| | ||||||||
| health | ||||||||
| NEWS | ||||||||
Study Of Breast Cancer Treatment Reveals Paradox Of Precision Medicine A major study about the best way to treat early-stage breast cancer reveals that "precision medicine" doesn't provide unambiguous answers about how to choose the best therapy.
| ||||||||
Latest Target In The Drug Price Wars? The Ubiquitous EpiPen EpiPens are in your friend's purse and your kid's backpack. The school nurse has a few, as does Grandma. The medicine inside - epinephrine - has been around forever, and the handy gadget that injects it into your leg is not particularly new either.
| ||||||||
Mylan Raised EpiPen's Price Before the Expected Arrival of a Generic EpiPens used for training school staff members in Virginia. Mylan is under fire for raising the price of the allergy treatment device.
| ||||||||
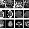
New Images Show Exactly How Zika Virus Devastates A Fetus' Brain New research that documents the devastating effects of Zika virus in early pregnancy shows just how destructive the disease can be to a growing fetus.
| ||||||||
Worried About Zika? Call Your Member of Congress If Zika becomes a widespread problem in the U.S., the blame will lie squarely with Congress. Eleanor Clift. 08.23.16 10:00 PM ET. The failure so far to fully fund the fight against the Zika virus is a familiar tale of Washington gridlock, except this ...
| ||||||||
Eight additional cancer types associated with excess body fatness Béatrice Lauby‑Secretan, Ph.D., Chiara Scoccianti, Ph.D., Dana Loomis, Ph.D., Yann Grosse, Ph.D., Franca Bianchini, Ph.D., and Kurt Straif, M.P.
| ||||||||
Orlando hospitals won't bill survivors of Pulse nightclub shooting (CNN) After a gunman killed 49 people at an Orlando gay nightclub in June, survivors of the massacre faced a new nightmare: mounting medical bills.
| ||||||||
Excess Weight Tied to Higher Risk for Many Cancers, Experts Say WEDNESDAY, Aug. 23, 2016 (HealthDay News) -- Staying slim throughout your life might lower your risk of developing at least eight types of cancer, an international cancer research group says.
| ||||||||
Orlando Health, Florida Hospital Pulse patients won't be billed ORLANDO, Fla. - Orlando Health and Florida Hospital won't be charging Pulse patients for their medical care, the hospitals said in statements Wednesday.
| ||||||||
HIV effort let down by test shortages, says WHO A shortage of HIV testing could undermine global efforts to diagnose and treat people with the infection, warn experts from the World Health Organization.
| ||||||||
Orlando hospitals say they won't bill survivors of Pulse nightclub shooting The Orlando hospitals that treated dozens of people injured in the Pulse nightclub shooting said Wednesday that they would not bill the survivors.
| ||||||||
Firefighter describes life after historic face transplant: 'I have hope now' (CNN) Patrick Hardison can now drive his children to school in the morning. He can swim in a pool, run his fingers through his hair and blink his eyes.
| ||||||||
Researchers just used ultrasound technology to 'jump-start' a 25-year-old man's brain after a coma The 25-year-old's head slammed to the ground, causing a severe brain injury. His brain started to swell up, something that can cause serious permanent damage.
| ||||||||
Kids' Mild Brain Injury Can Have Long-Term Effect WEDNESDAY, Aug. 24, 2016 (HealthDay News) -- Young people who suffer even mild head trauma are more likely to have serious issues later on, including psychiatric problems and premature death, a new study suggests.
| ||||||||
Novartis announces positive phase III results for MS drug siponimod The logo of Swiss drugmaker Novartis is seen at its headquarters in Basel, Switzerland October 22, 2013. REUTERS/Arnd Wiegmann/File Photo.
| ||||||||
No. 1 killer: Cancer is catching up to heart disease (CNN) More Americans die from heart disease, but cancer is rapidly gaining ground as the No. 1 killer. In 22 states, more people died from cancer during 2014 than from heart disease, new data from the National Vital Statistics System indicated.
