| | |||||||
| health | |||||||
| NEWS | |||||||
So you've got COVID. Here's what to do If you have a decent supply of at-home antigen tests, says Pierre, go ahead and take one as soon as you feel ill. "But do not," she stresses, "use that test as proof-positive that you can go out and interact in society, thinking it's just a cold." ...
| |||||||
The Covid Vaccine We Need Now May Not Be a Shot Currently available vaccines produce powerful, long-lasting immunity against severe illness, as several studies have recently shown. But their protection against infection from the coronavirus is transient, and can falter as new variants of the virus ...
| |||||||
Could a Pap Test Help Detect Breast, Ovarian Cancers, Too? By Amy Norton HealthDay Reporter. (HealthDay). WEDNESDAY, Feb. 2, 2022 (HealthDay News) -- Pap tests have long been used to detect cervical cancer early, but preliminary research suggests that cervical cells collected during those tests could also be ...
| |||||||
One nasal droplet's worth of coronavirus is enough to make you sick In the 18 infected participants, the average incubation period — the time period from initial exposure to first detection of the virus via tests — was 42 hours, the team reported. The researchers took swab samples from ...
| |||||||
Pair of Decade-Long CAR-T Remissions Spark Talk of 'Cure' Treatment with chimeric antigen receptor (CAR) T-cell therapy resulted in remissions of more than 10 years in two chronic lymphocytic leukemia (CLL) patients -- responses that the investigators said exceeded their "wildest expectations" and had them ...
| |||||||
'Long COVID' Baffles Patients, Doctors Crushing fatigue. Brain fog. Trouble breathing weeks after contracting COVID-19. Scientists call it post-acute sequelae of COVID-19. Most people just call it "long COVID." For millions of people, these and other symptoms are keeping them from getting ...
| |||||||
Gruesome Warning Images on Soda Labels Could Cut Consumption By Denise Mann HealthDay Reporter. (HealthDay). WEDNESDAY, Feb. 2, 2022 (HealthDay News) -- Images of fat-laden, diseased hearts and blackened, rotting feet might be the last thing you expect to see on the label of a can of soda that your child ...
| |||||||
Doctors: Cancer patients cured a decade after gene therapy In 2010, doctors treated Doug Olson's leukemia with an experimental gene therapy that transformed some of his blood cells into cancer killers. More than a decade later, there's no sign of cancer in his body. The treatment cured Olson and a second ...
| |||||||
Could a Chewing Gum in Pregnancy Help Prevent Premature Deliveries? The study took place in Malawi, Africa, which has one of the world's highest rates of preterm delivery. Experts are quick to caution that it's too early to say that all pregnant women should start chewing xylitol gum to prevent preterm birth.
| |||||||
Precision Treatment With TIL Shows Promise in Metastatic Breast Cancer Interim data from a National Cancer Institute Center for Cancer Research study show demonstrated immune reactions in patients with breast cancer following immunotherapy with their own tumor-infiltrating lymphocytes (TIL).
| |||||||
Benefits of treated malaria bed nets persist into adulthood, 22-year study finds A two-decade study of the impact of treated mosquito bed nets for malaria control in Tanzania found that the benefits of using the nets in early childhood persisted into adulthood, assuaging some immunity-related fears.
| |||||||
Maine CDC director opposes bill to legalize hallucinogenic mushrooms, says more research needed Dr. Nirav Shah submitted written testimony this week on the bill, sponsored by Sen. Donna Bailey, D-Saco, that would allow people to use psilocybin at designated treatment centers under certain conditions. The ...
| |||||||
British COVID Trial Deliberately Infecting Young Adults Found to Be Safe By Josephine Mason and Jennifer Rigby. LONDON (Reuters) -The world's first "human challenge" trial in which volunteers were deliberately exposed to COVID-19 to advance research into the disease was found to be safe in healthy young adults, ...
| |||||||
Intentional Drug Overdoses; Social Media Suicide Lawsuit; Marijuana & Schizophrenia Although intentional drug overdose deaths have dropped off over the past few years in the U.S., increases were seen for certain groups, including young people (ages 15-24), older people (ages 75-84), and Black women. (American Journal of Psychiatry).
| |||||||
Caregivers of childhood cancer survivors express hesitancy on COVID vaccination Many caregivers expressed hesitancy to vaccinate themselves and their children who had cancer against COVID-19, according to study results published in Pediatric Blood & Cancer. "Clearly these are difficult decisions being made at the level of the ...
| |||||||
Suicides by drug overdose increased among youth, elderly and Black women in last five years: study A new study found rates of intentional drug overdoses increased among young adults, Black women and the elderly from 2015 to 2019. Documenting suicide rates can be challenging as researchers say it can be difficult to determine if an overdose was ...
| |||||||
Social isolation, loneliness drive CVD risk among older women In a prospective study, Golaszewski and colleagues analyzed data from 57,825 older women participating in the Women's Health Initiative II study with no history of CVD at baseline (mean age, 79 years; 89.1% white). Participants completed questionnaires ...
