| | ||||||||
| health | ||||||||
| NEWS | ||||||||
'Exergaming' a Good Workout for Less-Active Heart Failure Patients: HF-Wii Trial VIENNA - When patients regularly included simulated sports activities using a video-game console into their daily routine in a randomized trial, overall their self-perception of well-being improved along with functional capacity.
| ||||||||
Nine days after detecting Nipah, Kerala is yet to nail the carrier of the deadly virus Fruit bats are the primary suspects but the animal husbandry department is struggling to collect enough samples for testing. by TA Ameerudheen.
| ||||||||
India steps up hunt for origin of mysterious brain-damaging virus MUMBAI/KOCHI (Reuters) - India began a fresh round of tests to trace the origin of a rare brain-damaging virus that has killed 13 people, a health official said on Monday, as initial tests on animals suspected of carrying the Nipah virus showed no sign ...
| ||||||||
India steps up hunt for origin of mysterious brain-damaging virus By Subrat Patnaik and D. Jose. MUMBAI/KOCHI (Reuters) - India began a fresh round of tests to trace the origin of a rare brain-damaging virus that has killed 13 people, a health official said on Monday, as initial tests on animals suspected of carrying ...
| ||||||||
Who's up for a glass of cockroach milk? Food trends like cronuts and charcoal come and go, but one bizarre "superfood" is back, two years after it first debuted: Cockroach milk.
| ||||||||
Aside From Folate, Vitamins Appear Largely Ineffective For Prevention, Study Finds If you like the idea of warding off disease by taking vitamin supplements, you've probably been disheartened by the research in this area over the last few years.
| ||||||||
Beware: Tick-borne illnesses on the rise Photo by Anna Perez/Center for Disease Control This photograph depicts a deer tick, or blacklegged tick, "lxodes scapularis," as it was questing on a blade of grass.
| ||||||||
Cockroach Milk Has More Protein And Nutrients Than Regular Milk: The Next Superfood Trend? Researchers found that cockroach milk contains essential amino acids and more protein than other kinds of milk in the market, making it a good prospect for the next great superfood trend.
| ||||||||
India Nipah virus outbreak death toll rises to 14 The staff of health department packing bat for checking the presence of Nipah virus by wearing safety masks as a precautionary measure after the 'Nipah' virus outbreak, in Kozhikode district of India's southern state Kerala on May 21, 2018.
| ||||||||
Ebola Vaccinations Begin in Congo's Northwest Town of Bikoro Officials began vaccinating health workers and others on Monday in Bikoro, where Congo's Ebola outbreak was first declared at the beginning of May.
| ||||||||
Cockroach Milk: What Must Happen For It To Become A 'Superfood Trend' The question "will you be having cockroaches with your meal" usually has a clear answer. Maybe sometime in the future your answer may change.
| ||||||||
Congo Begins Ebola Vaccinations Around Outbreak Area KINSHASA, Democratic Republic of Congo - Officials began vaccinating health workers and others against Ebola on Monday in Bikoro, where an outbreak of the disease was declared at the beginning of May.
| ||||||||
Ebola vaccinations begin in Congo's northwest town of Bikoro In this photo taken Friday, May 25, 2018, UNICEF staffer Jean Claude Nzengu, center, talks with members of an Ebola vaccination team as they prepare to administer the vaccine in an Ebola-affected community in the north-western city of Mbandaka, in ...
| ||||||||
Sleeping in on days off may extend your life, study says Sleeping in on your days off may extend your life, according to a study. Researchers found people who got less sleep during the week, but slept in on weekends had the same mortality rate as people who got seven hours of sleep each night.
| ||||||||
52 sickened by bogus marijuana extract oil causing warning from CDC SALT LAKE CITY (News4Utah) - A synthetic marijuana extract made 52 people sick drawing the attention of the Center for Disease Control (CDC).
| ||||||||
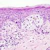
Man against machine: AI is better than dermatologists at diagnosing skin cancer Researchers have shown for the first time that a form of artificial intelligence or machine learning known as a deep learning convolutional neural network (CNN) is better than experienced dermatologists at detecting skin cancer.
| ||||||||
What is CBD? The 'miracle' cannabis compound that doesn't get you high In early May, a federal court declined to protect cannabidiol (CBD), a chemical produced by the cannabis plant, from federal law enforcement, despite widespread belief in its medical value.
| ||||||||
Teen mothers in foster care have high risk of losing custody of babies (Reuters Health) - Teen mothers who are in foster care may be more likely to lose custody of their babies than adolescent mothers in different living circumstances, a Canadian study suggests.
| ||||||||
Doctor's Tip: How to prevent and survive prostate cancer The prostate is the size and shape of a walnut and is a gland that surrounds the urethra (the outlet of the bladder). Prostate cancer is the second most common cancer in American men, next to skin cancer.