| ||||||||
More Bad Zika News: Affected Newborn Stayed Infected for Two Months A Brazilian baby with brain damage caused by Zika virus stayed infected for more than two months after he was born, doctors reported Wednesday.
| ||||||||
Heroin laced with elephant tranquilizer hits the streets (CNN) The American heroin epidemic has become more dangerous, as reports of heroin laced with carfentanil are being reported throughout the country.
| ||||||||
Another New Zika Case Found in Florida Florida reported a new homegrown case of Zika virus Wednesday, this one in Palm Beach County. The state's now running 10 different investigations into 43 local cases of Zika infection, including two outbreaks: one in Miami and one in Miami Beach.
| ||||||||
Stress May Take Greatest Toll on Younger Women's Hearts: Study WEDNESDAY, Aug. 24, 2016 (HealthDay News) -- Stress may be especially hard on the hearts of younger women who have heart disease, new research suggests.
| ||||||||
Diabetes Drug May Help Kids With Autism Fight Unwanted Pounds WEDNESDAY, Aug. 24, 2016 (HealthDay News) -- The diabetes drug metformin may help overweight children and teens with autism slim down, a new study suggests.
| ||||||||
Florida governor complains US not doing enough to fight Zika Florida Gov. Rick Scott speaks at a press conference about the Zika virus in Doral, Florida, U.S. August 4, 2016. REUTERS/Joe Skipper.
| ||||||||
Doctors in sex abuse cases often not disciplined, newspaper finds ATLANTA -- Doctors who engage in sexual misconduct with patients are routinely treated as having "impairment" issues and may not be reported to law enforcement, according to new findings in an investigation by The Atlanta Journal-Constitution.
| ||||||||
Doctors Return to Clinics After Sex Abuse, Investigation Finds Doctors who engage in sexual misconduct with patients are routinely treated as having "impairment" issues and may not be reported to law enforcement, according to new findings in an investigation by The Atlanta Journal-Constitution.
| ||||||||
Hey, Stanford, Banning Booze on Campus Doesnt Work Stanford's ban on large containers of liquor is an attempt to 'meaningfully change the campus culture around alcohol.' But similar initiatives haven't been successful.
| ||||||||
Babies conceived between January and March more likely to have learning problems, scientists find Babies conceived between January and March are more likely to have learning difficulties because their mothers did not get enough vitamin D in pregnancy, a new study suggests.
| ||||||||
The aging paradox: The older we get, the happier we are Believe it or not, there are upsides to getting older. Yes, your physical health is likely to decline as you age. And unfortunately, your cognitive abilities like learning new skills and remembering things is likely to suffer too.
| ||||||||
Uninsured rate for young adults in Texas drops dramatically A police officer holds the door as people line up outside the Joe Celestin Center in North Miami, Fla., during National Youth Enrollment Day, Saturday, Feb. 15, 2014.
| ||||||||
TSA traumatizes boy, 9, with pacemaker in nightmarish screening A trip to the Phoenix airport was supposed to be a regular event for the Bergstrom family, until Transportation Security Administration turned the ordeal into a nightmare for 9-year-old Chille because of his pacemaker.
| ||||||||
Fairfield Mosquito Tests Positive for West Nile Virus FAIRFIELD, CT - A mosquito trapped in Fairfield has tested positive for West Nile Virus, the state of Connecticut Mosquito Management Program announced on Tuesday.
| ||||||||
Kids, 24 chihuahuas seized from filthy Brevard house A Port St. John mother who sheriff's deputies said kept her two children and 24 chihuahuas in a home packed with trash, caked with dog feces and reeking of urine, will face a judge.
| ||||||||
Experts conclude Flint River might have caused skin rashes This Jan. 26, 2016, file photo shows a sign over the Flint River noting Flint, Mich., as Vehicle City. (AP Photo/Carlos Osorio, File).