| |||||||
Study Results Show Link Between Diabetes and High Blood Pressure A small protein cell glucagon-like peptide-1 (GLP-1) has been linked to the body's control of blood sugar and blood pressure (BP), study results from the universities of Bristol, United Kingdom, and Auckland, New Zealand, show.
| |||||||
Americans use higher melatonin doses for sleep, but study warns of possible health risks More Americans rely on melatonin to help them fall asleep, but how much is too much? In 2018, Americans took more than twice the amount of the over-the-counter aid that they did a decade earlier, according to research published Tuesday in the Journal ...
| |||||||
Could the 'Love Hormone' Help Drive Sex Addiction in Men? "We discovered that men with compulsive sexual behavior disorder (CSBD) had higher oxytocin levels compared with healthy men," Dr. Andreas Chatzittofis, of the University of Cyprus Medical School in Nicosia, Cyprus and Umeå University in Umeå, Sweden, said ...
| |||||||
January was Allegheny County's deadliest month since COVID-19 vaccine rollout January was the deadliest month for COVID-19 in Allegheny County since before the vaccines became widely available, county health officials reported Wednesday. That's despite the fact that the omicron variant causes milder symptoms in most people who ...
| |||||||
Who gets an organ transplant? Waitlist rules are complicated. A doctor talks to a patient who is sitting on an MRI machine's bed. The process of becoming eligible for a transplant involves a lot more than a COVID vaccine. Mart Production/Pexels.
| |||||||
COVID-19 vaccine hesitancy may be linked to childhood trauma, study suggests "Adverse childhood experiences (ACEs) can affect life-course health and well-being, including risk-taking behaviour and trust," the study's authors wrote. Researchers found that increasing ACEs were also ...
| |||||||
Pediatricians Say Children Need to Be Back in School: Here's Why The American Academy of Pediatrics (AAP) has reaffirmed its stance on prioritizing in-person learning during the COVID-19 pandemic, along with "diligent adherence to safety measures such as vaccination, universal masking, and physical distancing.".
| |||||||
Newly fallen snow presents deadly heart-health risks to Kansans The world's leading nonprofit focused on heart and brain health said many face an increased risk of heart attack or sudden cardiac arrest after they shovel heavy snow. AHA said the heart-health hazards of shoveling snow ...
| |||||||
Covid Shots for Young Kids Relieve Parents Who Are Past the 'Breaking Point' For lots of families, feeling better about child care could be the most important change. Some working parents would feel more comfortable about putting their young children into day care, while others are hopeful the shots will mean fewer hassles with ...
| |||||||
Plans to sell vaginal HRT tablets over the counter Vaginal oestrogen tablets - a type of hormone replacement therapy (HRT) - could be available in chemists depending on the outcome of a consultation. Under the proposals, women would be able to get them without a prescription instead of going to see ...
| |||||||
France to start using Pfizer's COVID-19 drug, first in EU France says it will start administering Pfizer's coronavirus antiviral drug this week, the first pill for treating COVID-19 approved in the 27-nation EU. ByThe Associated Press. February 2, 2022, 8:39 AM. • 2 min read. Share to Facebook
| |||||||
Midlife Conditions Linked With Later Dementia People with two or more chronic conditions (multimorbidity) in midlife had a higher risk of subsequent dementia, a prospective cohort showed. Midlife multimorbidity more than doubled the risk of dementia later in life, reported Céline Ben Hassen, PhD, ...
| |||||||
Omicron variant may be the baby of two previous COVID-19 lineages The omicron variant of the novel coronavirus may have been borne from a recombination of two earlier COVID-19 lineages, a new study suggests. The study — available on the Research Square preprint platform ahead of peer review — said that the omicron ...
| |||||||
Childhood Trauma May Influence Vaccine Hesitancy: Study "For clinicians, simply being trauma informed can help," Bellis said. "Understanding how such childhood adversity can affect people may help them when discussing vaccines, and in understanding resistance to what is a complex medical issue and one that ...
| |||||||
Highly transmissible Omicron subvariant surfaces in Buffalo Niagara region Donald Yergeau, left, associate director of genomic technologies at the University at Buffalo Genomics and Bioinformatics Core, and Jennifer Surtees, co-director of the UB Genome, Environment and Microbiome Center (GEM), lead the team that determines which ...
| |||||||
The first people have received an experimental mRNA HIV vaccine The company, which is conducting the trial in partnership with the nonprofit International AIDS Vaccine Initiative (IAVI), hopes the trial will confirm whether the vaccine can deliver HIV-specific antigens to the body and induce an immune response.
| |||||||
'Love hormone' could be to blame for male sex addiction: study Oxytocin — informally known as the "love hormone" — is naturally produced by both men and women and helps fuel positive emotions, like other hormones such as dopamine and serotonin.
