| | |||||||
| health | |||||||
| NEWS | |||||||
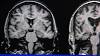
The Link Between Diet, Exercise and Alzheimer's In his 40s and a self-described fitness nut, Stephen Chambers doesn't seem like someone who would be worrying about Alzheimer's. But when his father was diagnosed with the disease about five years ago, he went to the Alzheimer's Prevention Clinic in ...
| |||||||
UCSF Banned Sugary Drink Sales, Here Is What Happened Next Imagine that you are at work and thirsty. How easy is it to get a soda or some other sugary drink? Not too easy? Easy? Very easy? Open-your-eyes-and-it-will-be-in front-of-you-easy? How then might this affect your chances of drinking a sugary drink rather ...
| |||||||
Report Finds Americans' Health Is Flagging By Dennis Thompson HealthDay Reporter. WEDNESDAY, Oct. 30, 2019 (HealthDay News) -- The United States just received its annual checkup, and the news isn't good. Life expectancy has declined over the past three years, driven down by increasing ...
| |||||||
Of all professions, construction workers most likely to use opioids and cocaine Construction workers are more likely to use drugs than workers in other professions, finds a study by the Center for Drug Use and HIV/HCV Research (CDUHR) at NYU College of Global Public Health. The study, published in the journal Drug and Alcohol ...
| |||||||
Asthma carbon footprint 'as big as eating meat' Many people with asthma could cut their carbon footprint and help save the environment by switching to "greener" medications, UK researchers say. Making the swap would have as big an "eco" impact as turning vegetarian or becoming an avid recycler, they ...
| |||||||
An HIV Outbreak Puts Spotlight on Pakistan's Health Care System After the reuse of syringes infected hundreds of children in a small city, health workers say the entire system needs to be revamped. Imtiaz Jalbani, a father of four who lost two children to H.I.V. this year, points to an injection mark on his son's hand. He claims ...
| |||||||
Heart-Failure Deaths Rise, Contributing to Worsening Life Expectancy Deaths from heart failure, one of the nation's biggest killers, are surging as the population ages and the health of younger generations worsens. The death rate from the chronic, debilitating condition rose 20.7% between 2011 and 2017 and is likely to keep ...
| |||||||
TB vaccine candidate shows sustained protection In a promising development that seems to put the world a step closer to a better vaccine against tuberculosis (TB), researchers today published final results from a phase 2b trial, which showed nearly 50% protection against progression to active TB.
| |||||||
A Big Study on Weed and Mental Health Reveals Just How Little We Know In April of 2019, more people searched online for CBD than for acupuncture, apple cider vinegar, meditation, exercise, veganism, or vaccination (and that was during a measles outbreak). CBD, a chemical found in the cannabis plant, is having its moment, ...
| |||||||
Acetaminophen in Pregnancy Might Raise Children's Odds of ADHD, Autism By Serena Gordon HealthDay Reporter. WEDNESDAY, Oct. 30, 2019 (HealthDay News) -- Two-thirds of American women take acetaminophen for the aches and pains of pregnancy, but the medication might not be as benign as thought. New research shows ...
| |||||||
Can Medical Pot Ease Mental Ills? Probably Not By Dennis Thompson HealthDay Reporter. MONDAY, Oct. 28, 2019 (HealthDay News) -- People struggling with anxiety, depression or other psychiatric problems shouldn't pin their hopes on medical marijuana, a new review suggests. Dozens of studies ...
| |||||||
Mumps Case Reported At San Pasqual High School Recent mumps cases have been reported at High Tech High School International, La Jolla High School and San Pasqual High School. By California News Wire Services, News Partner. Oct 29, 2019 4:56 pm ET ...
| |||||||
Breast cancer takes heavier financial toll on black and rural women (Reuters Health) - Black women and women in rural areas are more likely to lose their jobs or face pay cuts after being diagnosed with breast cancer than white or urban women, a new study suggests. The study authors surveyed more than 2,000 women in ...
| |||||||
A Cardiologist's Diet Built for Improving Cholesterol As a cardiologist, patients often ask me for ways to lower their cholesterol without taking statins. They wonder how effective and viable alternatives can be and what strategies they can use to lower their cholesterol in other ways. I often tell my patients at the ...
| |||||||
In Central Florida, successful opioid treatment harder to get than illicit drugs, speakers say When her brother finally admitted he needed help for an opioid addiction, Heather Schuerman, a corporate benefits manager who lives in Windermere, immediately found a facility that accepted his insurance and drove him there to meet with an intake ...
| |||||||
Experimental TB vaccine could have 'vast' impact An experimental vaccine against Mycobacterium tuberculosis was nearly 50% effective in protecting infected adults from progression to pulmonary tuberculosis disease for at least 3 years, according to study findings published in The New England Journal of ...
