| | ||||||||
| health | ||||||||
| NEWS | ||||||||
Study: Vitamin Supplements Don't Provide Health Benefits A new study concluded the most commonly consumed vitamin and mineral supplements do not help in preventing various diseases. By Tala Salem, Contributor.
| ||||||||
Most Vitamin, Mineral Supplements Have No Real Benefit, Folate An Exception: Study Does your morning routine involve getting a healthy dose of nutrients in the form of supplements? According to a new review by researchers from Canada, they may not be making much of a difference.
| ||||||||
Most popular vitamin and mineral supplements provide no health benefit, study finds Date: May 28, 2018; Source: St. Michael's Hospital; Summary: The most commonly consumed vitamin and mineral supplements provide no consistent health benefit or harm, suggests a new study led by researchers at St. Michael's Hospital and the University ...
| ||||||||
Acute Heart Failure Globally Isn't All the Same: REPORT-HF Survey VIENNA - Patients with acute heart failure (AHF) and their management can vary widely around the world, partly because of regional differences in care processes and access to care, suggests a new international survey that may also convey some good ...
| ||||||||
A doctor removed her ovaries because they were 'in the way.' Her family says it led to her death. The removal of her ovaries never came up during her surgery consultations. Lucinda Methuen-Campbell was considering treatment for a bowel disorder at the Spire Hospital in Bristol, England, in 2016.
| ||||||||
Purdue Pharma Knew Its Opioids Were Widely Abused by Late '90s Like so many of our nation's current crises, the opioid epidemic was born of a highly profitable lie: that extended-release opioid painkillers were far less addictive than the ordinary kind.
| ||||||||
Purdue Pharma Knew Oxycontin Was Being Abused Since The Late '90s A document was leaked that Purdue Pharma knew Oxycontin was being abused by users since the late '90s. Apparently it didn't stop the drugmaker from continuing to aggressively market the drug.
| ||||||||
Hepatitis A is usually not a problem to recover from. But in Michigan, 27 people died since this outbreak began. WARREN, Mich.— Michigan is in the throes of the largest hepatitis A outbreak in the USA, a flareup that began in August 2016 and has killed 27 people, state health officials say.
| ||||||||
Why should middle-aged men reduce high protein intake? Higher intake of protein from most dietary sources was associated with slightly higher risk due to higher saturated fat concentration.
| ||||||||
Here's Why Middle-Aged Men Should Reduce High Protein Intake While eating protein-rich foods such as meat, poultry, fish, dry beans and peas, eggs, nuts, and seeds supply many nutrients, it may also be associated with 33 percent high risk of heart failure among middle-aged men finds a study.
| ||||||||
Want people to stop smoking? Pay them To understand why electronic cigarettes have such passionate advocates, you have to understand the libertarian ideology underpinning the devices.
| ||||||||
Here's Why Lyme Disease Keeps Spreading in the US Reddish-brown ticks flow steadily these days into the Connecticut Agricultural Experiment Station. They're being sent by public health officers from across the state who want to know whether Lyme disease is present in their towns, and how fast it's ...
| ||||||||
3D printed human corneas created at Newcastle University Human corneas have been 3D printed for the first time by scientists at Newcastle University. The researchers mixed stem cells from a healthy donor cornea with alginate, a gel derived from seaweed, and collagen to create a "bio-ink" solution that can be ...
| ||||||||
High Protein Intake May Increase Risk Of Heart Failure Among Middle-Aged Men: Study High protein intake may be associated with 33 per cent high risk of heart failure among middle-aged men. Food | NDTV Food Desk | Updated: May 30, 2018 11:00 IST.
| ||||||||
Sleeping in on weekends may extend your life, new study finds Don't feel guilty about sleeping in late on weekends. Researchers say getting more zzzzz's on Saturday and Sunday morning may extend your life.
| ||||||||
The Endless Days Of A Young Doctor Battling Ebola Dr. Leah Feldman is on Ebola duty - again. The young Maryland doctor is a veteran of the Ebola wars. She worked on the Doctors Without Borders team in Guinea in 2014 and 2015.
| ||||||||
Auckland businesses targeted in smoke-free operation Public health officials will be working with licensed clubs, theatres and hospitality venues over Auckland in the upcoming months to ensure compliance with the Smoke-free Environments Act.