| |||||||
Parents eagerly await COVID vaccines for kids under 5 JOHNSON CITY, Tenn. (WJHL) – Pediatric COVID-19 cases have surged across the region in the last month and that's left some parents of very young children anxious about when they'll be able to get them vaccinated. "We're so hopeful that this tool will ...
| |||||||
Parents: What You Need to Know About Kids & COVID-19 By Robert Preidt, HealthDay Reporter. (HealthDay). WEDNESDAY, Feb. 2, 2022 (HealthDay News) -- As the number of U.S. children with COVID-19 continues to surge, there are a number of things parents should know, a pediatric infectious disease expert says ...
| |||||||
Tips for pet owners during Pet Dental Health Month Imagine how you would feel if you skipped brushing your teeth for months and never saw the dentist. Not only would your mouth feel unhealthy, but you probably wouldn't have many teeth left in your old age. Dental health is so important to our overall ...
| |||||||
Exposure to one nasal droplet may be enough for Covid infection: Study Among several key clinical insights, researchers found that symptoms start to develop very fast, on average about two days after contact with the virus. They also found that infection first appears in the throat, infectious ...
| |||||||
'Decoy' Protein Works Against Multiple Coronavirus Variants in Early Study The NIH continues to support the development of some very innovative therapies to control SARS-CoV-2, the coronavirus that causes COVID-19. One innovative idea involves a molecular decoy to thwart the coronavirus. How's that? The decoy is a specially ...
| |||||||
Risk for Breakthrough SARS-CoV-2 Infection Lower With mRNA-1273 WEDNESDAY, Feb. 2, 2022 (HealthDay News) -- Recipients of mRNA-1273 versus BNT162b2 had a lower risk for breakthrough severe acute respiratory syndrome coronavirus 2 (SARS-CoV-2) infection during predominance of the delta variant, according to a ...
| |||||||
Cheap blood test detects lung cancer at an early and treatable stage Catching lung cancer early is difficult because we don't have any cheap, simple ways to screen for it. Chest CT scans can be used to look for tumours in the lungs, but they are expensive, expose people to radiation and can sometimes make false detections.
| |||||||
Yes, you can be infected with omicron and delta coronavirus variants at the same time Omicron is coming off it's peak in the US, but continues to spread and the Delta variant is still being detected. Can you get both strains at the same time? Author: Meghan Bragg. Published: 11:54 AM EST February 2, 2022.
| |||||||
Milwaukee to offer $100 gift card to those getting first shot of COVID-19 vaccine Starting on Feb. 3, a $100 gift card will be given to people who get their first dose of the COVID-19 vaccine at a Milwaukee Health Department vaccination clinic. The department says about 56% of Milwaukee residents ages five and older have received at ...
| |||||||
In Good Health: Reducing Heart Disease Risk Through Exercise February is American Heart Month. Heart disease is the number one killer for both men and women in the U.S.. The good news is, 80% of heart disease is preventable if you control your risk factors like high blood pressure, diet and exercise.
| |||||||
Covid symptoms appear in 2 days after virus exposure: Study But the study led by Imperial College London researchers showed that symptoms start to develop very fast, on average about two days after contact with the virus. The infection first appears in the throat; infectious virus ...
| |||||||
February 2, 2022 – Message from the Chief We still have substantial vaccination capacity at multiple community-based clinics across the county to serve residents in addition to pharmacies and healthcare providers. Furthering health equity by closing gaps in vaccine and booster reach remains a ...
| |||||||
Study describes the first three days of SARS-CoV-2 infection in an ALI model of proximal airway epithelium In a recent study posted to the bioRxiv* preprint server, researchers evaluated the initial three days of severe acute respiratory syndrome coronavirus 2 (SARS-CoV-2) infection via single-cell RNA sequencing (scRNAseq) dataset in humanized in vitro model.
| |||||||
Cutting-Edge Blood Treatment 'Cures' Cancer In Two Patients, Doctors Say Leukemia is considered an incurable disease. Yet in the cases of two men still in remission 10 years after receiving an experimental CAR-T cell therapy, doctors are using a word rarely uttered about cancer: "cured." They caution that the treatment may ...
| |||||||
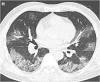
Multicenter Study Examines Imaging of Patients with COVID-19 Infections Chest computed tomography (CT) findings of hospitalized patients with COVID-19 revealed that unvaccinated patients were significantly more likely to develop pneumonia in comparison to fully vaccinated patients, according to a new study. The ...
| |||||||
Different autism risk genes, same effects on brain development By testing the genetic mutations in miniature 3D models of the human brain called "brain organoids," the researchers identified similar overall defects for each risk gene, although each one acted through unique underlying molecular mechanisms.
| |||||||
| You have received this email because you have subscribed to Google Alerts. |
Receive this alert as RSS feed |
| Send Feedback |
No comments:
Post a Comment