| ||||||||
What not to say to help your teen lose weight If you want your teen to lose weight, the American Academy of Pediatrics has some advice: Don't tell them that. Doing so may raise their risk of developing unhealthy habits or even an eating disorder, the AAP states in new recommendations published ...
| ||||||||
Affordable Health Care Not so Affordable for Many West Virginians Bob Bailey runs a catering and event planning business in Wheeling. He was insured for 21 years through Mountain State Blue Cross Blue Shield.
| ||||||||
It's Time for the UN to Compensate Haitians for Its Cholera Disaster Accountability should be seen as a strength, not a liability, at an organization committed to human rights. By Muneer I. Ahmad and Alice M. Miller.
| ||||||||
New AAP Guidance on Avoiding Teen Obesity, Eating Disorders The American Academy of Pediatrics (AAP) has issued new evidence-based guidance for healthcare providers on how to help teenagers avoid obesity and eating disorders.
| ||||||||
Beyond bottled water: Huge checks, slow progress test patience in Flint monahannaattisha.JPG Dr. Mona Hanna-Attisha, the Flint pediatrician hailed as a hero in its water crisis, says she's an optimist, but with nearly $600 million pledged or delivered to the city to mitigate its water crisis, the task is still thorny and ...
| ||||||||
Two Arrested After Video Appears To Show Adults Blowing Pot Smoke Into Toddler's Face A report about the incident by East Idaho News includes a clip of the video, in which one woman says about the boy, while laughing, "No more getting high?
| ||||||||
Jeff Sessions: Clinton Foundation 'should be fully investigated' The Clinton Foundation ought to be "fully investigated" amid a new publicly released batch of emails from Hillary Clinton's private server that showed the foundation was used to provide foreign nationals access to Clinton, U.S.
| ||||||||
No. 1 killer: Cancer is catching up to heart disease More Americans die from heart disease, but cancer is rapidly gaining ground as the No. 1 killer. In 22 states, more people died from cancer during 2014 than from heart disease, new data from the National Vital Statistics System indicated.
| ||||||||
Amped-up heroin blamed in 75+ overdoses in 2 states Authorities in Indiana and Ohio are on high alert after a supercharged form of heroin is suspected of causing 50 overdoses in the two states since Tuesday and more than 75 total since Friday.
| ||||||||
Your Food Could Soon Come Packaged In Milk Every time you open a package of processed cheese, you're left with a useless sleeve of plastic with bits of cheese all over it.
| ||||||||
The times of year you're most likely to get divorced Every unhappy family may be unhappy in its own way, as Leo Tolstoy observed. But new research on divorce filings suggests at least one way that many unhappy families are alike.
| ||||||||
VIDEO: Tribute to WWII veteran in Gardena goes viral The Fleet Anti-Submarine Warfare Training Center gave a touching tribute in Gardena to World War II veteran Ernest Thompson. KABC.
| ||||||||
Texas A&M study: Standing desks + schoolkids = lower BMI Kids who utilize these stand-biased desks are shown to lower their body mass index (BMI). By Leslie Barker Follow @ohlesliebarker lgarcia@dallasnews.
| ||||||||
Two women arrested after toddler pot video shared on Facebook FORT HALL, Idaho, - Shocking video posted on Facebook shows four adults smoking marijuana in front of a toddler, East Idaho News reports.
| ||||||||
Job satisfaction in your 20s and 30s may impact your health later Everybody has bad days at work, but 20- and 30-somethings who are generally unhappy with their jobs may experience some health backlash by the time they reach their 40s, new research suggests.
| ||||||||
Gov. Maggie Hassan Calls Republican Attacks 'Trash' The New Hampshire senate race between incumbent Republican Senator Kelly Ayotte and Democrat Maggie Hassan has turned nasty - with special interest groups on both sides lobbing attacks at the candidates.
| ||||||||
| You have received this email because you have subscribed to Google Alerts. |
Receive this alert as RSS feed |
| Send Feedback |
No comments:
Post a Comment