| | ||||||||
| health | ||||||||
| NEWS | ||||||||
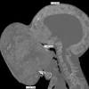
Doctors will remove a tumor the size of a basketball from boy's face An X-ray of the 10-pound, basketball-size tumor on the face of Emanuel Zayas, 14, of Cuba. Doctors at the University of Miami Health System at Jackson Memorial Hospital will perform surgery to remove the tumor on Jan. 12, 2018.
| ||||||||
Florida doctors to remove 10-pound facial tumor that threatens to break boy's neck It started out as what his mother thought was just a pimple, a small indignity for a boy beginning puberty. About two years later, what appeared to be a blemish has grown into a 10-pound tumor on 14-year-old Emanuel Zayas' face.
| ||||||||
CDC releases grim new opioid overdose figures The national opioid epidemic escalated in 2016, driven by an unprecedented surge in deaths from fentanyl and other synthetic opiates, according to new data released Thursday by the Centers for Disease Control and Prevention.
| ||||||||
WHO to add 'gaming disorder' as a mental condition in 2018 Are your kids addicted to video games? Beware, soon their behaviour might be classified as a mental health condition by the World Health Organisation (WHO), the media reported.
| ||||||||
Porch Pirates Steal 4-Year-Old's Kidney Transplant Medicine Ahead of Christmas Thieves swiping Christmas packages from porches have become unfortunately common, but a recent theft from a Utah dad's front stoop could have led to dire consequences.
| ||||||||
Porch pirate steals toddler's life-saving medicine RIVERDALE, Utah (KSTU) -- A little boy is left without his life-saving medication after someone stole a package off a family's porch.
| ||||||||
Thieves Make Off With Toddler's Life-Saving Medications Packages disappearing from people's front doors are an unfortunate frequent occurrence, but one particular theft left a dad in Utah stressed because his son could die.
| ||||||||
A grieving husband's photo of the first Christmas without his darling wife has brought the internet to tears If this story doesn't make you hold your loved ones a little tighter this Christmas and remind you of all of things you have to be thankful for, there's something wrong.
| ||||||||
Milton Keynes man says he taking smear test after his wife dies In the keep running up to Christmas, most guardians are quickly endeavoring to compose themselves for the huge day as their children burst with energy.
| ||||||||
Grieving husband who bravely shared picture of his dying wife online is stunned as Facebook suspend his account A widower who documented his wife's battle with cervical cancer online has lashed out at Facebook after admins suspended his account.
| ||||||||
Scientists shocked by huge discovery about sex A man accidentally rewired his brain so that he can't stop having an orgasm when he lies down, creating some major problems. A man cannot stop having orgasms whenever he lies down because he accidentally rewired his brain by using a sex toy, according ...
| ||||||||
A 63-Year-Old Man Had So Many Prostate Orgasms That Someone Wrote A Research Paper About It The prostate orgasm is an experience that hasn't been studied that much by scientists in the lab. But we do know that they can deliver sexual pleasure to men when their prostate gland is stimulated.
| ||||||||
Do You Have Video "Gaming Disorder", A Newly Recognized Mental Health Condition? At what point is video gaming no longer a game but a disorder? (Photo: Shutterstock). Who believes that playing video games can become a mental health disorder?
| ||||||||
US Life Expectancy Drops for Second Year in a Row, Research Points to Opioids Government researchers suspect the national opioid epidemic has played a major role in the latest decline of the life expectancy rate.
| ||||||||
Has The Mystery Of The Prostate Orgasm Been Solved? An elderly man encountered so much stimulation from a pricey sex toy, it led him to have non-stop prostate orgasms. According to a recent review paper, the unnamed man induced the orgasm by using a butt plug—a toy specifically designed to be inserted ...
| ||||||||
Protect yourself from flu and illness this season Let's talk about something a little less pleasant. A health risk. Travel, parties, visits with the family. A perfect storm for getting sick.
| ||||||||
Experts: Flu season having earlier impact AUSTIN, Texas - The flu vaccine doesn't guarantee you won't get sick, but it reduces the likelihood that you will. Flu season is on the rise in Texas earlier than usual, and amid reports that two people died from the flu last month in Travis County ...
| ||||||||
Man Found Dead After Playing Virtual Reality Game A Russian man was found dead after he got into an accident while reportedly playing a virtual reality game. Reports state that a 44-year-old man was discovered dead in his apartment last Thursday, Tech Times reports.
| ||||||||
Cracking some holiday myths APHoliday blues: This file photo shows a Christmas wreath decorated with lights at the end of a dock at sunset on Linekin Bay in East Boothbay, Maine.
| ||||||||
It's Christmastime, and that means dogs are now at peak risk of chocolate poisoning It may be the most wonderful time of the year for people, but it's a time of peak peril for our pets. Dogs, in particular, face a heightened risk of chocolate poisoning during the Christmas season.
| ||||||||
Can a weekly serving of fish benefit children's cognition? New United States research suggests that children who eat fish once a week could benefit from better sleep and have higher IQ scores than those who eat fish less frequently or not at all.
| ||||||||
Myths & Misconceptions concerning HIV/AIDS - Part 1 It is often assumed that much of the work done in the constant fight against HIV/AIDS is purely physical - against flesh and blood.
| ||||||||
Are poinsettias poisonous? Some holiday truths This Nov. 3, 2003 file photo shows hundreds of experimental poinsettias in colors of pink, red, white and even polka dot patterns filling the University of Maryland Research Greenhouse Complex in College Park, Md.
| ||||||||
Daily serving of leafy green veggies may help promote brain health Eating veggies has always been advised by doctors as pre-requisite for good health. Well, there is one more reason to do so. According to a study by researchers at Rush University Medical Centre in Chicago, eating one serving of leafy green vegetables ...
| ||||||||
Eating Leafy Greens May Keep Your Brain Younger: Other Ways To Prevent Cognitive Decline Regular exercise, a healthy diet, and mental exercises are some of the things you can do to prevent cognitive decline as you age. Studies may present conflicting results, but there's no harm in keeping the body healthy.
| ||||||||
Why entitled people do not follow instructions? A recent study report published in the journal Social Psychological and Personality Science reveals that people who are entitled are less likely to follow instructions than less entitled ones.
| ||||||||
Common blood pressure drug tied to increased risk of skin cancer Researchers find people who took hydrochlorothiazide for at least six years were 29 percent more likely to develop basal cell carcinoma.
| ||||||||
Huge health gap revealed between UK's rich and poor A new report says inequality is costing the NHS millions of pounds a year. Photograph: Daniel Atkin / Alamy Stock Photo/Alamy Stock Photo.
| ||||||||
Apples, Tomatoes Help Reduce Lung Deterioration In Ex-Smokers: Study A new study has found that a diet rich in tomatoes and apples slowed down lung deterioration over a 10-year period in former smokers.
| ||||||||
Researchers Test New Birth Control Topical Gel for Men There are plenty of contraceptive methods for women, while for men our options are extremely limited. They can either choose wearing a condom, or maybe they prefer something more drastic and get a vasectomy, but they have no other options beside these ...
| ||||||||
Chronic heartburn might increase chance of neck, head cancers Millions of American seniors suffer the discomfort of chronic acid reflux. Now, new research suggests the condition might raise their odds for even more dangerous foes - head and neck cancers.
| ||||||||
| You have received this email because you have subscribed to Google Alerts. |
Receive this alert as RSS feed |
| Send Feedback |
No comments:
Post a Comment