| | ||||||||
| cancer | ||||||||
| NEWS | ||||||||
PREVIEW: Channel 9 chief meteorologist opens up about fight with cancer Dr. Briana Heniford, Steve's surgeon, said skin cancer can affect anyone, regardless of race or skin tone, even if a person has never had a sunburn.
| ||||||||
Glowing Tumors That Could Improve Cancer Surgery Are Getting Closer To Reality When a patient is diagnosed with a solid tumor cancer, one of the first options for treatment is often surgical removal of the tumor. But the biggest ...
| ||||||||
New drug approved for skin cancer treatment on NHS A groundbreaking new drug for skin cancer has been given the go-ahead for use in the NHS after England's drug cost watchdog decided that the ... New drug which almost doubles skin cancer survival rates gets approval for use by NHS - Mirror.co.uk
| ||||||||
What kind of cancer killed them? Obituaries for David Bowie and others don't say. "The cause was cancer, said his wife, Karin Godwin," the Post obituary noted. "Kurt Douglas Godwin passed away at INOVA Fairfax Hospital, due to ...
| ||||||||
HPV Raises Head Cancer Risk Sevenfold, Study Finds The human papillomavirus (HPV) raises the chances someone will get head and neck cancer by at least sevenfold and maybe much more, ...
| ||||||||
Eating cheese may help kill cancer cells, according to new study According to a new study by the University of Michigan, cheese can actually help kill cancer cells. It all stems from a peptide by the name of nisin.
| ||||||||
Phila. cancer summit examines promise of precision medicine Dario Altieri, CEO and director of the Wistar Institute Cancer Center, listens to Stephen Grupp's talk on Jan. 21, 2016. MICHAEL BRYANT / Staff ...
| ||||||||
The Jezabels cancel tour as keyboardist undergoes cancer treatment Sydney band the Jezabels have cancelled a world tour due to keyboardist Heather Shannon undergoing treatment for ovarian cancer. Shannon was ...
| ||||||||
Texas Children Hospital's Cancer and Hematology Centers help little ones fight big battles It's a nightmare for any parent, learning that your child has cancer. And when the diagnosis shows it's an extremely rare form of the disease, having a ...
| ||||||||
The war against cancer THE WAR against cancer, launched by Richard Nixon in 1971, is increasingly regarded as a failure. Although the risk of dying from cancer has ...
| ||||||||
UCSF doctors create new class of drugs to battle cancer Daud and his team at UCSF have been working with a new class of cancer drugs. Their purpose is to prevent the melanoma tumors from using a ...
| ||||||||
| Researchers Demonstrate How Cancer Cells Are Obliterated By Resonant Frequencies A new cancer treatment is using resonant frequencies to shatter various types of cancer cells. In his Tedx Talk, "Shattering Cancer with Resonant ...
| ||||||||
What's the Best Timing for Rectal Cancer Surg... THURSDAY, Jan. 21, 2016 (HealthDay News) -- Researchers say they've pinpointed the best length of time to wait to perform surgery for rectal cancer ...
| ||||||||
| Big Data, Technology and Defeating Cancer Regarding Dr. Tom Coburn's "A Cancer 'Moonshot' Needs Big Data" (op-ed, Jan. 15): Big data is needed for genetic research, but the application of ...
| ||||||||
Shoddy biopsies deny cancer patients a shot at personalized treatment A huge federal trial of personalized cancer medicine has run into an unexpected roadblock: Many of the tumor samples aren't robust enough to be put ...
| ||||||||
Biomarker predicts likely chemo result for stage 2 colon cancer patients The majority of colon cancer patients whose tumors have started to travel to nearby tissue but no further are cured by surgery alone. But in a minority of ...
| ||||||||
UK Government's DNA-mapping project recruits first cancer patients Announced by life sciences minister George Freeman, the recruitment of cancer patients was welcomed by Cancer Research UK, and is hoped to offer ...
| ||||||||
Millions get unnecessary cancer screening tests Many older Americans are unnecessarily screened for breast and prostate cancer, which can lead to treatments they don't need, a new study contends ...
