV).
| |||||||
World's first HIV-positive to HIV-positive heart transplant performed at NYC hospital Dr. Ulrich P. Jorde, with the Division of Cardiology at Montefiore and a professor of medicine at Albert Einstein College of Medicine, called the procedure a "milestone in the history of organ donation.".
| |||||||
| You have received this email because you have subscribed to Google Alerts. |
Receive this alert as RSS feed |
| Send Feedback |
No comments:
Post a Comment