| | ||||||||
| health | ||||||||
| NEWS | ||||||||
Measles outbreak sickens dozens of Minnesota Somalis who avoid vaccine In this Tuesday, May 2, 2017 photo, Amira Hassan,of Burnsville, Minn., plays in the waiting room at the specialty clinic at Children's Minnesota in Minneapolis, while her dad, Mohamud Hassan, fills out paperwork.
| ||||||||
Baby born holding Mirena IUD? Mom sets the record straight It's a photo that's going viral on social media: a newborn baby holding an IUD, or intrauterine device, used to prevent pregnancy, in his hand.
| ||||||||
Experts warn of increases in tick-borne Powassan virus (CNN) Summer is nearly here, and it's bringing fears of a rare tick-borne disease called Powassan. This potentially life-threatening virus is carried and transmitted by three types of ticks, including the deer tick that transmits Lyme disease.
| ||||||||
Be on the lookout: more ticks expected in Northeast Ohio this year CLEVELAND - Local health officials are noticing an increase in disease-carrying ticks this year, and they're warning people to take precautions to avoid exposure.
| ||||||||
Researchers use gene editing to eliminate HIV infection in mice Last Updated May 3, 2017 10:46 PM EDT. Have researchers taken a step closer to developing an eventual cure for HIV? A Temple University-led team hopes so, by using a gene editing technique to successfully remove HIV infection from lab mice.
| ||||||||
Eating gluten is better for your heart, study finds Harvard University research has found that gluten consumption is associated with a lower risk of coronary heart disease, potentially putting a spanner in the works for the lucrative gluten-free industry.
| ||||||||
Fasting Vs. Traditional Diet: Which Is Better for Weight Loss? Fasting diets are trendy these days, but they may be no better for weight loss than traditional diets, according to a new study. Researchers looked at a weight-loss method called "alternate-day fasting," in which people drastically reduce their calorie ...
| ||||||||
Hospitals try to treat pain without opioids In this Jan. 19, 2017, handout photo from the University of Maryland Shock Trauma Center, nurse Amanda Fritsch checks the catheter delivering a drug that kept Stuart Anders' injured leg numb for three days.
| ||||||||
Understanding The History Behind Communities' Vaccine Fears All four of Anab Gulaid's children have received their vaccinations on the recommended schedule. As Somali-American residents of Minneapolis, that puts them in the minority.
| ||||||||
Tropic Fish Recalls Poke Due to Hepatitis A Risk Screen Shot 2017-05-02 at 8.29.12 PM The Hawaii State Department of Health (DOH) has been notified of imported frozen raw tuna or ahi cubes distributed by Tropic Fish Hawaii, LLC on Oahu that tested positive for hepatitis A. The product, imported from ...
| ||||||||
Edina Raises Tobacco Purchasing Age to 21 The Edina City Council approved a resolution that will change the tobacco purchasing age from 18 to 21. Advertisement - Content Continues Below.
| ||||||||
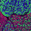
'Exercise-in-a-pill' boosts athletic endurance by 70 percent Salk scientists move one step closer to developing 'exercise-in-a-pill.' Partial view of a mouse calf muscle stained for different types of muscle fibers: oxidative slow-twitch (blue), oxidative fast-twitch (green), glycolytic fast-twitch (red).
| ||||||||
Pigeon eggs found in 'nest' of needles amid opioid crisis in Vancouver VANCOUVER - The Vancouver Police Department shared a sobering photo on Twitter Wednesday of three pigeon eggs sitting in a "nest" made of discarded hypodermic needles.
| ||||||||
Measles Outbreak Sickens Dozens of Minnesota Somalis In this Tuesday, May 2, 2017, photo, 15-month-old August Goepferd received the measles, mumps and rubella booster shot at a clinic at Children's Minnesota in Minneapolis.
| ||||||||
Why You Should Probably Reconsider Your Gluten-Free Diet Unless You Really Need It Why going G-free for ~fun~ might not be the best thing for your health. Lauren Mazzo's picture. By Lauren Mazzo | May 03, 2017.
| ||||||||
Hepatitis A found in tuna; time limited for post-exposure shots People who recently ate poke in Hawaii that was prepared with contaminated, frozen raw tuna still have time to receive post-exposure vaccinations for Hepatitis A. The frozen ahi cubes were distributed to retailers, restaurants and caterers by Tropic ...
| ||||||||
Twin Cities suburb expected to make tobacco buying age 21 EDINA, Minn. - A Twin Cities suburb is poised to become the first city in Minnesota to raise the legal age to buy tobacco from 18 to 21.
| ||||||||
Minn. city raises tobacco buying age to 21 EDINA, Minn. - On Tuesday evening, Edina became the first city in Minnesota to raise the minimum age to buy tobacco. In a 5-0 vote, the city council passed the measure at its meeting Tuesday night.