| ||||||||
UCLA swimming sports pink caps to spread breast cancer awareness The UCLA swimming team will sport pink caps in its upcoming meet against Stanford to raise breast cancer awareness and funds for research.
| ||||||||
How Joey Feek Recorded New Album With Terminal Cancer Despite her terminal cervical cancer diagnosis, Joey Feek has recorded another album, "Hymns That Are Important to Us," with her husband, Rory. Why Joey Feek Didn't Stop Singing in Cancer Battle: 'It Wasn't Easy, But It Was Important to Her ... - People Magazine Joey Feek Cancer Update: Husband Rory Feek Reveals Why It Was 'Important' To The Country ... - International Business Times Joey Feek Cancer Update: Country Singer Recorded One Last Album During Her Battle With ... - The Inquisitr
| ||||||||
'American Idol' Recap: Cancer Survivor Wows Judges With Beautiful Audition In Philadelphia, Melany Huber, 17, from Michigan, was diagnosed with cancer and has survived chemo, and her determination is so inspiring.
| ||||||||
Students give up phones to raise money for cancer patients They'll be out raising money that will go to Dana Farber and to a local cancer patient. The recipient wrote a letter of thanks, and that letter was read to ...
| ||||||||
Seidel: Norris cancer-free, focusing on potential It started with a dead arm. That dead arm is the reason doctors found the cancer on Daniel Norris' thyroid. And that dead arm is the reason why Norris ...
| ||||||||
Campus freshman Tim Vorenkamp dies after 5-year battle with cancer, remembered for positivity 10 in Laguna Beach, California after a five-year battle with cancer. He was 18 years old. Vorenkamp was diagnosed with synovial cell sarcoma, a rare ...
| ||||||||
Are rubber fields giving kids cancer? Two senators want President Obama to launch a federal investigation to find out if rubber turf can cause cancer in kids. (Photo: WSB-TV (CBS Atlanta)).
| ||||||||
| Tennessee Legislators Lauded For Cancer Patient Support William Lamberth (R-Cottontown) on Thursday filed SB2091/HB2239, the Cancer Treatment Fairness Act, to allow cancer patients to get the treatment ...
| ||||||||
New genetic risk factor for ovarian cancer identified "A faulty gene has been identified that increases the risk of ovarian cancer more than threefold," The Independent reports. The genetic mutation, found ...
| ||||||||
Researchers get $792000 award to study combination radiation and immunotherapy for cancer ATLANTA--A Georgia State University researcher, in collaboration with the Winship Cancer Institute, has received a four-year, $792,000 Research ...
| ||||||||
Screening gets top marks for picking up bowel cancer early Cancer Research UK BOWEL cancer is more likely to be diagnosed at the earliest stage if it is picked up by screening, according to new figures* released by Cancer ...
| ||||||||
New biomarkers may influence drug design and alternative treatments of cancer, study shows ... The spread of cancer cells from the initial site of occurrence (primary site) to other secondary tissues is called metastasis, and contributes to poor or ...
| ||||||||
| MD Anderson, AbbVie connect to advance cancer immunotherapy The immunotherapy platform at The University of Texas MD Anderson Cancer Center and the global biopharmaceutical company AbbVie will join ...
| ||||||||
UH Cancer Center funding plan faces opposition A $5 million cash infusion plan for the University of Hawaii Cancer Center is already facing opposition from some lawmakers. UH officials say they ...
| ||||||||
Monsanto sues California agency over plans to list Roundup as cancer-causing chemical Agrochemical giant Monsanto has taken a fight for its leading weed killer to court in California, seeking to prevent glyphosate, the main ingredient in ...
| ||||||||
16-Year-Old Turns the 'Whip/Nae Nae' Into a Global Campaign for Pediatric Cancer Awareness ... In August, the 16-year-old high school student came up with the idea for Whip Pediatric Cancer – a viral social media movement with a similar "do or ...
| ||||||||
How Canadian Doctors Fight Cervical Cancer In Kenya Cancer was a natural target. During previous trips to Kenya we'd learned about the problems caused by cervical cancer. So we consulted with ...
