| | |||||||
| cancer | |||||||
| NEWS | |||||||
| Cancer Survivors at Greater Risk for Subsequent Malignancies About 10% of survivors of adult-onset first primary cancers were diagnosed with a subsequent primary cancer (SPC), researchers reported.
| |||||||
| FDA greenlights human clinical trials for Cleveland Clinic's breakthrough breast cancer vaccine Our vision has always been to prevent cancer before it arises. We are looking forward to beginning clinical trials in patients," Tuohy said in a prepared ...
| |||||||
| Anti-diarrhea drug drives cancer cells to cell death The research group led by Dr Sjoerd van Wijk from the Institute of Experimental Cancer Research in Paediatrics at Goethe University already two ...
| |||||||
| Disease Recurrence Risk for Patients With Rectal Cancer Followed With "Watch and Wait" Patients with nonmetastatic rectal cancer who achieve a complete clinical response (CR) following neoadjuvant chemoradiation therapy (CRT) and ...
| |||||||
| Pregnancy Is Safe After a Breast Cancer Diagnosis, Study Shows Women who have been treated for breast cancer are less likely than the average woman to get pregnant and have a higher risk of certain ...
| |||||||
| Breaking News: Federal Research Program for Pancreatic Cancer Increases to $15 Million "When PanCAN advocates tell their personal stories about how pancreatic cancer has impacted their lives, Congress takes action. Advocacy works!" The ...
| |||||||
| Sloan Kettering Paid $1.5 Million Severance to a Cancer Doctor Forced Out Over Conflicts Memorial Sloan Kettering Cancer Center gave Dr. José Baselga a payout after he resigned under fire in 2018 over his ties to health care companies.
| |||||||
| Scientists predict progress against COVID-19, cancer in 2021 Just as the COVID-19 pandemic dominated our lives in 2020, it was a huge focus for many researchers at Fred Hutchinson Cancer Research Center ...
| |||||||
| Coping with Cancer at the Holidays On December 15, a panel of MSK experts answered your questions around the unique experience of managing a cancer diagnosis or treatment, and ...
| |||||||
COVID-19: Pandemic sent lung cancer screenings down in Cincinnati region, new study says In October, The Enquirer reported that breast-cancer screening, also paused for six weeks in March and April, was down 40% below 2019 four months ...
| |||||||
| Surgery may offer survival advantage in certain metastatic breast cancers Surgery, in addition to treatments like chemotherapy and radiation therapy, may increase the length of survival for metastatic breast cancer patients, ...
| |||||||
| Latin American Patients with Lung Cancer and Native American Ancestry See Increased EGFR ... To explore the landscape of somatic cancer mutation in lung cancers from Latin America and to evaluate the influence of germline ancestry of genetically ...
| |||||||
| Regulatory RNAs promote breast cancer metastasis In 2016, Spector and colleagues identified dozens of RNA molecules that were more prevalent in breast cancer cells than in noncancerous cells of the ...
| |||||||
| Lawsuit accuses Aetna of systematically denying coverage for cancer treatment While some insurers have begun covering proton beam radiation therapy for certain cancers — for example, Medicare generally covers the treatment — ...
| |||||||
| Epigenetic Regulator Mll1 Linked to Most Severe Forms of Colon Cancer "Wnt/β-catenin signaling is crucial for intestinal carcinogenesis and the maintenance of intestinal cancer stem cells. Here we identify the histone ...
| |||||||
| Cleveland Clinic to launch breast cancer vaccine trial this spring However, researchers said they hope to eventually use the vaccine technology to prevent other forms of cancer. "We envision a 21st century vaccine ...
| |||||||
| DPX-Survivac Responses Now Up to 16 Months in Advanced Ovarian Cancer Trial Click here to subscribe to the Ovarian Cancer News Today Newsletter! IMV's immunotherapy DPX-Survivac plus low-dose chemotherapy continues to ...
| |||||||
| Men Undergoing Active Surveillance for Early Prostate Cancer See Lower Risk of Metastases, Death "In the long-term, active surveillance is a safe and viable option for men with low-risk and carefully selected intermediate-risk prostate cancer," the ...
| |||||||
| Green Bay Packers coach Matt LaFleur helps raise $51000 to fight pediatric cancer with '10 Days ... Also on the call was Cherry Starr, widow of former Packers quarterback Bart Starr, and Trace Tendick, president of the Vince Lombardi Cancer ...
| |||||||
| New Ohio bill eliminates "fail first" options for Stage 4 cancer patients COLUMBUS, Ohio (WKRC) - People in Ohio with Stage 4 cancer will be able to get immediate access to newer, targeted treatments. A new bill signed ...