| ||||||||
AI better than dermatologists at detecting skin cancer, study finds For the first time, new research suggests artificial intelligence may be better than highly-trained humans at detecting skin cancer.
| ||||||||
You Wear Glasses? Science Says You're a Lot More Likely to be Intelligent (Seriously) You Wear Glasses? Science Says You're a Lot More Likely to be Intelligent (Seriously). Can clichés sometimes be true? By Chris MatyszczykOwner, Howard Raucous LLC @ChrisMatyszczyk · Absurdly Driven looks at the world of business with a skeptical ...
| ||||||||
'World's oldest man' wants to quit smoking, blames devil for addiction Fredie Blom is 114 but he still can't kick the habit that has enslaved him for the better part of his working life. Blom spent most of his life in Cape Town, South Africa.
| ||||||||
County warns against ticks, Lyme disease The Midland County Department of Public Health (MCDPH) is encouraging Midland County residents to protect themselves from ticks this spring.
| ||||||||
Prenatal vitamin D tied to lower risk of underweight babies and birth defects (Reuters Health) - Women who take vitamin D during pregnancy may be less likely to have underweight babies, according to a research review that also suggests these supplements may also be associated with a lower risk of fetal or infant mortality ...
| ||||||||
It's time to start thinking about mosquito deterrents The hot weather likely drew a few pesky and uninvited guests to holiday picnics this past weekend. Mosquito season has returned and so has the annual reminder for folks to do their part in helping keep the mosquito population at bay.
| ||||||||
Be Mindful: Breaking the stereotypes surrounding mental illness For a decade, KHOU 11 News anchor Lisa Foronda Harper entered our living rooms nightly, poised, pretty and perfect - or so it seemed.
| ||||||||
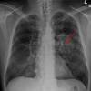
To scan or not to scan: research shows how to personalize lung cancer screening decisions For smokers and former smokers, the threat of lung cancer always lurks in the shadows. To flush it out of the darkness, some decide to get their lungs scanned by a CT machine, which can find a tumor early enough to stop it—or set off a false alarm ...
| ||||||||
Smokers are 30 time more prone to lung cancer Every sixth second a person loses his life battling diseases gifted to him by the consumption of tobacco, which is the No. 1 risk factor for lung cancer.
| ||||||||
Study identifies genes related to cleverness Scientists have identified many new genes associated with better thinking skills following a major international study. A team led by the University of Edinburgh found significant small signals from 148 genomic regions that were related to having ...
| ||||||||
Walk for Mental Wellness returning to FirstEnergy Stadium in Reading What: The walk looks to end the stigma that surrounds mental illness. The purpose is to help bring attention to mental illness as a medical condition comparable to any other disease such as diabetes or cancer.
| ||||||||
To scan or not to scan: research shows how to personalize lung cancer screening decisions ANN ARBOR, MI - For smokers and former smokers, the threat of lung cancer always lurks in the shadows. To flush it out of the darkness, some decide to get their lungs scanned by a CT machine, which can find a tumor early enough to stop it - or set off ...
| ||||||||
New study shows how to personalize lung cancer screening decision for every patient For smokers and former smokers, the threat of lung cancer always lurks in the shadows. To flush it out of the darkness, some decide to get their lungs scanned by a CT machine, which can find a tumor early enough to stop it - or set off a false alarm ...
| ||||||||
New Zealand to kill 150000 cows to end bacterial disease WELLINGTON, New Zealand - New Zealand plans to slaughter about 150,000 cows as it tries to eradicate a strain of disease-causing bacteria from the national herd.
| ||||||||
Study reveals chewing gum while walking burns more calories If you can walk and chew gum at the same time, a new study reveals you could be burning more calories. World Health Day 2018: Five reasons to be physically active.
| ||||||||
Walk and chew gum, it might make you exercise harder Still looking for the secret to effortless workouts? It may be as simple as chewing gum while walking, Japanese researchers suggested on Saturday.
| ||||||||
Resources available to quit smoking Bob Parkerson started smoking cigarettes when he was 15 years old. So four years ago when his cardiologist recommended he quit, Parkerson, then 72, was skeptical he'd be able to.
| ||||||||
| You have received this email because you have subscribed to Google Alerts. |
Receive this alert as RSS feed |
| Send Feedback |
No comments:
Post a Comment