| |||||||
British student found dead after going on extreme diet before trip A 20-year-old university student in England was found dead after fasting and taking tablets of apple cider vinegar as dietary supplements to lose weight before an upcoming trip, according to a report. Lindsey Bone, a student at the University of Sussex in ...
| |||||||
Stressed Out? Maybe Not If You're a Narcissist By Alan Mozes HealthDay Reporter. TUESDAY, Oct. 29, 2019 (HealthDay News) -- Do you have an overinflated sense of your own importance? Do you feel that you're better than everyone else, and have next to no shame about it? If so, you'd probably be ...
| |||||||
An avocado a day could lower 'bad' cholesterol levels, study suggests We've all heard the old saying, "An apple a day keeps the doctor away." According to a new study, however, the same may be true for avocados — at least when it comes to lowering "bad" cholesterol levels. The study, conducted by researchers at Penn State ...
| |||||||
Instagram post falsely says flu shot causes fetal death As flu season begins, some Instagram users are posting photos with misinformation about vaccines. In one post published Oct. 22, an account called Holistic Health & More, which has more than 165,000 followers, claimed the flu shot can lead to the death of ...
| |||||||
Facebook Vows Strict Privacy Safeguards as it Rolls Out Preventive-Health Tool LAS VEGAS—Facebook on Monday took a step into preventive medicine, rolling out a new tool to encourage users to get flu shots as well as appropriate cancer screenings and heart health tests. But the success of the new product may depend on whether ...
| |||||||
Lifestyle changes improved cognition in people at risk for Alzheimers, study shows A new study finds personalized lifestyle interventions not only stopped cognitive decline in people at risk for Alzheimer's, but actually increased their memory and thinking skills within 18 months. "Our data actually shows cognitive improvement," said ...
| |||||||
Can Cannabis Help Your Mental Health? What We Know There's not enough scientific evidence to recommend cannabinoids for treating mental health conditions, a new study finds. Products with THC or CBD have been used in recent years as a way to self-medicate for certain mental health conditions. Experts say ...
| |||||||
Living Near Junk Food May Make More NYC Kids Obese, Study Shows Kids living within a half-block of a fast-food joint or bodega have higher obesity rates than those farther away, researchers found. By Noah Manskar, Patch Staff. Oct 29, 2019 1:36 pm ET. Reply. 0. Taxis drive past a McDonalds restaurant on Sept. 9, 2010 in ...
| |||||||
Switching to 'green' inhalers could reduce carbon emissions and cut costs Many current inhalers for conditions such as asthma contain propellants that are potent greenhouse gases. A study from researchers at the University of Cambridge has found that switching to alternative, greener inhalers would not only result in large carbon ...
| |||||||
For seniors, financial woes can be forerunner to Alzheimer's (HealthDay)—Unpaid bills, overdrawn accounts, dwindling investments: When seniors begin experiencing fiscal troubles, early dementia or Alzheimer's disease could be an underlying cause, researchers say. In the early stages of the disease, people with ...
| |||||||
Facebook launches new tool to help you get health tests and screenings NEW YORK — Facebook has launched a new feature to help track what preventive health screenings might be recommended for you based on your age and sex. The tool, called Preventive Health, rolled out in the United States on Monday and focuses ...
| |||||||
Cursing helps you power through pain, studies find (CNN) — Want to push through that workout? Go ahead and drop an F-bomb. Studies show people on bikes who swore while pedaling against resistance had more power and strength than people who used "neutral" words. Research also found that people ...
| |||||||
Here's what's new with the flu shot As flu season approaches it's time for Texans to take the illness seriously. About 10,000 Texans died due to the extreme 2017-18 flu season, a 27 percent increase in deaths from the previous reporting year, according to the Texas Department of State Health ...
| |||||||
Immune 'control switch' could prevent brain injury in premature babies Researchers have discovered an immune control switch that could protect the brains of premature babies, who often suffer brain injuries when their immune response goes into overdrive. Through a series of clinical and pre-clinical studies, an international ...
| |||||||
Rats can drive tiny cars as a way to ease their anxiety, researchers claim Teaching rats to drive? Strange as it may sound, it's what a team of researchers at the University of Richmond accomplished as part of a study examining how performing complex tasks -- such as driving -- could affect treatment for mental health conditions like ...
| |||||||
Cleveland Clinic performs its first Midwest living-donor liver transplant laparoscopically Dr. Choon Hyuck David Kwon of the Cleveland Clinic, third from left with a white collar, and a surgical team perform laparoscopic living donor surgery for liver transplant. (Photo courtesy of Cleveland Clinic). Comment. By Julie Washington, The Plain Dealer.
| |||||||
Tick-borne illness that can cause brain inflammation detected in UK for the first time: officials A potentially fatal tick-borne disease has been detected in ticks in the United Kingdom for the first time, Public Health England (PHE) announced this week. LYME DISEASE-RELATED TICK ILLNESS WITH MORE SEVERE SYMPTOMS DETECTED IN NEW ...