| |||||||
| Intense Rectal Cancer Surveillance May Be Reduced Achieving a complete clinical recovery and sustaining it for 1 year is the "most relevant protective factor" for patients with rectal cancer and places them ...
| |||||||
| Cancer survivors have greater risk of developing and dying from subsequent primary cancers Cancers associated with smoking or obesity comprised a majority of SPC incidence and mortality among all survivors. The study appears in JAMA.
| |||||||
| Stages of Cancer Staging Groups. Most types of cancer have four stages: Stages I (1) to IV (4). Some cancers also have a stage 0 ( ...
| |||||||
| The Prostate Cancer Foundation challenges Americans to kick the New Year Off Right by taking ... World's leading prostate cancer research non-profit encourages people to take simple science-based actions to raise awareness about how healthy ...
| |||||||
| What Is Carcinoid Cancer? Carcinoid tumors are rare, slow-growing cancers. They are ... If they haven't spread to other parts of the body, surgery can cure the cancer. Carcinoid ...
| |||||||
| Helping family cope with cancer during pandemic ... from Tampa Bay Radiation Oncology, and joins Gayle Guyardo on Bloom to talk about ways to cope with cancer treatment during the pandemic.
| |||||||
| Enzyme discovery can help rein in blood vessels that fuel cancer Even cancerous tumors. That's why tumors will readily sprout new blood vessels if their oxygen is starved, creating new lifelines for survival. A study ...
| |||||||
Breast Cancer Metastasis Promoted by Regulatory RNAs A wide variety of cancer types have been linked to the misregulation of long noncoding RNA (lncRNA) genes. Now, a team from Cold Spring Harbor ...
| |||||||
| Health Beat: Reducing radiation during breast cancer treatment PITTSBURGH - Skin damage is one serious side-effect of breast cancer radiation treatment designed to destroy any lingering cancer cells. For many ...
| |||||||
| Nurse Battling Cancer Receives 'Best Christmas Ever' In 2019, she battled and beat stage-four bone cancer. A year and a half later, she learned the cancer returned and was now in her brain, lungs and ...
| |||||||
| , a gene potentially implicated in familial colorectal cancer Type X Researchers sought to determine new BRIP1 variants related to inherited colorectal cancer. For this purpose, they assessed affected as well as ...
| |||||||
| Worldwide Industry for Bone Cancer Drugs to 2024 - Key Drivers, Challenges and Trends ... The reports on the bone cancer drugs market provide a holistic analysis, market size and forecast, trends, growth drivers, and challenges, as well as ...
| |||||||
| Genprex's Leading Drug Candidate Is Currently Being Developed As A Treatment For Lung Cancer Further pre-clinical data has shown that REQORSA may be combined with several approved cancer drugs, including Merck & Co, Inc's Keytruda, for ...
| |||||||
| Lebanon family raises awareness for pediatric cancer with "Coco G. Strong" fund (WHTM) — Carter Gettler, known to friends as Coco, was diagnosed this past summer with a rare pediatric cancer. To support Carter's journey, his ...
| |||||||
| New drug inhibits the growth of cancer cells Especially cancer stem cells are highly dependent on mitochondrial metabolism. Due to the central role of mitochondria for normal tissue function, and ...
| |||||||
Mother's choice to save self, future children from cancer Doctors recommended that Aldrich and her siblings undergo genetic testing to find out if they carried the same cancer-causing gene. "We were ...
| |||||||
Jennifer W. Carlisle, MD, Offers Perspective on Lung Cancer Advances in 2020 The Emory University Winship Cancer Institute expert discussed FDA approvals and other treatment advances that occurred this year. Video Player is ...
| |||||||
| Sarah Cannon appoints lung cancer research program director Johnson has served as associate director of lung cancer research at Sarah Cannon Research Institute since 2014. In her new role, she will lead the lung ...
| |||||||
| Young girl battling cancer is showered with holiday cheer A Long Beach nonprofit surprises a 4-year-old girl who is fighting cancer with a Christmas tree and toys. Share: ...
| |||||||
| My Dad's Scar, or Why You Should Support the Cancer Society My father survived cancer of the tongue, twice, before he died from it. This type of cancer is associated with smoking. My dad was first diagnosed in ...
| |||||||
| BYU study finds risk of skin cancer is just as high during winter months as in summer Melanoma, a type of skin cancer, has doubled over the last several decades, according to Merrill. "Risk behaviors include going out in the sun and not ...
| |||||||
| FDA Approves Investigational New Drug Application of Novel Therapy for Brain Cancer, Allowing ... ... investigational new drug application for Berubicin for the treatment of adult patients with glioblastoma, a rare and aggressive brain cancer, who have ...
