| | ||||||||
| health | ||||||||
| NEWS | ||||||||
Mosquito repellant sales boom in Brazil amid Zika scare RIO DE JANEIRO Fear of the mosquito-borne Zika virus has Brazilians rushing to buy repellant, creating a shortage of some brands on pharmacy shelves and boosting sales for the industry - a trend some producers are preparing for elsewhere as the ...
| ||||||||
Brazil Zika cases raise concern of virus transmission beyond mosquitoes BRASILIA Two cases of Zika being transmitted through blood transfusions were reported in Brazil on Thursday, adding to concerns over the virus that has been linked to severe birth defects and is typically spread through mosquito bites.
| ||||||||
UN study finds more women face genital mutilation than earlier estimated LONDON (Thomson Reuters Foundation) - More than 200 million girls and women globally have suffered genital mutilation, far higher than previously estimated, which highlighted the need to accelerate efforts to eradicate the practice, the United Nations ...
| ||||||||
Unicef Report Finds Female Genital Cutting to Be Common in Indonesia Female genital cutting has always been seen as an ancient ritual practiced in Africa and to a lesser extent in the Middle East, but a new global assessment documents for the first time that it is widespread in one of the most populous countries in Asia ...
| ||||||||
Females with childhood ADHD at double the risk for obesity Greater recognition of the difference in how ADHD manifests in girls and boys could help with diagnosis, so patients can start preventive measures for obesity earlier.
| ||||||||
Zika Virus Threat Puts Abortion Rights And Disability Rights On Collision Course As the epidemic spreads, women's rights to abortion are a hot topic -- but what about the rights of the disabled? 02/04/2016 12:32 pm ET | Updated 8 hours ago.
| ||||||||
ADHD during Childhood doubles the Risk of Obesity among Females Female child facing attention deficit hyperactivity disorder has almost double the risk of suffering from obesity during adult age according to a new research conducted at Mayo Clinic.
| ||||||||
ADHD Tied to Obesity Risk for Girls, Study Contends THURSDAY, Feb. 4, 2016 (HealthDay News) -- Girls with attention-deficit/hyperactivity disorder (ADHD) have their share of challenges.
| ||||||||
Protection from middle-school whooping cough vaccine fades fast The protection offered by middle-school whooping cough vaccines fades with each passing year, leaving teens vulnerable to infection as they age, a new study finds.
| ||||||||
Facebook post on hair tourniquet brings Wichita family lots of attention A Wichita family gained viral Internet attention when a father posted the story of his daughter's toe injury on Facebook. Scott Walker posted a photo of his 5-month-old daughter's foot on Facebook with a caption warning parents about a condition called ...
| ||||||||
Genetic cause of rare allergy to vibration discovered Scientists have identified a genetic flaw responsible for a rare form of inherited allergy induced by vibration. Running, hand clapping, towel drying or even taking a bumpy bus ride can cause temporary skin rashes in people with this rare disorder ...
| ||||||||
Dad's Viral Photo of Baby's Swollen Toe Raises Awareness of Rare Syndrome Scott Walker, 32, of Wichita, Kansas said his daughter Molly, 5 months, had a hair wrapped around her toe on Jan. 21, 2016. 0 Shares.
| ||||||||
RPT-INSIGHT-Zika mosquitoes' habits may foil US elimination efforts (Repeating for additional clients without changes to text). By Julie Steenhuysen. CHICAGO Feb 2 Health experts are bracing for Zika virus to spread to the United States by April or May, borne by a mosquito that craves human blood, feeds during the day ...
| ||||||||
Scientists discover genetic cause of rare allergy to vibration Scientists at the National Institutes of Health (NIH) have identified a genetic mutation responsible for a rare form of inherited hives induced by vibration, also known as vibratory urticaria.
| ||||||||
EXCLUSIVE-Top US airlines offer to re-assign crew from Zika-hit routes (Adds detail of Delta Air Lines offer, changes headline). By Jeffrey Dastin. Feb 3 Top U.S. airlines United and Delta have offered to re-assign certain flight crew concerned about contracting the Zika virus from routes to Latin America and the ...
| ||||||||
Uncle Sam's 'don't drink' edict for American women is idiotic Dear Fellas: Due to issues of compromised sperm quality, we are recommending that you abstain from all alcoholic beverages from the age of 15 till 45.
