| | ||||||||
| cancer | ||||||||
| NEWS | ||||||||
Double mastectomy is on the rise in men with breast cancer — and it's worrying some doctors Most people assume breast cancer is just a female thing. All those public service posters, fundraising walkathon T-shirts and stuffed animals marketed ...
| ||||||||
A cancer building boom, fueled by economics and an aging population NEW BRITAIN, Conn. — Had she faced breast cancer years ago, Gail Brown might have ended up traveling hours to one of the renowned cancer ... Bankrupted by cancer: Why "cost" is an important criterion in our review process - HealthNewsReview.org
| ||||||||
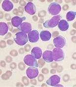
Blood cells, honed in the lab to kill cancer, lead to four-year remissions Four years after being treated with modified versions of their own blood cells, three of 14 cancer patients are in complete remission. And they haven't ...
| ||||||||
Joy Bauer shares 3 simple food swaps to help reduce your cancer risk This year, we'll see an estimated 1.6 million new cancer cases diagnosed, and more than 500,000 deaths from the disease in the United States.
| ||||||||
Scientists finally solved the mystery of why this wasp's venom can target and kill cancer cells However, their time to step in the spotlight may be just around the corner: Their venom has been shown to attack cancer cells while leaving healthy ...
| ||||||||
Munster-Highland football game puts focus on prostate cancer Munster High School junior and Project X member Tim DeRolf hangs a blue ribbon in honor of prostate cancer awareness month. It's Prostate Cancer Awareness Month, so man up and make sure you get screened with a PSA test - New York Daily News
| ||||||||
IRON MAIDEN's BRUCE DICKINSON Explains Link Between HPV And His Tongue Cancer IRON MAIDEN frontman Bruce Dickinson, who was given the all-clear in May after being diagnosed with tongue cancer in December 2014, was ... IRON MAIDEN's BRUCE DICKINSON Says Common Sexually Transmitted Virus Caused His ... - BLABBERMOUTH.NET
| ||||||||
5-Year-Old's Selfless Donation May Have Saved Twin Brother With Cancer A 5-year-old girl became a hero to her family after she helped her twin brother fight his aggressive form of leukemia by selflessly donating her stem ...
| ||||||||
MLS players to wear special Soccer Kicks Cancer T-shirts for Childhood Cancer Awareness Month Major League Soccer announced on Thursday that players will wear special Soccer Kicks Cancer T-shirts during pregame festivities throughout the ...
| ||||||||
Breast cancer rates up in Stark County Incidence rates of breast cancer in Stark County have increased an average of 3.4 percent annually. And the rate of women being diagnosed with ...
| ||||||||
Young cancer patients turn to happy places to cope For children battling childhood cancer, the practice of "going to your happy place" is not just a cute little phrase, it's a coping mechanism that Children's ...
| ||||||||
| Cancer care earns accreditation The Commission on Cancer, part of the American College of Surgeons, has given the health-care system a three-year accreditation for meeting or ...
| ||||||||
Empire State Building refuses to change its lights as Barclays Center, Times Square and Coney ... For the second year in a row, the Empire State Building denied to light gold for children with cancer. Dozens of parents and cancer organizations ...
| ||||||||
First of its kind: Cancer hospital for animals opens – amid hopes for human victims A NEW animal hospital dedicated to the treatment of cancer in animals has been formally opened amid claims it could help human victims of the ...
| ||||||||
The spliceosome is a therapeutic vulnerability in MYC-driven cancer MYC (also known as c-MYC) overexpression or hyperactivation is one of the most common drivers of human cancer. Despite intensive study, the MYC ...
| ||||||||
Just 4% Of Cancer Research Funds Go Toward Kids. This Mom Wants To Change That In honor of National Childhood Cancer Awareness Month, which takes place in September, Silva made a video, telling her story through notecards as ...
| ||||||||
1 In 5 Women Think Cervical Cancer Is Caused By Sleeping Around Cancer research charity The Eve Appeal has released new statistics highlighting the fact that one in five women associate gynaecological cancers ...
| ||||||||
The Questions Cancer Survivors Don't Ask Doctors The following is a composite patient based on the experiences of cancer survivors. Though not an actual patient, the issues described are real and ...
| ||||||||
Journalist Julia Baird reveals her battle with cancer Acclaimed journalist, TV host and author Julia Baird has penned a poignant article about her diagnosis with cancer. Ms Baird - a mother of two and ...
| ||||||||
| Experimental cancer therapy shows promise in new studies Longer telomeres are associated with longer life and less risk of developing chronic conditions linked with old age such as cancer, diabetes and ...
| ||||||||
Giants coach helps families bear financial burden of childhood cancer For families dealing with a child who has cancer, the financial burden can be overwhelming. One NFL legend is changing that with his foundation to ...