| |||||||
| Protecting those with cancer from COVID-19 this Christmas Protect your loved ones." According to the American Cancer Society, those fighting cancer are at a higher risk for getting the virus, and infections can be ...
| |||||||
| BYU study finds risk of skin cancer is just as high during winter months as in summer The fact that skin cancer develops over time makes it even more concerning because if we have people going out today in the sun, it's not like they get ...
| |||||||
| Bayer, Veracyte to Identify Therapy-Resistant Thyroid Cancer Patients "Patients whose thyroid cancer contains actionable alterations and no longer responds to traditional radioactive iodine therapy now have targeted ...
| |||||||
| How can I manage my risk for breast cancer? A breakdown of 3 major ways That makes breast cancer the most common cancer among women, the site goes on to say. But there's good news: Advances in screening methods, ...
| |||||||
| Your Sexual Health as a Cancer Survivor Dr. Mindy Goldman from the UCSF Hellen Diller Comprehensive Care Center, discusses sexual side effects that cancer survivors face, and offers ...
| |||||||
| Three influential partnerships making waves in cancer drug development Their technology, a therapeutic vaccine to treat non-small cell lung cancer – the most common of the lung cancers – is being developed with expertise ...
| |||||||
| Obesity's Influence on Colon Cancer Risk May Vary by Gender: Study By Robert Preidt, HealthDay Reporter. (HealthDay). TUESDAY, Dec. 22, 2020 (HealthDay News) -- Obesity affects colon cancer risk differently in ...
| |||||||
| The Undy Run Goes Virtual For Colon Cancer Polk became aware of the Colorectal Cancer Alliance through her colorectal surgeon, Dr. Jorge Marcet. Wanting to help in any way possible, Polk was ...
| |||||||
| WEB | |||||||
| Cancer | Tracking | NCEH | CDC Cancer is a group of diseases characterized by the uncontrolled growth and spread of abnormal cells. Cancer is a leading cause of chronic illness and ...
| |||||||
| Study Finds Cancer Survivors Run Greater Risk of Developing, Dying from Second Cancers Learn about the American Cancer Society and its mission to free the world from cancer. Discover volunteer, research and support in your local area.
| |||||||
| Cancer Specialists The Eisenhower Lucy Curci Cancer Center offers comprehensive cancer care from top cancer doctors and cancer surgeons with access to the latest ...
| |||||||
| Blog Humor is one way to cope with the intense feelings triggered by a cancer diagnosis. Sharing a laugh with friends and family can help you keep a ...
| |||||||
| Case Study: The Surprising Remission of Cancer Growth I had also helped both of his friends successfully recover from their life-threatening conditions (i.e., ovarian cancer and extensive leg blood clots) with ...
| |||||||
| Cancer Care Near Me in Las Vegas Comprehensive Cancer Centers has treatment centers across Southern Nevada for those looking for world-class cancer care in Las Vegas.
| |||||||
| Key Initiatives Working together across disciplines, Lurie Cancer Center's physicians and scientists are translating discoveries into promising new approaches to ...
| |||||||
| Clearing the Cancer Fog | Journey Forward Magazine Chemo brain deserves a better name: cancer fog. And it can have a profound effect on your ability to concentrate and communicate. Michael Ryan ...
| |||||||
| Teen & Young Adult Oncology Program The Duke Cancer Institute (DCI) wants to assure our patients that the safety of our patients, their loved ones, our team members and the community at ...
| |||||||
| Seizing upon a 'Special Sauce' of Drug Development to Fight Cancer in the Brain "But as a trade-off, some cancers, including melanoma, lung and breast cancer, have a greater chance of spreading to the brain." Between 10 and 30 ...
| |||||||
| Managing Cancer Pain for Better Quality of Life cCARE shares how introducing an intrathecal pain pump can avoid the downside of taking oral opioids or other narcotics for cancer pain.
| |||||||
| By 2040, the Number of New Cancer Cases per Year Is Expected to Rise to 29.5 Million and the ... Imaging Endpoints is helping in the fight with imaging studies focused on pancreatic, breast, cervical and many other types of Cancer. Learn more about ...
| |||||||
| Incorporating the Risk for Subsequent Primary Cancers Into the Care of Adult Cancer Survivors A diagnosis of cancer is a feared and often unexpected event, affecting an estimated 1.8 million individuals annually in the US. Hereditary cancers are ...
| |||||||
| 80 Million for Childhood Cancer Research Signed into Law This funding agreement included $30 million to fully fund the Childhood Cancer STAR Act, the most comprehensive childhood cancer bill in history, and ...