| |||||||
More research needed to determine if medicinal cannabinoids improve mental health Current research is lacking to support claims that cannabinoids improve depressive disorders and symptoms, anxiety disorders or ADHD, according to results of a systematic review and meta-analysis published in Lancet Psychiatry. "Our findings have ...
| |||||||
Open relationships vary—as do their odds of working Can an open relationship work? New research—which identifies five types of such nonmonogamous arrangements—says it depends. Open relationships typically describe couples in which the partners have agreed on sexual activity with someone other than ...
| |||||||
NIH-funded study suggests acetaminophen in pregnancy linked to higher risk of ADHD, autism WHAT: Exposure to acetaminophen in the womb may increase a child's risk for attention deficit/hyperactivity disorder and autism spectrum disorder, suggests a study funded by the National Institutes of Health and the Agency for Health Care Research and ...
| |||||||
Facebook takes a first step into personal digital health with checkup reminder and screening tool To address privacy concerns, Facebook said it will not have access to users' health test results as part of the new preventive health tool. (Facebook). Share Facebook Twitter LinkedIn Email Print. Tech giant Facebook launched a new feature to remind users to ...
| |||||||
Wanna get the flu -- and be paid for it? SLU wants you In the name of science, St. Louis University is recruiting people who want to be deliberately infected with the influenza virus. And if that's not tempting enough, people recruited for this study will be paid well: up to $3,310 for their time and participation.
| |||||||
Cracking the colon code -- new light shed on gut function New insights into how the colon functions and actually expels its contents have been revealed for the first time following decades of study by Flinders University researchers. It promises new diagnostics tools and treatments for gastrointestinal disorders to ...
| |||||||
To decrease your environmental footprint, try eating healthier, study says Research indicates that eating nutritious food is not only better for you, it's also better for the environment. We all know the benefits of fruits, vegetables and other healthy foods for our physical health. But new research indicates nutritious foods are also better ...
| |||||||
Elderly people being 'poisoned' by medication, say drug experts Elderly patients are being "poisoned" with medication because too little is known about how different drugs interact with each other and correct dosages for older people, experts have said. Speaking at the House of Lords' science and technology committee ...
| |||||||
'I'd love to have an eco-friendly inhaler – but I'd be in hospital within a week' A common cold will leave most people feeling rotten for a day or two, but for Jess Speller it could mean being blue-lighted to hospital and spending three weeks in a special care unit. The 24-year-old has severe asthma and was first diagnosed with the ...
| |||||||
Skin Disease With Chronic Itch Linked to Depression, Suicidal Thoughts Itchy skin in patients with chronic skin disease is significantly linked to clinical depression, suicidal ideation and stress, according to a new study published in the Journal of Investigative Dermatology. The researchers recommend providing dermatology ...
| |||||||
Poop for Science Here's an opportunity for the charitable scientific enthusiasts among us: please photograph your poop today in order to help train artificial intelligence. Poops of all shapes and sizes are welcome, for the microbial sciences company Seed will use them to ...
| |||||||
Symptom Of Pancreatic Cancer Include Feeling Pain In This Section Of The Body The pancreas is the large gland located behind the stomach. Its primary role is to convert the food consumed into energy that powers the cells of the body. It does this by helping digest the food and regulates the body's blood sugar. Cancer of the pancreas ...
| |||||||
Millennials Most Likely Age Group to Go to Work Sick, Study Shows A study commissioned by staffing agency Accountemps reveals that a vast majority of American workers have come to the workplace with cold and flu symptoms—and millennials are the most likely to not take a sick day. The study surveyed 2,800 office ...
| |||||||
Healthier diets are usually also better for the environment, study shows A new, wide-ranging study attempted to construct a complete picture on two often-studied topics, and found that diets which emphasize healthier eating are also usually better for the environment. The study, published this week in the journal "Proceedings of ...
| |||||||
5 complete myths about breast cancer When it comes to matters of health, it's easy to get misinformation. Breast cancer has a ton of awareness, but yet, there are still things about it that people get wrong. Here are five myths about cancer debunked: MYTH No. 1: Drinking dairy causes breast cancer ...
| |||||||
Breast cancer: AI predicts which pre-malignant breast lesions will progress to advanced cancer New research at Case Western Reserve University could help better determine which patients diagnosed with the pre-malignant breast cancer commonly as stage 0 are likely to progress to invasive breast cancer and therefore might benefit from additional ...
| |||||||
Brown University awarded $6.8M to battle opioid epidemic The federal government is helping Rhode Island battle the opioid epidemic with $6.8 million in research money. Brown University associate Professor Brandon Marshall said there could be many people who benefit. "We're kind of like a laboratory in some ...
| |||||||
| You have received this email because you have subscribed to Google Alerts. |
Receive this alert as RSS feed |
| Send Feedback |
No comments:
Post a Comment