| ||||||||
Study Links Long-term NSAID Use to Lower Colorectal Cancer Risk Colorectal cancer is the third most common nonskin cancer worldwide, and because colorectal neoplasms take time to develop, the disease often is ...
| ||||||||
| Why one naturopath quit after watching her peers treat cancer patients On her blog, she's been myth-busting alternative medicine, and writing about everything from the gaps in regulation to what it's like to find cancer in a ...
| ||||||||
| Hartford club takes aim at a cancer cure Hartford — When Gene Johann of Neosho died of colon cancer in 1990, he was just 44 years old. He left behind a wife and three children. As with all ...
| ||||||||
Kids with cancer see dreams realized in book SALT LAKE CITY — A Utah photographer has captured beautiful photographs based off the dreams of 21 pediatric cancer patients in hopes of raising ...
| ||||||||
Rising Tennis Star Vicky Duval Returns to US Open After Cancer Treatment When 17-year-old Vicky Duval beat former champion Samantha Stosur at the US Open two years ago, it seemed like the beginning of a fairytale ...
| ||||||||
WWE star Daniel Bryan makes incredible dance video to raise cancer awareness Connor suffered from pediatric brain cancer, and passed away just a few weeks after watching Bryan win the WWE title at WrestleMania XXX.
| ||||||||
Despite her recipe for loving life, Shahadah loses battle to cancer Rather than dish out details of her battle with cancer, Shahadah would tell you about the tilapia with baked beans and yellow rice she cooked the night ...
| ||||||||
I survived cancer - but drugs left me with permanent alopecia The side effects of cancer treatment can range from uncomfortable to life-changing. The response: "Well – you're here aren't you?" from doctors is ...
| ||||||||
Rachel Platten sings 'Fight Song' at hospital with young boy battling cancer Singer Rachel Platten has joined a brave young boy's inspiring fight against a rare form of cancer. The 34-year-old songwriter recently made a trip to ...
| ||||||||
Cancer: Mutant p53 and chromatin regulation 1), which is the transcription factor encoded by TP53, some mutations also endow p53 with 'gain-of-function' activities that promote cancer. Whether ...
| ||||||||
Hoosick Falls cop continues to fight crime… And cancer He doesn't want cancer to keep him from doing his dream job; one that he's worked so hard to achieve. However, he wants everyone to know he is ...
| ||||||||
Inmate offers to help judge battling cancer Chapel Hill, N.C. — Thousands of people have registered to be bone marrow donors to help Superior Court Judge Carl Fox, who is battling blood ...
| ||||||||
11-Year-Old's Running Streak Raises $10000 for Friend With Cancer The rare form of cancer, which develops in the connective tissue, had metastasized to Isabella's femur. To treat it, Isabella is currently undergoing 42 ...
| ||||||||
LaughFest dates announced, festival impacting cancer grief counseling awareness With more than 300 events put on during LaughFest, the ticket proceeds help provide free grief counseling for people affected by cancer in west ...
| ||||||||
Brooks Ayers And Vicki Gunvalson Speak Of His Cancer On Twitter: '#TruthIsRevealed' Brooks Ayers has been accused of faking his cancer for the last couple of months, but according to both him, and his former girlfriend, Vicki Gunvalson, ...
| ||||||||
Coronation Street fans threaten to switch off over heartbreaking childhood cancer storyline Despite being convinced that they were going to be given good news, a consultant told them: "I'm sorry to tell you but we've identified a mass in ...
| ||||||||
Cities proclaim Ovarian Cancer Awareness Month Several local municipalities in Alabama are participating in the statewide effort to bring awareness to ovarian cancer and gynecological health.
| ||||||||
| Women's and Girls' Cancer Alliance teams with News 6 Formerly known as the Ovarian Cancer Alliance of Florida, the WGCA invites everyone to call in to their annual phone bank held at the News 6 studios ...
| ||||||||
Cancer, arthritis and Alzeimer's treatments to improve under new 'mouse sampling system' A NEW research system will dramatically speed up the discovery of new treatments for age-related diseases such as cancer, arthritis, Alzheimer's, ...
| ||||||||
Maryland Gov. Says He's Strong After Latest Cancer Treatment After his latest round of cancer treatment, Maryland Gov. Larry Hogan says his prognosis is great and he feels strong. Hogan posted on Facebook ...
| ||||||||
Cancer: Repositioned to kill stem cells Chemotherapy-resistant cancer stem cells make it hard to cure many forms of the disease. Repositioning an existing drug to tackle this problem could ...
| ||||||||
Had Skin Cancer? Here's What You Need to Do Non-melanoma skin-cancer, the most common type of cancer in the U.S., puts patients at an increased risk for potentially more serious cancers.
| ||||||||
Concert to benefit young adult and teen cancer patients The Deacon Blues Band will perform Sept. 19 at The Palms Lounge of Peabody's Billiards and Games in New Tampa to raise money for Teen Cancer ...