| ||||||||
Wireless-only homes now a majority in the U.S., survey finds Augusta University's Jessica Schwind said, "There are a whole new set of obstacles ... when you are reaching people on their cellphones.
| ||||||||
The whimsical dream of getting exercise in a pill has just become more realistic. In a Salk Institute-led study released Tuesday, researchers were able to provide some of the fat-burning effects of exercise to sedentary mice, And they did it with an orally given drug, a benefit for use in people.
| ||||||||
More people are calling NC's poison center about snake bites. Blame the warm weather The number of calls last month to the Carolinas Poison Center in Charlotte about snake bites nearly quadrupled compared to last year, the center said.
| ||||||||
Manchester man wanted for possession of carfentanil MANCHESTER, N.H. - Police in New Hampshire are searching for a man they say at one point possessed a dangerous new drug called of carfentanil.
| ||||||||
Gray death: Dangerous opioid combo is latest mixing trend; authorities issue warning Members of the Royal Canadian Mounted Police go through a decontamination procedure in Vancouver, British Columbia, after intercepting a package containing the powerful opioid carfentanil imported from China.
| ||||||||
Does fasting on alternate days work? A new study weighs in NEW YORK (CNN) - Whether you watch what you eat by counting your daily calories or practicing intermittent fasting, either approach can be effective for weight loss, a new obesity study suggests.
| ||||||||
Science funding spared, NASA gets bump under congressional budget deal The Hubble Space Telescope has captured even more evidence of water vapor plumes on Jupiter's icy moon Europa. The probable plumes appear to be repeating in the same location and correspond with a relatively warm region on Europa's surface ...
| ||||||||
Doctors repair skulls of triplets born with rare condition NEW YORK -- Doctors on Long Island performed the first-ever operation of its kind on triplets born with a rare skull condition, CBS New York reports.
| ||||||||
An 'exercise pill' may replace workouts in the future Anyone with a job, kids, or heck, a life knows fitting in fitness isn't always easy. Then there are the folks who can't exercise at all - be it due to a pre-existing health condition or old age.
| ||||||||
President Trump's Budget Should Boost Rather Than Cut Funding For The NIH By agreeing to an increase in funding for the National Institutes of Health through the end of the fiscal year, Congress is sending a clear message to President Trump: federal support for scientific research is too important to be subject to a blunt ...
| ||||||||
New movement to Silence The Shame about mental health Openly talking about mental health is a hard, yet healthy conversation to have in the age of social media, police brutality, racial tension and Trump presidency.
| ||||||||
Edina becomes first city in the state to raise tobacco sales age to 21 Carlos Gonzalez, Star Tribune Supporters wearing green shirts applauded after the amending of Tobacco sales in Edina from a minimum age of 18 to 21.
| ||||||||
Edina is off the mark in raising tobacco-purchase age from 18 to 21 Raising the purchase age overlooks reductions already made in minor tobacco use, restricts the rights of adults and unfairly hurts retailers.
| ||||||||
Female mannequins aren't just skinny, they're emaciated There have have been several observations in the press and on social media in the past few years that some of the mannequins used to sell women's fashion represent unrealistic and unhealthy body sizes.
| ||||||||
This prosthetic hand sees what's in front of it Mind-controlled robotics look like the future of prosthetics -- but what if your prosthetic limb has a mind of its own? A team of researchers at Newcastle University has developed a hand that is able to "see" objects in front of it using a simple ...
| ||||||||
Why Do Drug Reps Give Doctors Free Pens? Because What They Get in Return Is Far More Valuable. It's natural for the recipient of a gift to feel a sense of gratitude toward the giver and, very likely, a desire to return the favor.
| ||||||||
Two Johns Hopkins researchers elected to National Academy of Sciences Two faculty members from the Johns Hopkins University have been elected to the National Academy of Sciences, a distinction widely viewed as a mark of excellence in science.
| ||||||||
Staffing Shortage at Psychiatric Hospital Prompts Review A review of Dartmouth-Hitchcock's contract to run New Hampshire's state psychiatric hospital is underway following the discovery of a shortage of psychiatrists.
| ||||||||
You Need to be 21 to Buy Tobacco in Edina Now EDINA, Minn. - A unanimous 5-0 vote by the Edina City Council changed city ordinances to raise the tobacco purchasing age from 18 to 21 within the city.
| ||||||||
Zika: Mild epidemic in the US could cost in the hundreds of millions Even a relatively mild Zika outbreak in the United States could cost more than $183 million in medical costs and productivity losses, suggests a computational analysis led by Johns Hopkins Bloomberg School of Public Health researchers, while a more ...
| ||||||||
| You have received this email because you have subscribed to Google Alerts. |
Receive this alert as RSS feed |
| Send Feedback |
No comments:
Post a Comment