| | ||||||||
| health | ||||||||
| NEWS | ||||||||
A store employee's simple gesture toward a teen with autism is going viral A grocery store employee is being lauded for helping a teen with autism stock shelves in a fridge. Sid Edwards and his son Jack Ryan Edwards, 17, visited their local Rouses Market in Baton Rouge, Louisiana, on Sunday.
| ||||||||
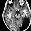
10-Year-Old Boy Recovers Impressively After One-Sixth of His Brain Is Removed A new case study from Pittsburgh highlights the resilience of the human brain. It details a boy who, despite losing one-third of the right hemisphere of his brain when he was six, is now a mostly ordinary 10-year-old.
| ||||||||
Pennsylvania urged to watch pets, livestock for invasive tick first found in NJ Pennsylvania and New Jersey, which share the Delaware River as a border, also share something far less beneficial: potentially destructive invasive species.
| ||||||||
New invasive tick species, the longhorn, confirmed in Pennsylvania The already serious tick problem in Pennsylvania, which consistently ranks among the top states for Lyme disease cases, just got worse.
| ||||||||
Brain's 'Plasticity' Amazes as Boy Recovers From Drastic Surgery By Dennis Thompson HealthDay Reporter. TUESDAY, July 31, 2018 (HealthDay News) -- The developing brain of a growing child has incredible ways of compensating for the loss of an essential brain region, a new case study shows.
| ||||||||
Two people got rat lungworm from eating raw centipedes. Could you be next? Rat lungworm is, thankfully, one of the few parasites that sounds more disgusting than it is. Unfortunately, it's even more terrifying than its gross name would suggest.
| ||||||||
Deadly Ebola Strikes Anew, a Week After Previous Outbreak Was Extinguished The Ebola virus has struck again in the Democratic Republic of Congo and has killed at least 20 people, the country's Health Ministry reported Wednesday, just a week after officials announced the end of an Ebola outbreak 1,550 miles away.
| ||||||||
What is Vaginal Rejuvenation? There are thousands of products and procedures marketing to women to help them hold on to youth as long as they can. Vaginal rejuvenation falls into that category with promises of tightening the vagina, stopping incontinence, eliminating vaginal ...
| ||||||||
Tick-Borne Infections Are on the Rise: Here's How to Protect Yourself Summer's here, and that means grilling season's in full swing. But before you dig into another juicy burger, it's worth boosting your defenses against ticks - a single bite from one of these nasty parasites can cause a strange reaction that'll have ...
| ||||||||
Prince George's County officials confirm first human case of West Nile Virus in 2018 LARGO, Md. (ABC7) - On Wednesday, officials at the Prince George's County Health Department confirmed the county's first human case of West Nile Virus of the 2018 season.
| ||||||||
Hand, foot, and mouth disease cases flare up in several states A contagious childhood illnesses with a memorable name appears to be spreading across several states. Doctors are reportedly seeing more and more cases of hand, foot, and mouth disease - and children aren't the only ones being affected.
| ||||||||
Man's legs amputated after dog's licks lead to infection, family says CBS NEWS A Wisconsin man has lost both of his legs to a virulent infection after being licked by a dog, according to local reports.
| ||||||||
Salmonella: What is it, how can you get it and can you die from it? Most people take precautions to avoid contracting salmonella poisoning from raw chicken, but there are other foods that are surprisingly more likely to harbor the harmful bacteria.
| ||||||||
Use of prescription opioids in US remains high (Reuters Health) - Use of prescription opioids remains high in the U.S., despite public health efforts and growing awareness of risks for abuse and overdose, a new study suggests.
| ||||||||
No Smoking in Public Housing as of July 31, 2018 Smoking will be prohibited in public housing units across Tennessee and the U.S. effective July 31, 2018. The smoke-free rule is part of a larger plan to decrease building maintenance and smoke-related damage costs, reduce the risk of accidental fires ...
| ||||||||
The world celebrates it this week: 10 great reasons to breastfeed your baby It's World Breastfeeding Week. A time to celebrate that bond between mother and child. With more Canadians understanding the benefits of breastfeeding, the Public Health Agency of Canada says more woman are choosing to do it.
| ||||||||
This boy lost a sixth of his brain when he was only 7 — here are the incredible ways his brain adapted A young boy about seven years old, referred to as U.D., underwent a lobectomy where he had a third of the right hemisphere of his brain removed in an attempt to control seizures.
| ||||||||
Drinking Too Much Alcohol (And Too Little) Is Linked to Dementia To drink or not to drink when it comes to your health really depends on a few important factors, including how much you imbibe and what health issues you're concerned about.
| ||||||||
Part of This Boy's Brain Was Removed. The Rest of His Brain Made Sure He Wouldn't Notice. Four years ago, a young boy had a large part of his brain removed. In the years that followed, he showed neuroscientists, once again, how adaptable the brain can be.
| ||||||||
Global Lung Ca Deaths Expected to Rise 43% Among Women by 2030 A projected modest global decline in breast cancer deaths among women over the next decade or so will be accompanied by a much larger increase in deaths from lung cancer, according to a European study.
| ||||||||
Boy Who Had a Chunk of Brain Removed Turned Out Healthy The strange case of a young boy who had a large section of his brain removed shows just how good the human brain is at repairing itself - or at least making the most of a tough situation.