| ||||||||
St. Joseph's/Candler announces new program to combat cervical cancer in uninsured "Cervical cancer is easily preventable with a vaccine," said Paul P. Hinchey, president/CEO of St. Joseph's/Candler, during an appearance at St.
| ||||||||
Teacher died from cancer after decades of exposure to asbestos A primary school teacher who contracted cancer after decades of exposure to asbestos used as pinboards for her pupil's art work died as a result of an ...
| ||||||||
The Greatest Killer Of Rock Stars Isn't Partying; It's Cancer Also, recently, it seems like more rock stars are dying from cancer than from overdoses. In the first half of this decade, 89 rock stars have died as a ...
| ||||||||
Drug Shows Promise Against Obesity-Related Cancer A research team led by investigators at Thomas Jefferson University has revealed the biological connection between obesity and colorectal cancer ...
| ||||||||
Big Ang Hospitalized — Another 'Mob Wives' Cancer Scare For Her? Big Ang Hospitalized — Another 'Mob Wives' Cancer Scare For Her? The reality star goes through a series of testing to find out what's going on.
| ||||||||
Advocates fighting cancer push to raise tobacco taxes TALLAHASSEE, Fla. - More than 100,000 Floridians are estimated to be diagnosed with cancer in just this coming year. Advocates fighting the ...
| ||||||||
UT Southwestern study shows how certain drugs alter metabolism of pancreatic cancer cells UT ... 21, 2016 - UT Southwestern Medical Center researchers have found that cancer drugs known as CDK4/6-inhibitors alter the metabolism of pancreatic ...
| ||||||||
Glowing tumors could help surgeons cut out cancer A breast cancer patient is wheeled into the operating room. She is connected to an IV that sends dye molecules into her blood that travel to her tumors.
| ||||||||
Cancer risk Debating the odds Understanding tumour initiation is important as it has implications for prevention, early detection and accurate modelling of cancer. An analysis by ...
| ||||||||
The £68k-a-year skin cancer wonder drug on the NHS Professor Paul Workman, chief executive of the Institute of Cancer Research in London, said: 'It's vital that we get novel and exciting cancer treatments ...
| ||||||||
Boosie Badazz Remembers The Day He Was Diagnosed With Cancer There's no denying Boosie's authenticity and his impact on Southern hip-hop culture. Whether it's his past addiction to promethazine/codeine syrup or ...
| ||||||||
Adjuvant Chemo Boosts Survival in Bladder Cancer Note that this observational cohort study suggested that adjuvant chemotherapy after surgical resection of bladder cancer was associated with ...
| ||||||||
Asbestos-linked cancer on the rise: Statscan The numbers of cases and deaths from mesothelioma, a deadly cancer caused primarily by workplace asbestos exposure, have continued to rise and ...
| ||||||||
Childhood Cancer Survivors Forgo Care Because of Cost SAN FRANCISCO — In a survey of nearly 700 survivors of childhood cancer, 23% of respondents reported one or two instances of foregoing needed ...
| ||||||||
Palpation for Thyroid Nodules in Cancer Survivors Saves $$ On the basis of their experience following a high-risk group — survivors who were treated for a childhood or young adult cancer with radiation that ...
| ||||||||
| WEB | ||||||||
| Cancer Geisinger's advanced cancer care provides innovative prevention, diagnosis & treatment for all kinds of cancer including breast, lung, brain, colon ...
| ||||||||
| REACHOUT & RUN 2016 THIS YEAR'S RACE: APRIL 10, 2016. What: 5K-Walk/Run & 1-mile Walk start at 8:30 AM. Where: Goucher College. How: Register for this year's race ...
| ||||||||
| About - ZERO - The End of Prostate Cancer ZERO - The End of Prostate Cancer is a national nonprofit organization with the mission to end prostate cancer. ZERO advances research ...
| ||||||||
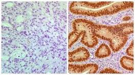
| CDX2 as a Prognostic Biomarker in Stage II and Stage III Colon Cancer The identification of high-risk stage II colon cancers is key to the selection of patients who require adjuvant treatment after surgery. Microarray-based ...