| ||||||||
| WEB | ||||||||
| Gaffney, SC Since fall 2011, Gibbs' nationally recognized cancer treatment program and multi-disciplinary team of experts have provided comprehensive cancer ...
| ||||||||
| Bearden-Josey Center for Breast Health Bearden-Josey Center for Breast Health is located on the campus of Spartanburg Regional Healthcare System, adjacent to Gibbs Cancer Center ...
| ||||||||
| Gibbs Leadership Gibbs Cancer Center & Research Institute operates under the direction of a diverse group of professionals who are charged with maintaining and ...
| ||||||||
| Relay For Life of Nordic Style Join Relay For Life and communities across the globe to help us finish the fight against cancer on Relay For Life of Nordic Style at the Relay For Life of ...
| ||||||||
| Breast Cancer Breast cancer is the most common form of cancer for women. It affects millions of women each year. There are also cases of men suffering from breast ...
| ||||||||
| Myth or Reality? The Link Between Prostate Cancer and Finger Length The length of a man's fingers may affect his lifetime risk of prostate cancer. It sounds like an urban legend. And to be fair, the idea that having a longer ...
| ||||||||
| Drink this to avoid cancer, diabetes and mental decline ... nectar for waking up or staying awake. Coffee is also a healing beverage that protects against colon cancer, type 2 diabetes and cognitive impairment.
| ||||||||
| Location and Directions Loma Linda University: Medical Oncology/Infusion Center. Suite A600. Loma Linda University Women's Cancer and Surgical Oncology Center.
| ||||||||
| Wicker Park Comic Book Shop Owner With Cancer: 'My Fight Is Just Starting' Earlier this month, Akins was diagnosed with lyposarcoma, a rare soft tissue cancer. "It's been all over the place, from strangers to people who shop ...
| ||||||||
| Woman Beautifully Documents Her Breast Cancer Treatment Transformation Thirteen days after she started her breast cancer treatment, the inspiring woman began to lose her hair. Rather than dwelling on this external change, ...
| ||||||||
| Cure against Cancer Paladin This secret cancer more annoying than face huntards! .... Just play patron and farm the noobs, I know it's the ultimate cancer deck but you get free wins ...
| ||||||||
| Genetics May Help Guide Kids' Cancer Treatment TUESDAY, Sept. 1, 2015 (HealthDay News) -- When a child has cancer that resists standard therapies, the outlook can be grim. But a new study ...
| ||||||||
| Cancer Decks So Hearthstone has basically been 75% cancer decks for the most part of the meta. As of now, top 3 would be Patron Warrior, Secret Paladin, and let's ...
| ||||||||
| The Canadian's Cancer Kicking Crew The Canadian's Cancer Kicking Crew Personal Image. Join Our Team. Join our team and help us support the LakeWalk for Cancer! To register for our ...
| ||||||||
| Cancer Genetics to Present at the Sidoti Emerging Growth Conference on September 2, 2015 Rutherford, N.J., September 2, 2015 – Cancer Genetics, Inc. (Nasdaq: CGIX; "CGI" or "The Company"), an emerging leader in DNA-based cancer ...
| ||||||||
What we know (and don't know) about cancer How do cancer cells grow? How does chemotherapy fight cancer (and cause negative side effects)? The answers lie in cell division. George Zaidan ...
| ||||||||
| I've Been Travelling, or On and Off The Road With Cancer I appear to be well, so much so that you'd never guess I had terminal cancer. A lot of people didn't know––they thought I was in remission. It was no ...
| ||||||||
| Childhood Cancer Awareness Month Day 2: Childhood Cancer Awareness Month: "Camp made every shot, every chemo and radiation therapy worth it. I love Camp, they are my family.
| ||||||||
| Straightforward Greeting Cards For Cancer Patients That Don't Like To Beat Around The Bush Emily McDowell designs greeting cards for family and close friends of cancer patients. The messages are blunt and direct. As a former cancer patient ...
| ||||||||
NFL coach helps families tackle childhood cancer 02, 2015 - 2:19 - Mounting medical bills and out-of-pocket expenses can leave families battling childhood cancer in financial turmoil. The Tom ...
| ||||||||
| Cervical Cancer: Screening, Recognition, and Treatment Uterine cervical cancer is relatively rare in the United States but, globally, it ranks fourth among the most common cancers, with the fourth highest ...
| ||||||||
| Life After Cancer Read about childhood cancer survivors and how unique St. Jude research programs help them not just survive, but lead happier, healthier adult lives.
| ||||||||
| 15 foods that force cancer cell death, remove toxins and relentlessly hunt free radicals You can make a simple comparison between an anti-cancer and a healthy diet including plenty of organic fruits and vegetables, as well as lean meat ...
| ||||||||
| You have received this email because you have subscribed to Google Alerts. |
Receive this alert as RSS feed |
| Send Feedback |
No comments:
Post a Comment