| ||||||||
Chicken most likely to make you sicken, CDC illness data show A new analysis by the Centers for Disease Control and Prevention may have you rethinking some aspects of your healthy diet. The CDC investigated the causes of "outbreaks" in which two or more people get the same illness after eating a common food.
| ||||||||
Are fad diets like Keto and intermittent fasting good for new moms? A new mother has to take extra care of her diet, particularly when she is breastfeeding her baby. By Seema Khanna. The Keto diet, scientifically known as the ketogenic diet, is low in carbohydrates and high in fats.
| ||||||||
Restaurant berates 'irresponsible reaction' of man who shared video of a worm in his food A family dining at a seaside restaurant on the New Jersey coast got an unpleasant surprise when, they said, a live worm slithered out of their food.
| ||||||||
Bioengineers Are Closer Than Ever To Lab-Grown Lungs The lungs in Joan Nichols' lab have been keeping her up at night. Like children, they're delicate, developing, and in constant need of attention, which is why she and her team at the University of Texas Medical Branch at Galveston's Lung Lab have spent ...
| ||||||||
Grand jury: Government can do more about secondhand smoke Whether to ban smoking in apartments along the Coastside has been smoldering for years. But do ordinances that prohibit smoking in multiunit housing actually protect San Mateo County residents from exposure to secondhand smoke?
| ||||||||
After 15 years of trying, scientists successfully transplanted lab-grown lungs into pigs Every year, lung transplants help thousands of patients stay alive, but the system is far from perfect. The average wait time for a new lung is three to six months and can sometimes be years.
| ||||||||
Treatment-Resistant Depression May Be Linked To Low Levels Of This One Molecule, A New Study Suggests There are many different types of depression, and one of the most severe is known as treatment-resistant depression. This kind of depression doesn't respond well to traditional treatments, like antidepressants, psychotherapy, or cognitive behavioral ...
| ||||||||
Women With PCOS Report Distrust, Less Support From PCPs Women diagnosed with polycystic ovarian syndrome (PCOS) reported a lack of social support and feelings of distrust toward their primary care providers, according to a cross-sectional study.
| ||||||||
Drug-resistant superbugs may have just learned a new trick Drug-resistant superbugs, already a big problem in hospitals, may have learned a new trick, researchers reported Wednesday. They may have evolved resistance to alcohol - the ingredient in hand sanitizers and disinfectants that are one mainstay of ...
| ||||||||
9 things I learned after breastfeeding for nearly 2 years KUSA - August is National Breastfeeding Awareness Month, with the first week designated as World Breastfeeding Week. The goal is to celebrate breastfeeding and build awareness and support.
| ||||||||
Inflammation and Alzheimer's Disease Alzheimer's disease remains the leading cause of dementia worldwide. Mounting evidence now suggests that the body's inflammatory responses may play a significant role in the development of Alzheimer's, and that these pathways could be targeted in its ...
| ||||||||
Three breast milk depots to open soon in Philly area As World Breastfeeding Week begins Wednesday, a local initiative to make breast milk available to more babies is getting ready to launch.
| ||||||||
In a Haze About e-Cigarettes? 5 Things to Know If you've ever walked down the sidewalk and passed through the scented plume of someone vaping away on an e-cigarette, you've had a firsthand encounter with what is essentially a nationwide experiment with our health.
| ||||||||
Fox Suspected of Multiple Attacks Tests Positive for Rabies Police in Maine say a fox that was killed by police Friday after attacking multiple people has tested positive for rabies. Aug. 1, 2018, at 12:49 a.m.. Fox Suspected of Multiple Attacks Tests Positive for Rabies. Share. ×. Share on Facebook · Post on ...
| ||||||||
Piecing together the puzzle of polycystic ovary syndrome Polycystic ovary syndrome presents with many symptoms, and is often overlooked or misdiagnosed, but GPs can play a vital part in piecing together the puzzle of diagnosis.
| ||||||||
New Zealand found to have highest rates of skin cancer but the news isn't all bad A New Zealand skin cancer specialist says improved access to advances in treatment mean fewer are dying from it. A new global skin cancer study confirms New Zealand's place at the top of the list for new cases of the disease.
| ||||||||
Can Taking Your Own Blood Pressure at Home Help Minimize Hypertension? High blood pressure, or hypertension is a serious problem in the United States, around 85 million Americans have high blood pressure.
| ||||||||
Lung cancer mortality rates among women projected to increase by over 40 percent by 2030 The global age-standardized lung cancer mortality rate among women is projected to increase by 43 percent from 2015 to 2030, according to an analysis of data from 52 countries.
| ||||||||
Divergent views trail sugar-laden soda drinks By Princewill Ekwujuru. Consumers are polarised over the consumption of sugar laden or aspartme (sweeteners)- laced soda drinks and their health implications.
| ||||||||
Townsville mosquito trial hailed a success Researchers are confident they've found a cost-effective and quick way for communities to protect themselves from mosquito-borne diseases.
| ||||||||
Lyme Disease Striking More Americans in More States TUESDAY, July 31, 2018 (HealthDay News) -- There's been a sharp spike in Lyme disease cases in the United States, and the tick-borne illness has now spread to all 50 states, a new report shows.
| ||||||||
| You have received this email because you have subscribed to Google Alerts. |
Receive this alert as RSS feed |
| Send Feedback |
No comments:
Post a Comment