| ||||||||
| The Macmillan Horizon Centre The Macmillan Horizon Centre will be opening in Spring 2016. It has been designed with input from people affected by cancer to make it the best ...
| ||||||||
| Team Search ZERO - The End of Prostate Cancer · 515 King Street · Suite 420 · Alexandria, VA 22314. P: 202-463-9455 · F: 571-257-8559. If you have problems ...
| ||||||||
| Overweight & obesity in children Globally, the number of overweight and obese children has increased at an alarming rate during the past fourteen years.
| ||||||||
| Why don't people get heart cancer? First, the technical nitpick: cancer can arise basically anywhere there are cells, ... Cancers of these cells, including primary heart cancers (i.e., not just a ...
| ||||||||
| CancerAware Nigeria Renovates Cancer Treatment Centre at LUTH CancerAware Nigeria Renovates Cancer Treatment Centre at LUTH. It was not long after CancerAware Nigeria started as an NGO that we quickly ...
| ||||||||
| Cheese Might Cure Cancer Combatting cancer requires a much greater amount of nisin, about 800 mg/kg. So no, you can't just eat a wedge-load of cheese after a bad diagnosis.
| ||||||||
| The Vice President's Cancer Cure 'Moonshot' A cure for cancer? Vice President Joe Biden is making a big attempt to at least try. We hear from two researchers on what opportunities and obstacles ...
| ||||||||
| Thirteen-Billion-Dollar Aircraft Carrier vs. Cure for Cancer At the same time the US government has set aside a mere 4 billion for cancer research. One uncompleted 13-billion-dollar aircraft carrier vs. 4 billion ...
| ||||||||
| How Joey Feek Recorded New Album With Terminal Cancer From Yahoo: Despite her terminal cervical cancer diagnosis, Joey Feek has recorded another album, "Hymns That Are Important to Us," with her ...
| ||||||||
| Routine screening new cervical cancer screening guidelines. L. Stewart Massad, M.D.. Dept. of Obstetrics & Gynecology. Washington University School of Medicine.
| ||||||||
| Researchers Demonstrate How Cancer Cells Are Obiterated... A new cancer treatment is using resonant frequencies to shatter various types of cancer cells. In his Tedx Talk, "Shattering Cancer with Resonant ...
| ||||||||
| Is cancer a vitamin D deficiency? vitamin D boosts immune system function by activating T cells that recognize and attack cancer cell, turning vitamin D into a whole body healer.
| ||||||||
| Other People The film, which follows a family across the year their mother is dying of cancer, opened the Sundance Film Festival on Thursday night to a packed ...
| ||||||||
| mission of hope cancer fund To ensure those individuals diagnosed with cancer and their families have access to direct financial assistance, in formation and advocacy resources ...
| ||||||||
| US Government finally admits that cannabis destroys cancer cells and protects healthy cells Now, in a stunning, though quiet, feat of acknowledgment, the U.S. National Cancer Institute (NCI) has admitted that cannabis kills cancer cells without ...
| ||||||||
| The Household Spice That Destroys Cancer Cells, Stops Heart Attacks And Rebuilds The Gut Due to its remarkable healthy properties, it is one of the most appreciated spices ever. Hence, Dr. Richard Schulze advises "If you master only one ...
| ||||||||
| Paquito Rodriguez from Los AT Boyz dies of cancer Los A-T Boyz (Alma Tejana) member Francisco "Paquito" Rodriguez has lost his battle with cancer. He was 42. Paquito's brother, Raphael Rodriguez, ...
| ||||||||
| Identifying Colon Cancer Patients Who May Need More Than Surgery An easily detected genetic marker could help identify aggressive colon cancer in early stages, telling doctors that these patients need chemotherapy, ...
| ||||||||
| What I Learned when Cancer Hit my Family. Being confronted with cancer in my own family taught me a lot about gratitude and fully living in the moment. But, also, it taught me about about healthy ...
| ||||||||
| Breast Cancer Screening Options for Women with Dense Breast Tissue Breast Cancer. Screening Options for Women with. Dense Breast. Tissue. Has your doctor told you that you have dense breast tissue? Having dense ...