| |||||||
| Sherry Pollex battling cancer again UPDATES Sherry Pollex battling cancer again UPDATES. December 22, 2020 at 6:00 PM. UPDATE 2: Sherry Pollex has been released from the hospital and is ...
| |||||||
| Reimagining Drinks to Celebrate a Happy New Year Several studies indicate that alcohol is a cancer-causing chemical that increases one's risk of at least six types of cancers. 1 Therefore, this holiday ...
| |||||||
| Anti-cancer Potential of Moringa oleifera on BRCA1 Gene: Systems Biology Breast Cancer has always been a global challenge that is prevalent among women. There is a continuous increase in the high number of women ...
| |||||||
| Lung Cancer Research Foundation Donation Does your employer have a matching gift program? Please use the field below to find out. Additional Information. Yes, I prefer to make this donation ...
| |||||||
| Securing Funding for Cancer Research American Cancer Society Cancer Action Network. ACSCAN and Winning Connections mobilized grassroots support for the 21st Century Cures Act.
| |||||||
| Ask The Experts About COVID-19 and Cancer Dr. Tanios Bekaii-Saab, MD FACP Professor of Gastrointestinal Cancer Mayo Clinics College of Medicine and Science. Thomas J. Herzog, MD Paul & ...
| |||||||
| IARC Handbooks Meetings – Volume 19: Oral Cancer Prevention Oral cancer is highly prevalent in South-East Asia and is linked to the habit of chewing smokeless tobacco products and betel quid/areca nut. The IARC ...
| |||||||
| Congress Passes Sprawling Year-End Legislative Package that Impacts Cancer Research and ... ... funding for Fiscal Year (FY) 2021 and includes numerous provisions that will directly impact patients with cancer and their entire cancer care team.
| |||||||
| Educational Classes Clearview Cancer Institute is North Alabama's leading cancer treatment facility. For over 30 years Clearview has provided leading-edge treatment to ...
| |||||||
| Implementing the Commission on Cancer Standard 8.1 - Addressing Barriers to Care The GW Cancer Center developed this road map to support comprehensive cancer control (CCC) professionals and cancer program administrators ...
| |||||||
| Imaging Surveillance of Breast Cancer Survivors with Digital Mammography versus Digital Breast ... Background Among breast cancer survivors, detecting a breast cancer when it is asymptomatic (rather than symptomatic) improves survival; thus, ...
| |||||||
| Landmark Cell Reviews: Cancer In recent years, cancer research has undergone a rapid expansion, pursuing paths leading to disease and potential therapies. In this Collection, we ...
| |||||||
| Youth, Families and Cancer This SIG addresses the psychosocial impact of cancer within the family, with a primary emphasis on the needs of children and adolescents affected by ...
| |||||||
| Association of First Primary Cancer With Risk of Subsequent Primary Cancer Among Survivors of ... This cohort study uses SEER registry data to estimate overall and cancer-specific risk for secondary primary cancers among US adults with first ...
| |||||||
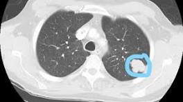
| CORA Partners with St. Charles Cancer Center to Provide Low-Dose CT Lung Screenings Lung cancer is the leading cause of cancer death in the United States, but if diagnosed early it is much easier to treat. Low-dose CT (LDCT) is the only ...
| |||||||
| Media outlets highlight study looking at how the pandemic impacted lung cancer screening It's a program that uses CT scans to find lung nodules and lung cancers early," he says. "It's an important program because it reduces cancer mortality ...
| |||||||
| 1978 - Volume 41 - 42 Volume 42, Issue S3. Supplement: A Journal of the American Cancer Society. Pages: fmi, 1397-1659. September 1978. free access ...
| |||||||
| Cancer Today: Getting Serious About Depression Cancer survivors have higher rates of depression than the general population, but many don't know help is available. Cancer Today talked to ...
| |||||||
| Patient Imaging Uploads IMPORTANT: Please have the images uploaded at least 24-48 hours before your appointment. Upload Links: VIRGINIA CANCER ...
| |||||||
| Lipid metabolism and cancer Cancer cells harness lipid metabolism to obtain energy, components for biological membranes, and signaling molecules needed for proliferation, ...
| |||||||
| As Pandemic Continues, Screening Concerns Grow Moreover, colorectal cancer diagnoses dropped by 32%, even though "we know cancer didn't stop." Similarly, breast cancer screening largely halted.
| |||||||
| Anonymous Donor Will Match Donations to Guthrie Cortland Cancer Center Project Key benefits of the new integrated cancer care center include: Centralized location and services – providing a single, convenient point where patients ...
| |||||||
| You have received this email because you have subscribed to Google Alerts. |
Receive this alert as RSS feed |
| Send Feedback |
No comments:
Post a Comment