| ||||||||
CDC Issues Zika Advisory for Pregnant Women and Sex Partners Pregnant women whose male sexual partners have spent time in a country with confirmed transmissions of the Zika virus should either abstain from sex or use condoms during intercourse for the duration of their pregnancy, the Centers for Disease Control ...
| ||||||||
Zika Virus Concerns The Zika virus that has been in the news isn't something you're likely to experience in Fond du Lac County. Public Health Officer Kim Mueller says it's normally transmitted through the bite of a mosquito.
| ||||||||
Brazil: Reported Microcephaly Numbers Rising savesaved. author name. by Michael Smith North American Correspondent, MedPage Today. The number of confirmed microcephaly cases in Brazil is still rising, the country's health ministry said.
| ||||||||
Lessons learned: Survivors urge others to get educated on heart matters Courtesy of the American Heart Association/American Stroke Association Tampa Bay February is the American Heart Association's American Heart Month.
| ||||||||
Researcher says in 5 years, CTE test can be given to living Medical professionals will be able to diagnose chronic traumatic encephalopathy in living patients in five to 10 years, one of the lead researchers in a seven-year, $16 million National Institutes of Health study told the Daily News Wednesday.
| ||||||||
Minnesota's slow flu season starts to speed up Richard Sennott Flu vaccines are still abundant - and not too late, said Karen Martin of the Minnesota Department of Health. Text size.
| ||||||||
Under Pressure, FDA Adds Measures on Opioid Abuse Under pressure from Congress to take action amid a worsening opioid epidemic, the Food and Drug Administration on Thursday announced several measures aimed at reducing abuse.
| ||||||||
Horror as child dies from swine flu following frantic battle by medics to save tragic youngster The tragic youngster died earlier this week despite frantic medics working round the clock to save them. It is claimed the child was suffering from the H1N1 virus and had been receiving treatment in hospital for a number of days before they finally ...
| ||||||||
For pregnant women with flu, the earlier the better for antiviral treatment Pregnant women are at higher risk for serious illness and complications, including death, from influenza. For expectant mothers hospitalized with flu, early treatment with the influenza antiviral drug oseltamivir may shorten their time in the hospital ...
| ||||||||
CDC: Women who drink should be on birth That's the recommendation the U.S. Centers for Disease Control and Prevention made this week with overwhelming evidence that alcohol consumption during pregnancy, even before the woman knows she's pregnant, poses significant risks of her newborn ...
| ||||||||
Is It OK to Drink Alcohol While Pregnant? 10 Things You Should Know On Feb. 1, the CDC released new guidelines urging women of childbearing age to avoid drinking alcohol unless they are using contraception.
| ||||||||
'Mob Wives' Season 6 Episode 5 Live Stream: Newbies Britanny And Marissa Clash With Each Other? The newest ladies on "Mob Wives" are starting up their own drama. On the upcoming season 6 episode 5 live stream dropping on Wednesday night, it seemingly appeared Brittany Fogarty and Marissa Jade will make things on Staten Island heat up again.
| ||||||||
Can Your DNA Determine If You're a Morning Person or Night Owl? Are you the type of person that jumps out of bed bright-eyed and ready to take on the world? If so, your early morning cheeriness (besides annoying everyone around you) might be hard-coded in your genome.
| ||||||||
Early Rising May Be Linked to Your Genes Whether we prefer to get up at the crack of dawn or work late into the night may be influenced by genes connected to the circadian rhythm, a study suggests.
| ||||||||
Your Beard May Help Create New Antibiotics A while back there was a viral post claiming that beards contain fecal matter. Adam Roberts, a microbiologist, was curious to see if that was true.
| ||||||||
FDA announces overhaul of approach to opioid painkillers Washington - The Food and Drug Administration, which has been criticized as too willing to approve addictive narcotic painkillers and too slow to fight their abuse and overuse, said Thursday that it will overhaul policies addressing the powerful class ...
| ||||||||
CDC warns severe flu likely headed to Tenn. PAUL EFIRD/NEWS SENTINEL Medical Assistant Karen Whaley administers a rapid flu test to Dustin Ellis on Wednesday at Summit Express in Fountain City.
| ||||||||
Facebook shuts down medical marijuana pages in New Jersey TRENTON, N.J. - Three of New Jersey's five medical marijuana dispensaries have had their business pages shutdown by Facebook, cutting off what advocates call an integral place for customers to learn about which plant strains best treat their illness ...