| ||||||||
| Cancer Fundraising Ideas Cancer fundraising ideas can boost donations to crowdfunding campaigns benefitting loved ones, with options such as marathons, book sales and ...
| ||||||||
| Prevalence of Nonrecommended Screening for Prostate Cancer and Breast Cancer in the United ... Research from JAMA Oncology — Prevalence of Nonrecommended Screening for Prostate Cancer and Breast Cancer in the United States — A ...
| ||||||||
| MD Anderson, AbbVie Connect to Advance Cancer Immunotherapy 21, 2016 /PRNewswire/ -- The immunotherapy platform at The University of Texas MD Anderson Cancer Center and the global biopharmaceutical ...
| ||||||||
| Many Older Americans May Get Unneeded Breast, Prostate Cancer Screenings THURSDAY, Jan. 21, 2016 (HealthDay News) -- Many older Americans are unnecessarily screened for breast and prostate cancer, which can lead to ...
| ||||||||
| Genentech Sponsored Study Reveals Hidden Stigma of Lung Cancer January 21, 2016 By Alex Keown, BioSpace.com Breaking News Staff CHICAGO – A new study sponsored by biotech giant Genentech confirms a ...
| ||||||||
| Revolt 'Boosie Badazz: Beat Cancer' Free Again Boosie is adjusting and doing pretty well after defeating cancer. In this short-flim, Boosie Badazz recalls the day he found out he was.
| ||||||||
| This Woman Died Of Cancer, But She Came Back With An Incredible Message This Woman Died Of Cancer, But She Came Back With An Incredible ... full of perspective and, while there, she learned how to cure her own cancer.
| ||||||||
| No woman should die of cervical cancer - learn why When hearing about such diseases as colon cancer and the tests to detect it, we sometimes shy away from addressing our risk factors and undergoing ...
| ||||||||
| Cancer industry preys on false-positive mammograms to ensure future screenings It's no secret that Big Pharma is a multi-billion industry eager to make a buck off a false cancer diagnosis. Many patients become angered by their ...
| ||||||||
| Support Groups CANHELP is an independent organization that provides support and hope for cancer patients and information on alternative treatment options.
| ||||||||
| New Home Opens for Avera Cancer Institute Aberdeen Avera Cancer Institute Aberdeen celebrated the grand opening of its new home in the newly constructed Don and Carmen Meyer Center of ...
| ||||||||
| The annual Oxbridge Boat Race is being renamed in support of cancer research Meanwhile, Cath Bishop, Chair of the CUWBC, noted, "Cancer Research UK's approach to scientific progress and medical breakthroughs is an ...
| ||||||||
| Cancer Support Group Anyone who has completed treatment or is currently seeking treatment for cancer is welcome. No registration is required to join the group.
| ||||||||
| How to cure cancer Clinical progress against a disease as wily and dimly understood as cancer, DeVita argues, happens when doctors have the freedom to try ...
| ||||||||
| Some older patients get unnecessary cancer screenings Some older patients may receive screening for breast or prostate cancer even though the tests aren't recommended because they aren't expected to ...
| ||||||||
| KHQA 5pm Guest: Cancer Crush "House of Hope" The local Cancer Crush Benefit is taking its eveng to a new level this year.Instead of just raffling off a playhouse, it's decided to raffle off a real house!
| ||||||||
| Griffin 5K Walk/Run for The Center for Cancer Care The annual Griffin 5K Walk/Run to benefit The Center for Cancer Care is in recognition of National Cancer Survivors Weekend. Sign up today.
| ||||||||
World Cancer Day 2016 To mark World Cancer Day, 4th of February 2016, the Movember Foundation is joining forces with three of the UK's other leading cancer charities to ...
| ||||||||
| Man with Stage IV Bone Cancer Rescues Neighbor from Burning House That's because he's now fighting stage IV bone cancer only after recovering from throat cancer 10 years ago.Nonetheless, when Kucia's duplex caught ...
| ||||||||
| You have received this email because you have subscribed to Google Alerts. |
Receive this alert as RSS feed |
| Send Feedback |
No comments:
Post a Comment