| ||||||||
One million French smokers quit in a year amid anti-smoking measures France has seen a sharp fall in the number of people smoking daily, with one million fewer lighting up from 2016-2017, a survey suggests.
| ||||||||
KDPH: Warren Co. residents older than 1 year should get Hep A vaccine SPEEDWAY - We all love "Back Home Again In Indiana" and "Drivers Start Your Engines," but what really gets the adrenaline flowing at the Indianapolis 500?
| ||||||||
Keto Flu Symptoms About 24 hours into the ketogenic diet, I began to get cranky. This was a crankiness beyond my usual slightly irritated (OK, very irritated) demeanor when I'm hungry.
| ||||||||
The zombie ant fungus changed to adapt to the climate, study finds The so-called zombie fungus, which boasts one of the most bizarre and cruel survival strategies, has also been affected by climate change, researchers have found.
| ||||||||
Millions could avoid deadly fever if world limits warming LONDON (Thomson Reuters Foundation) - More than three million cases of dengue fever, the world's fastest-spreading tropical disease, could be avoided annually if global warming is capped at 1.5C, said a study that purports to be the first to show the ...
| ||||||||
Climate Change Made Zombie Ants Even More Cunning Raquel Loreto is a zombie hunter, and a good one. But traipsing through dried leaves in a hot forest in Sanda, at the southern end of Japan, she needed a guide.
| ||||||||
You can inherit schizophrenia. But what happens during pregnancy is key, new study says During its brief existence, the placenta is a workhorse of an organ. That's because the fetus growing inside is entirely reliant on the placenta, which performs a dizzying array of functions (supplying oxygen, food and more) that will later be divvied ...
| ||||||||
Diabetics should prepare for their transition to fasting routine Talk to your physician to put a plan in place before you start the actual fast, as well as your dietitian to discuss how to eat appropriately during Ramadan.
| ||||||||
Former Fresno State football coach spreads skin cancer awareness after diagnosis May is skin cancer awareness month, and as we get closer to June and the start of summer, dermatologists and skin cancer survivors are warning people to be proactive.
| ||||||||
Exercise helps treat addiction by altering brain's dopamine system New research by the University at Buffalo Research Institute on Addictions has identified a key mechanism in how aerobic exercise can help impact the brain in ways that may support treatment—and even prevention strategies—for addiction.
| ||||||||
Type-2 diabetes: Adding this spice to your tea helps lower blood sugar levels Diabetes affects around 3.7 million people in the UK alone. It's a lifelong condition that causes a person's blood sugar level to become too high.
| ||||||||
New senior center director stops by Rotary BUCKHANNON - The progression of Alzheimer's Disease is markedly different from the normal aging process, but the two can be easily confused.
| ||||||||
Lourdes announces free smoking cessation series Lourdes will offer a free smoking cessation series, beginning in June, for those interested in quitting smoking. To help individuals make the decision to quit, the initial class will be the Kentucky Cancer Program's "Plan To Be Tobacco Free," which is ...
| ||||||||
Mental health help is only a phone call away Health is often associated exclusively with the physical body, but a person's mind plays a crucial role in how he or she feels.
| ||||||||
Childhood cancer survivors have higher risk of deadly heart disease in pregnancy Girls who survive cancer have a higher risk of developing a deadly heart disease when pregnant later in life, according to a study presented today at Heart Failure 2018 and the World Congress on Acute Heart Failure, a European Society of Cardiology ...
| ||||||||
No smoking, we're doctors I had my first smoke when prompted by my friends at the medical college to 'man up'. And soon enough I was addicted. I puffed at least 20 cigarettes a day - more on stressful days.
| ||||||||
9 Tips To Recover From A Smoking Relapse If you've suffered a relapse back to smoking cigarettes or tobacco, do not beat yourself up over it. Everybody slips sometimes.
| ||||||||
Specific neurons may cause male aggressiveness Scientists have managed to identify certain neurons in the brain that could evoke sense of aggressiveness. This could mean that problems associated with aggression could not be understood better and perhaps prevented they hope.
| ||||||||
How antiretrovirals have cut the HIV/AIDS burden on SA's economy Lost earnings attributable to HIV and AIDS as a result of either death or inability to work have declined significantly globally as countries scale up antiretroviral therapy.
| ||||||||
Measles alert for Brisbane's south and Logan A child later diagnosed with measles travelled from Delhi to Brisbane, via Bangkok, on Tuesday, May 22. A typical measles rash. Photo: Supplied.
| ||||||||
Walk and chew gum, it may keep you thin: study PARIS: Still looking for the secret to effortless weight loss? It may be as simple as chewing gum while walking, Japanese researchers suggested on Saturday.
| ||||||||
| You have received this email because you have subscribed to Google Alerts. |
Receive this alert as RSS feed |
| Send Feedback |
No comments:
Post a Comment