| ||||||||
BMI mislabels 54 million Americans as 'overweight' or 'obese,' study says A new study out of UCLA finds that people with high BMIs categorizing them as overweight or obese might actually be quite healthy according to more reliable markers of health.
| ||||||||
23andMe says being a morning person is in your genes Are you the sort of person who wakes up with the Sun? You might not just have a go-getter attitude to thank for it. The genetics firm 23andMe has published a study which suggests that variances in 15 regions of the human genome (including seven that ...
| ||||||||
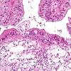
Preventive surgery for women at high risk of breast and ovarian cancer Intermediate magnification micrograph of a low malignant potential (LMP) mucinous ovarian tumour. H&E stain. The micrograph shows: Simple mucinous epithelium (right) and mucinous epithelium that pseudo-stratifies (left - diagnostic of a LMP …more.
| ||||||||
Why Bringing Back DDT to Fight Zika Mosquitoes Could Backfire Less than a century since DDT was first sprayed, the spread of the Zika virus through mosquitoes has left some wondering whether regulators were too quick to move away from the chemical.
| ||||||||
Your beard doesn't contain poop, but it could help develop new antibiotics Microbiologist Adam Roberts went digging through men's beards in search of poop. Instead, he found a tantalizing suggestion of a breakthrough in the global fight against drug-resistant infections.
| ||||||||
CDC Sees Major Challenges Ahead In The Fight Against Zika "If you are a woman who is pregnant living in the U.S., there's one really important thing you need to know: You shouldn't go to a place that has Zika spreading.
| ||||||||
Artificial pancreas works for teens with type 1 diabetes (Reuters Health) - An experimental "artificial pancreas" that pairs with a smartphone to monitor blood sugar and automatically deliver insulin may work better for teens with type 1 diabetes than using separate products already on the market, a small ...
| ||||||||
WHO: More Than 48 Ebola Contacts Missing In Sierra Leone Dozens of people linked to the most recent cases of Ebola in Sierra Leone are still missing, the World Health Organization warns, saying that among them 18 contacts are at high risk of having the virus.
| ||||||||
WHO: At Least 48 People at-risk of Ebola in Sierra Leone have not been found Officials in Sierra Leone are still trying to contact at least 48 people who are at-risk of Ebola. (Photo : Wiki Commons). At least 48 people who might have been infected with Ebola in Sierra Leone have yet to be found, the World Health Organization ...
| ||||||||
Super Bowl flu warning With several confirmed influenza cases this season in Pueblo County, St. Mary-Corwin Medical Center acknowledges the importance of reducing the risk for the virus, especially as the flu season ramps up.
| ||||||||
Virginia mother who contracted Zika: 'I knew something was wrong' RICHMOND, Va. -- Heather Baker has dedicated much of her life to helping others, including living a year in Haiti. But she put the helping on hold while she raised three children.
| ||||||||
Could your beard help develop new antibiotics? Instead, he found a tantalizing suggestion of a breakthrough in the global fight against drug-resistant infections. Which, for a researcher working fervently to help avert the antibiotic apocalypse that the World Health Organization, the director of ...
| ||||||||
Zika virus: Is DDT an option? (CNN) A relatively new mosquito-borne virus known as Zika has rapidly spread to more than two dozen countries. Transmitted by the aggressive Aedes aegypti mosquito, the virus has been linked to a heart wrenching neurological disorder that results in ...
| ||||||||
On World Cancer Day 2016: Study explains why HPV vaccination rates are low in Hawaii In order to address concerns for the low uptake of the human papillomavirus (HPV) vaccine, the University of Hawai'i Cancer Center in collaboration with the John A. Burns School of Medicine recently conducted a survey of 120 primary care physicians ...
| ||||||||
Amid emotional testimony, two medical marijuana bills go forward (Francisco Kjolseth | The Salt Lake Tribune) Senator Mark Madsen, R-Saratoga Springs, sponsor of the medical marijuana bill SB73 faces a packed room with those expressing interest in the hearing at the Utah Capitol.
| ||||||||
Panel OKs second Utah medical marijuana plan of the day SALT LAKE CITY (AP) - A panel of Utah lawmakers approved a bill that would allow tens of thousands of residents with chronic or debilitating conditions to consume edible pot products but bans smoking pot.
| ||||||||
| You have received this email because you have subscribed to Google Alerts. |
Receive this alert as RSS feed |
| Send Feedback |
No comments:
Post a Comment